Suppr超能文献

从肝癌的诊断到治疗:发达国家和发展中国家共同面临的流行问题。

From diagnosis to treatment of hepatocellular carcinoma: An epidemic problem for both developed and developing world.

机构信息

Dimitrios Dimitroulis, Christos Damaskos, Nikolaos Garmpis, Stylianos Kykalos, Gerasimos Tsourouflis, Konstantinos Kontzoglou, Gregory Kouraklis, Second Department of Propedeutic Surgery, Laiko General Hospital, Medical School, National and Kapodistrian University of Athens, 15772 Athens, Greece.

出版信息

World J Gastroenterol. 2017 Aug 7;23(29):5282-5294. doi: 10.3748/wjg.v23.i29.5282.

Abstract

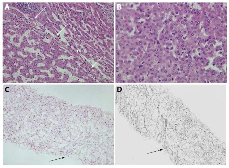
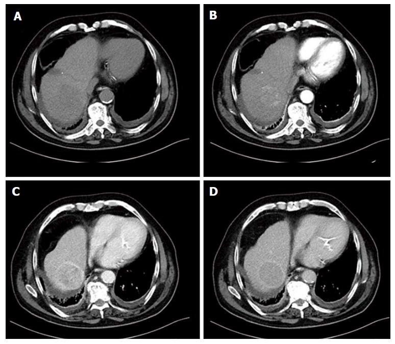
Hepatocellular carcinoma (HCC) is the most frequent primary liver malignancy and the third cause of cancer-related death in the Western Countries. The well-established causes of HCC are chronic liver infections such as hepatitis B virus or chronic hepatitis C virus, nonalcoholic fatty liver disease, consumption of aflatoxins and tobacco smocking. Clinical presentation varies widely; patients can be asymptomatic while symptomatology extends from right upper abdominal quadrant paint and weight loss to obstructive jaundice and lethargy. Imaging is the first key and one of the most important aspects at all stages of diagnosis, therapy and follow-up of patients with HCC. The Barcelona Clinic Liver Cancer Staging System remains the most widely classification system used for HCC management guidelines. Up until now, HCC remains a challenge to early diagnose, and treat effectively; treating management is focused on hepatic resection, orthotopic liver transplantation, ablative therapies, chemoembolization and systemic therapies with cytotocix drugs, and targeted agents. This review article describes the current evidence on epidemiology, symptomatology, diagnosis and treatment of hepatocellular carcinoma.

摘要

肝细胞癌(HCC)是最常见的原发性肝脏恶性肿瘤,也是西方国家癌症相关死亡的第三大原因。HCC 的明确病因包括慢性肝脏感染,如乙型肝炎病毒或丙型肝炎病毒、非酒精性脂肪性肝病、黄曲霉毒素和吸烟。临床表现差异很大;患者可能无症状,而症状则从右上腹疼痛和体重减轻扩展到阻塞性黄疸和乏力。影像学检查是诊断、治疗和随访 HCC 患者的首要关键,也是最重要的方面之一。巴塞罗那临床肝癌分期系统仍然是最广泛用于 HCC 管理指南的分类系统。到目前为止,HCC 仍然难以早期诊断和有效治疗;治疗管理侧重于肝切除术、原位肝移植、消融治疗、化疗栓塞和细胞毒性药物的全身治疗以及靶向药物。本文综述了 HCC 的流行病学、症状、诊断和治疗的最新证据。

https://cdn.ncbi.nlm.nih.gov/pmc/blobs/aba0/5550777/3ad81a0d001e/WJG-23-5282-g001.jpg

文献AI研究员

20分钟写一篇综述,助力文献阅读效率提升50倍。

立即体验

用中文搜PubMed

大模型驱动的PubMed中文搜索引擎

马上搜索

文档翻译

学术文献翻译模型,支持多种主流文档格式。

立即体验