Suppr超能文献

长链非编码RNA H19通过竞争性结合肾透明细胞癌中的内源性miR-29a-3p来调节E2F1的表达。

Long non-coding RNA H19 regulates E2F1 expression by competitively sponging endogenous miR-29a-3p in clear cell renal cell carcinoma.

作者信息

He Haowei, Wang Nana, Yi Xiaoming, Tang Chaopeng, Wang Dong

机构信息

Department of Urology, Jinling Hospital, No.305, Zhongshan East Road, Nanjing, 210002 Jiangsu People's Republic of China.

Department of Anesthesiology, Jinling Hospital, Nanjing, 210002 People's Republic of China.

出版信息

Cell Biosci. 2017 Dec 1;7:65. doi: 10.1186/s13578-017-0193-z. eCollection 2017.

Abstract

BACKGROUND

Numerous recent studies indicate that the long non-coding RNAs (lncRNAs) are frequently abnormal expressed and take critical roles in many cancers. Renal cell carcinoma is the secondary malignant tumors in the urinary system and has high mortality and morbidity. Around 80% of RCCs is clear cell renal cell carcinoma (ccRCC) and is characterized by high metastasis and relapse rate. However, the clinical significances of lncRNAs in ccRCC are still unknown.

METHODS

The human cancer lncRNA PCR array (Yingbio) was performed to detect the differentially expressed lncRNAs in human ccRCC samples. Real-time PCR (RT-PCR), dual-luciferase assay, RNA binding protein immunoprecipitation (RIP) assay, transwell assay, CCK-8 assay, and western blot were performed to explore the molecular mechanism of lncRNAs in ccRCC cell migration and invasion.

RESULTS

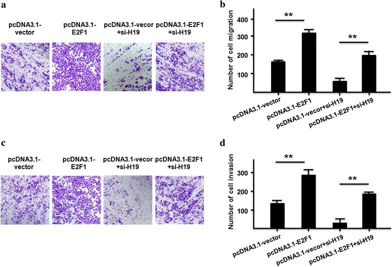
In this study, lncRNA-H19 was high expressed and negatively correlated with miR-29a-3p in ccRCC. By bioinformatics software, dual-luciferase reporter and RIP assays, we verified that miR-29a-3p was identified as a direct target of lncRNA-H19. RT-PCR and western blot demonstrated that down-regulated lncRNA-H19 could affect the expression of miR-29a-3p targeting E2F1 with competitively binding miR-29a-3p. Furthermore, transwell assays indicated that lncRNA-H19 knockdown inhibited cells migration and invasion, but this effect was attenuated by co-transfection of lncRNA-H19 siRNA and miR-29a-3p inhibitor. Over expression of E2F1 could rescue lncRNA-H19 siRNA induced suppression on cell migration and invasion in ccRCC cells.

CONCLUSIONS

These results show a possible competing endogenous RNAs regulatory network involving lncRNA-H19 regulates E2F1 expression by competitively sponging endogenous miR-29a-3p in ccRCC. This mechanism may contribute to a better understanding of ccRCC pathogenesis, and lncRNA-H19 may be further considered as a potential therapeutic target for ccRCC intervention.

摘要

背景

近期大量研究表明,长链非编码RNA(lncRNAs)在许多癌症中经常异常表达并发挥关键作用。肾细胞癌是泌尿系统的继发性恶性肿瘤,具有较高的死亡率和发病率。大约80%的肾细胞癌是透明细胞肾细胞癌(ccRCC),其特点是转移和复发率高。然而,lncRNAs在ccRCC中的临床意义仍不清楚。

方法

采用人类癌症lncRNA PCR阵列(英格生物)检测人类ccRCC样本中差异表达的lncRNAs。进行实时PCR(RT-PCR)、双荧光素酶测定、RNA结合蛋白免疫沉淀(RIP)测定、Transwell测定、CCK-8测定和蛋白质印迹,以探讨lncRNAs在ccRCC细胞迁移和侵袭中的分子机制。

结果

在本研究中,lncRNA-H19在ccRCC中高表达且与miR-29a-3p呈负相关。通过生物信息学软件、双荧光素酶报告基因和RIP测定,我们验证了miR-29a-3p被确定为lncRNA-H19的直接靶点。RT-PCR和蛋白质印迹表明,下调lncRNA-H19可通过竞争性结合miR-29a-3p影响miR-29a-3p靶向E2F1的表达。此外,Transwell测定表明,lncRNA-H19敲低抑制细胞迁移和侵袭,但lncRNA-H19 siRNA和miR-29a-3p抑制剂共转染可减弱这种作用。E2F1的过表达可挽救lncRNA-H19 siRNA诱导的ccRCC细胞迁移和侵袭抑制。

结论

这些结果表明,在ccRCC中可能存在一个涉及lncRNA-H19的竞争性内源性RNA调控网络,通过竞争性结合内源性miR-29a-3p来调节E2F1表达。这一机制可能有助于更好地理解ccRCC的发病机制,lncRNA-H19可能进一步被视为ccRCC干预的潜在治疗靶点。

https://cdn.ncbi.nlm.nih.gov/pmc/blobs/ddd9/5709834/e4b19e6ef763/13578_2017_193_Fig1_HTML.jpg

文献AI研究员

20分钟写一篇综述,助力文献阅读效率提升50倍。

立即体验

用中文搜PubMed

大模型驱动的PubMed中文搜索引擎

马上搜索

文档翻译

学术文献翻译模型,支持多种主流文档格式。

立即体验