Suppr超能文献

CTCF 驱动的 TERRA 转录促进端粒 DNA 复制的完成。

CTCF driven TERRA transcription facilitates completion of telomere DNA replication.

机构信息

The Wistar Institute, Philadelphia, PA, 19104, USA.

Department of Biology and Allied Health Sciences, Bloomsburg University, Bloomsburg, PA, 17815, USA.

出版信息

Nat Commun. 2017 Dec 13;8(1):2114. doi: 10.1038/s41467-017-02212-w.

Abstract

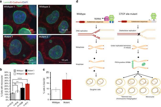
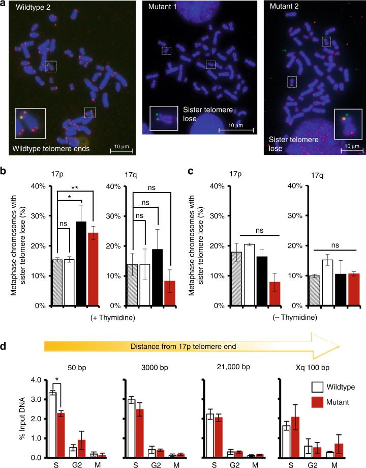
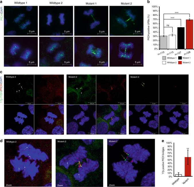
Telomere repeat DNA forms a nucleo-protein structure that can obstruct chromosomal DNA replication, especially under conditions of replication stress. Transcription of telomere repeats can initiate at subtelomeric CTCF-binding sites to generate telomere repeat-encoding RNA (TERRA), but the role of transcription, CTCF, and TERRA in telomere replication is not known. Here, we have used CRISPR/Cas9 gene editing to mutate CTCF-binding sites at the putative start site of TERRA transcripts for a class of subtelomeres. Under replication stress, telomeres lacking CTCF-driven TERRA exhibit sister-telomere loss and upon entry into mitosis, exhibit the formation of ultra-fine anaphase bridges and micronuclei. Importantly, these phenotypes could be rescued by the forced transcription of TERRA independent of CTCF binding. Our findings indicate that subtelomeric CTCF facilitates telomeric DNA replication by promoting TERRA transcription. Our findings also demonstrate that CTCF-driven TERRA transcription acts in cis to facilitate telomere repeat replication and chromosome stability.

摘要

端粒重复 DNA 形成一种核蛋白结构,可阻碍染色体 DNA 复制,尤其是在复制应激条件下。端粒重复序列的转录可以从端粒附近的 CTCF 结合位点起始,产生端粒重复序列编码的 RNA(TERRA),但转录、CTCF 和 TERRA 在端粒复制中的作用尚不清楚。在这里,我们使用 CRISPR/Cas9 基因编辑技术突变了 TERRA 转录物的假定起始位点处的 CTCF 结合位点,这些位点位于一类亚端粒上。在复制应激下,缺乏 CTCF 驱动的 TERRA 的端粒表现出姐妹端粒丢失,并且在进入有丝分裂时,表现出超细线状后期桥和微核的形成。重要的是,这些表型可以通过强制转录 TERRA 来挽救,而无需 CTCF 结合。我们的发现表明,亚端粒 CTCF 通过促进 TERRA 转录来促进端粒 DNA 复制。我们的研究结果还表明,CTCF 驱动的 TERRA 转录在顺式作用中促进端粒重复序列的复制和染色体稳定性。

https://cdn.ncbi.nlm.nih.gov/pmc/blobs/50b4/5727389/c92c31dece21/41467_2017_2212_Fig1_HTML.jpg

文献AI研究员

20分钟写一篇综述,助力文献阅读效率提升50倍。

立即体验

用中文搜PubMed

大模型驱动的PubMed中文搜索引擎

马上搜索

文档翻译

学术文献翻译模型,支持多种主流文档格式。

立即体验