Suppr超能文献

碳水化合物限制通过降低1型糖尿病大鼠的氧化应激并上调缺氧诱导因子-1α(HIF-1α)水平来改善肾病。

Carbohydrate restriction ameliorates nephropathy by reducing oxidative stress and upregulating HIF-1α levels in type-1 diabetic rats.

作者信息

Krishan Pawan, Singh Gaaminepreet, Bedi Onkar

机构信息

Department of Pharmaceutical Sciences and Drug Research, Punjabi University, Patiala, Punjab India.

JRF, DST-SERB, New Delhi, India.

出版信息

J Diabetes Metab Disord. 2017 Dec 19;16:47. doi: 10.1186/s40200-017-0331-5. eCollection 2017.

Abstract

BACKGROUND

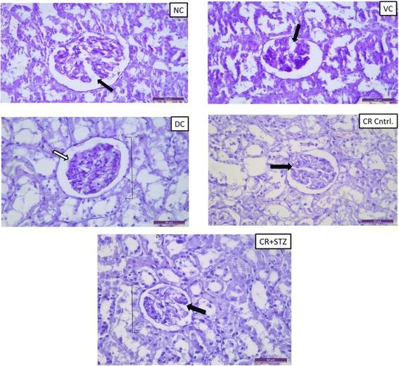
Carbohydrate restricted diet regimen is widely accepted as therapeutic approach for the treatment of kidney disease associated with type-2 diabetes, obesity and hypertensive disorders. The present study tested the influence of carbohydrate-energy restricted diet (CR) on type-1 diabetes induced renal dysfunction, hypoxia and structural alterations against diabetic rat group fed control diet ().

METHODS

Male wistar rats weighing between 180 and 190 g were subjected to 30% carbohydrate energy restricted diet (CR) and diabetes was induced by administration of streptozotocin (45 mg/kg., ). Assessment of renal function was done after 4 weeks by determining the serum levels of creatinine, BUN, proteinuria. Oxidative stress was determined by estimating the reduced glutathione, malonaldehyde levels, catalase activity and extent of renal hypoxia by estimating the HIF-1α levels in kidney tissue homogenates. Histological studies were conducted on kidney sections using hematoxylin and eosin, periodic acid-schiff staining.

RESULTS

Diabetic rats exhibited marked hyperglycemia and renal dysfunction developed in diabetic rats fed control diet () as shown by significantly elevated levels of serum creatinine, BUN and massive proteinuria after 4 weeks period. CR diet treatment in diabetic rats significantly lowered hyperglycemia, reversed the above renal functional abnormalities, reduced oxidative stress and enhanced HIF-1α levels. Furthermore histological examination of kidney sections from CR diet treated diabetic rat group showed absence of glomerular hypertrophy, mesangial expansion and tubular vacoulations.

CONCLUSION

Our results demonstrated that CR diet treatment in diabetic rats attenuated renal damage by reducing oxidative stress and preventing the development of hypoxia by up-regulating HIF-1α levels.

摘要

背景

碳水化合物限制饮食方案作为治疗与2型糖尿病、肥胖症和高血压疾病相关的肾脏疾病的治疗方法已被广泛接受。本研究测试了碳水化合物能量限制饮食(CR)对1型糖尿病诱导的肾功能障碍、缺氧和结构改变的影响,并与喂食对照饮食的糖尿病大鼠组进行了对比。

方法

体重在180至190克之间的雄性Wistar大鼠接受30%碳水化合物能量限制饮食(CR),并通过注射链脲佐菌素(45毫克/千克)诱导糖尿病。4周后,通过测定血清肌酐、尿素氮、蛋白尿水平来评估肾功能。通过估计还原型谷胱甘肽、丙二醛水平、过氧化氢酶活性来确定氧化应激,并通过估计肾组织匀浆中的缺氧诱导因子-1α(HIF-1α)水平来确定肾脏缺氧程度。使用苏木精和伊红、过碘酸-希夫染色对肾脏切片进行组织学研究。

结果

糖尿病大鼠表现出明显的高血糖,喂食对照饮食的糖尿病大鼠出现肾功能障碍,4周后血清肌酐、尿素氮水平显著升高以及大量蛋白尿表明了这一点。糖尿病大鼠的CR饮食治疗显著降低了高血糖,逆转了上述肾功能异常,降低了氧化应激并提高了HIF-1α水平。此外,对CR饮食治疗的糖尿病大鼠组的肾脏切片进行组织学检查显示没有肾小球肥大、系膜扩张和肾小管空泡形成。

结论

我们的结果表明,糖尿病大鼠的CR饮食治疗通过降低氧化应激和上调HIF-1α水平来预防缺氧的发生,从而减轻肾脏损伤。

https://cdn.ncbi.nlm.nih.gov/pmc/blobs/cb64/5735925/ab15d9ae597f/40200_2017_331_Fig1_HTML.jpg

文献AI研究员

20分钟写一篇综述,助力文献阅读效率提升50倍。

立即体验

用中文搜PubMed

大模型驱动的PubMed中文搜索引擎

马上搜索

文档翻译

学术文献翻译模型,支持多种主流文档格式。

立即体验