Suppr超能文献

YidC 插入酶与 SecYEG 易位子、SRP 和 SRP 受体 FtsY 的相互作用网络。

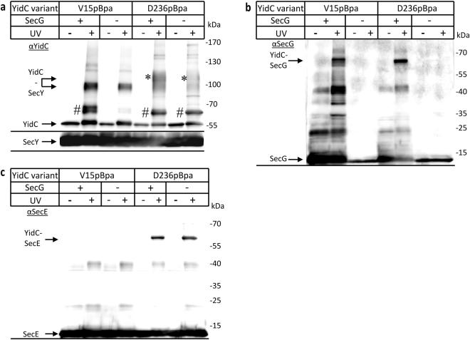
The interaction network of the YidC insertase with the SecYEG translocon, SRP and the SRP receptor FtsY.

机构信息

Institute of Biochemistry and Molecular Biology, ZBMZ, Faculty of Medicine, Albert-Ludwigs-University Freiburg, 79104, Freiburg, Germany.

Faculty of Biology, Albert-Ludwigs-University Freiburg, 79104, Freiburg, Germany.

出版信息

Sci Rep. 2018 Jan 12;8(1):578. doi: 10.1038/s41598-017-19019-w.

Abstract

YidC/Oxa1/Alb3 are essential proteins that operate independently or cooperatively with the Sec machinery during membrane protein insertion in bacteria, archaea and eukaryotic organelles. Although the interaction between the bacterial SecYEG translocon and YidC has been observed in multiple studies, it is still unknown which domains of YidC are in contact with the SecYEG translocon. By in vivo and in vitro site-directed and para-formaldehyde cross-linking we identified the auxiliary transmembrane domain 1 of E. coli YidC as a major contact site for SecY and SecG. Additional SecY contacts were observed for the tightly packed globular domain and the C1 loop of YidC, which reveals that the hydrophilic cavity of YidC faces the lateral gate of SecY. Surprisingly, YidC-SecYEG contacts were only observed when YidC and SecYEG were present at about stoichiometric concentrations, suggesting that the YidC-SecYEG contact in vivo is either very transient or only observed for a very small SecYEG sub-population. This is different for the YidC-SRP and YidC-FtsY interaction, which involves the C1 loop of YidC and is efficiently observed even at sub-stoichiometric concentrations of SRP/FtsY. In summary, our data provide a first detailed view on how YidC interacts with the SecYEG translocon and the SRP-targeting machinery.

摘要

YidC/Oxa1/Alb3 是细菌、古菌和真核细胞器中膜蛋白插入过程中与 Sec 机制独立或协同作用的必需蛋白。虽然已经在多项研究中观察到细菌 SecYEG 转运体与 YidC 之间的相互作用,但仍不清楚 YidC 的哪些结构域与 SecYEG 转运体接触。通过体内和体外的定点和对甲氧基甲醛交联,我们确定了大肠杆菌 YidC 的辅助跨膜结构域 1 是与 SecY 和 SecG 接触的主要部位。还观察到 YidC 的紧密堆积的球状结构域和 C1 环与 SecY 的额外接触,这表明 YidC 的亲水区面向 SecY 的侧向门。令人惊讶的是,只有当 YidC 和 SecYEG 以大约化学计量浓度存在时,才观察到 YidC-SecYEG 接触,这表明体内的 YidC-SecYEG 接触要么非常短暂,要么仅观察到非常小的 SecYEG 亚群。这与 YidC-SRP 和 YidC-FtsY 相互作用不同,后者涉及 YidC 的 C1 环,即使在 SRP/FtsY 的亚化学计量浓度下也能有效地观察到。总之,我们的数据提供了第一个关于 YidC 如何与 SecYEG 转运体和 SRP 靶向机制相互作用的详细视图。

https://cdn.ncbi.nlm.nih.gov/pmc/blobs/ea9b/5766551/453934c18cd2/41598_2017_19019_Fig1_HTML.jpg

文献AI研究员

20分钟写一篇综述,助力文献阅读效率提升50倍。

立即体验

用中文搜PubMed

大模型驱动的PubMed中文搜索引擎

马上搜索

文档翻译

学术文献翻译模型,支持多种主流文档格式。

立即体验