Suppr超能文献

晚期黑色素瘤免疫或靶向治疗中 IDO 和 PDL1 表达的纵向分析。

A Longitudinal Analysis of IDO and PDL1 Expression during Immune- or Targeted Therapy in Advanced Melanoma.

机构信息

Department of Dermatology University Hospital Zurich, Gloriastrasse 31, 8091 Zürich, Switzerland.

Department of Dermatology University Hospital Zurich, Gloriastrasse 31, 8091 Zürich, Switzerland.

出版信息

Neoplasia. 2018 Feb;20(2):218-225. doi: 10.1016/j.neo.2017.12.002. Epub 2018 Jan 12.

Abstract

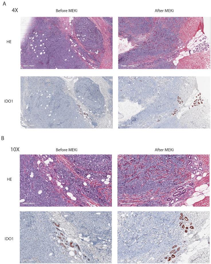
A deepened understanding of the cellular and molecular processes in the tumor microenvironment is necessary for the development of precision immunotherapy (IT). We simultaneously investigated CD3, PDL1, and IDO by immunohistochemistry in paired biopsies from various organs of 43 metastatic melanoma patients treated with IT and targeted therapy (TT). Intraindividual biopsies taken after a period of weeks to months demonstrate discordant results in 30% of the cases. Overlap of IDO and PDL1 increased after therapy. IT only marginally impacted PDL1 expression over time in contrast to TT. Standardized repeated assessments of multiple immune markers in repeated biopsies will generate detailed insights in melanoma's immune evolution and adaption during therapies and might be used to support treatment decisions.

摘要

为了开发精准免疫疗法(IT),我们有必要深入了解肿瘤微环境中的细胞和分子过程。我们通过免疫组化同时检测了 43 名接受 IT 和靶向治疗(TT)的转移性黑色素瘤患者不同器官配对活检中的 CD3、PDL1 和 IDO。在数周到数月的时间内,对个体患者进行的活检显示,30%的病例结果不一致。治疗后 IDO 和 PDL1 重叠增加。与 TT 相比,IT 对 PDL1 表达的影响只是略有增加。对重复活检中多个免疫标志物进行标准化重复评估,可以深入了解黑色素瘤在治疗过程中的免疫进化和适应,也可能用于支持治疗决策。

https://cdn.ncbi.nlm.nih.gov/pmc/blobs/9c2a/5767907/32a99770e62c/gr1.jpg

文献AI研究员

20分钟写一篇综述,助力文献阅读效率提升50倍。

立即体验

用中文搜PubMed

大模型驱动的PubMed中文搜索引擎

马上搜索

文档翻译

学术文献翻译模型,支持多种主流文档格式。

立即体验