Suppr超能文献

肿瘤胰岛和基质中 M1 和 M2 巨噬细胞的分布与非小细胞肺癌的预后关系。

Distribution of M1 and M2 macrophages in tumor islets and stroma in relation to prognosis of non-small cell lung cancer.

机构信息

Department of Pulmonology, Medical Academy, Lithuanian University of Health Sciences, Eiveniu st. 2, LT-50161, Kaunas, Lithuania.

Department of Pathology, Hospital of Lithuanian University of Health Sciences, Kaunas, Lithuania.

出版信息

BMC Immunol. 2018 Jan 24;19(1):3. doi: 10.1186/s12865-018-0241-4.

Abstract

BACKGROUND

Non-small cell lung cancer (NSCLC) remains the most common cause of cancer related death worldwide. Tumor-infiltrating macrophages are believed to play an important role in growth, progression, and metastasis of tumors. In NSCLC, the role of macrophages remains controversial; therefore, we aimed to evaluate the distribution of macrophages (M1 and M2) in tumor islets and stroma and to analyze their relations to patients' survival.

METHODS

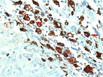
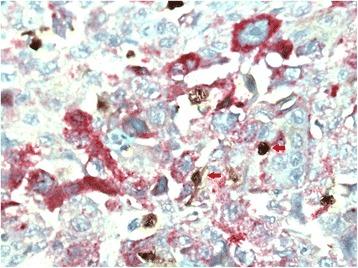
Lung tissue specimens from 80 NSCLC patients who underwent surgical resection for NSCLC (pathological stage I-III) and 16 control group subjects who underwent surgery because of recurrent spontaneous pneumothorax were analyzed. Immunohistochemical double staining of CD68/iNOS (markers for M1 macrophages) and CD68/CD163 (markers for M2 macrophages) was performed and evaluated in a blinded manner. The numbers of M1 and M2 macrophages in tumor islets and stroma were counted manually.

RESULTS

Predominant infiltration of M1 and M2 macrophages was observed in the tumor stroma compared with the tumor islets. M2 macrophages predominated over M1 macrophages in the tumor tissue. Tumor islets-infiltrating M1 macrophages and the number of total tumor-infiltrating M2 macrophages were independent predictors of patients survival: high infiltration of M1 macrophages in tumor islets was associated with increased overall survival in NSCLC (P < 0.05); high infiltration of total M2 macrophages in tumor (islets and stroma) was associated with reduced overall survival in NSCLC (P < 0.05).

CONCLUSIONS

This study demonstrated that high infiltration of M1 macrophages in the tumor islets and low infiltration of total tumor-infiltrating M2 macrophages were associated with improved NSCLC patients' survival.

TRIAL REGISTRATION

ClinicalTrials.gov NCT01955343 , registered on September 27, 2013.

摘要

背景

非小细胞肺癌(NSCLC)仍然是全球癌症相关死亡的最常见原因。肿瘤浸润巨噬细胞被认为在肿瘤的生长、进展和转移中发挥重要作用。在 NSCLC 中,巨噬细胞的作用仍存在争议;因此,我们旨在评估肿瘤胰岛和基质中巨噬细胞(M1 和 M2)的分布,并分析它们与患者生存的关系。

方法

对 80 例接受手术切除 NSCLC(病理分期 I-III 期)的 NSCLC 患者和 16 例因复发性自发性气胸而接受手术的对照组患者的肺组织标本进行分析。采用 CD68/iNOS(M1 巨噬细胞标志物)和 CD68/CD163(M2 巨噬细胞标志物)的免疫组织化学双重染色,并进行盲法评估。手动计数肿瘤胰岛和基质中 M1 和 M2 巨噬细胞的数量。

结果

与肿瘤胰岛相比,肿瘤基质中观察到 M1 和 M2 巨噬细胞的浸润为主。肿瘤组织中 M2 巨噬细胞多于 M1 巨噬细胞。肿瘤胰岛浸润的 M1 巨噬细胞和总肿瘤浸润的 M2 巨噬细胞数量是患者生存的独立预测因子:肿瘤胰岛中 M1 巨噬细胞的高浸润与 NSCLC 患者的总生存率增加相关(P<0.05);肿瘤(胰岛和基质)中总 M2 巨噬细胞的高浸润与 NSCLC 患者的总生存率降低相关(P<0.05)。

结论

本研究表明,肿瘤胰岛中 M1 巨噬细胞的高浸润和总肿瘤浸润的 M2 巨噬细胞的低浸润与改善 NSCLC 患者的生存相关。

试验注册

ClinicalTrials.gov NCT01955343,于 2013 年 9 月 27 日注册。

https://cdn.ncbi.nlm.nih.gov/pmc/blobs/ca5b/5781310/066718644473/12865_2018_241_Fig1_HTML.jpg

文献AI研究员

20分钟写一篇综述,助力文献阅读效率提升50倍。

立即体验

用中文搜PubMed

大模型驱动的PubMed中文搜索引擎

马上搜索

文档翻译

学术文献翻译模型,支持多种主流文档格式。

立即体验