Suppr超能文献

没食子酸对 D-半乳糖处理的大鼠肝脏和大脑的抗氧化、抗炎和抗凋亡作用。

Antioxidative, anti-inflammatory and anti-apoptotic effects of ellagic acid in liver and brain of rats treated by D-galactose.

机构信息

Department of Pharmacy, Renmin Hospital of Wuhan University, Wuhan 430060,, Hubei Province, P.R, China.

Department of Pharmacy, Dongfeng Hospital, Hubei University of Medicine, Shi yan, Hubei 442008, P.R, China.

出版信息

Sci Rep. 2018 Jan 23;8(1):1465. doi: 10.1038/s41598-018-19732-0.

Abstract

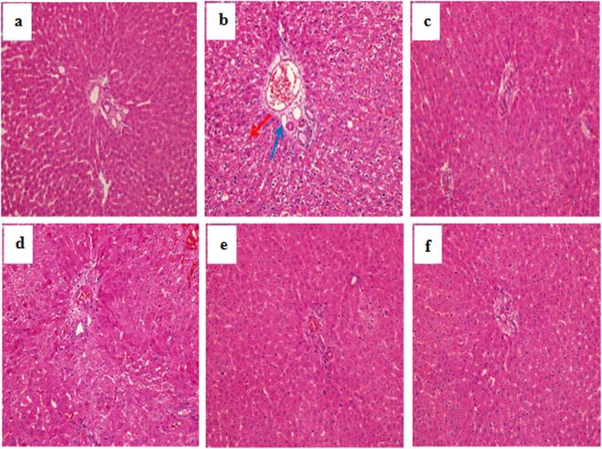
Accumulating evidence has suggested that oxidative stress and apoptosis are involved in the ageing process. D-galactose (gal) has been reported to cause symptoms of ageing in rats, accompanied by liver and brain injuries. Our study aimed to investigate the potential antioxidative, anti-inflammatory and anti-apoptotic effects of ellagic acid and to explore how these effects act on rats in a D-gal-induced ageing model. Ageing was induced by subcutaneous injection of D-gal (100 mg/kg/d for 8 weeks). Ellagic acid was simultaneously administered to the D-gal-induced ageing rats once daily by intragastric gavage. Finally, the mental condition, body weight, organ index, levels of inflammatory cytokines, antioxidative enzymes, and liver function, as well as the expression of pro- and anti-apoptotic proteins, were monitored. Our results showed that ellagic acid could improve the mental condition, body weight, organ index and significantly decrease the levels of inflammatory cytokines, normalize the activities of antioxidative enzymes, and modulate the expression of apoptotic protein in ageing rats. In conclusion, the results of this study illustrate that ellagic acid was suitable for the treatment of some ageing-associated problems, such as oxidative stress, and had beneficial effects for age-associated diseases.

摘要

越来越多的证据表明,氧化应激和细胞凋亡参与了衰老过程。D-半乳糖(gal)已被报道在大鼠中引起衰老症状,伴随着肝和脑损伤。我们的研究旨在探讨鞣花酸的潜在抗氧化、抗炎和抗凋亡作用,并探索这些作用如何在 D-半乳糖诱导的衰老模型中对大鼠发挥作用。衰老通过皮下注射 D-半乳糖(100mg/kg/d,持续 8 周)诱导。鞣花酸通过灌胃同时给予 D-半乳糖诱导的衰老大鼠。最后,监测精神状态、体重、器官指数、炎症细胞因子水平、抗氧化酶水平、肝功能以及促凋亡和抗凋亡蛋白的表达。我们的结果表明,鞣花酸可以改善精神状态、体重、器官指数,显著降低炎症细胞因子水平,使抗氧化酶的活性正常化,并调节衰老大鼠中凋亡蛋白的表达。总之,这项研究的结果表明,鞣花酸适合治疗一些与衰老相关的问题,如氧化应激,并对与年龄相关的疾病有有益的影响。

https://cdn.ncbi.nlm.nih.gov/pmc/blobs/63d4/5780521/f060774126aa/41598_2018_19732_Fig1_HTML.jpg

文献AI研究员

20分钟写一篇综述,助力文献阅读效率提升50倍。

立即体验

用中文搜PubMed

大模型驱动的PubMed中文搜索引擎

马上搜索

文档翻译

学术文献翻译模型,支持多种主流文档格式。

立即体验