Suppr超能文献

埃塞俄比亚不明原因的慢性肝病:一项横断面研究。

Unexplained chronic liver disease in Ethiopia: a cross-sectional study.

作者信息

Orlien Stian Magnus Staurung, Ismael Nejib Yusuf, Ahmed Tekabe Abdosh, Berhe Nega, Lauritzen Trine, Roald Borghild, Goldin Robert David, Stene-Johansen Kathrine, Dyrhol-Riise Anne Margarita, Gundersen Svein Gunnar, Morgan Marsha Yvonne, Johannessen Asgeir

机构信息

Regional Centre for Imported and Tropical Diseases, Oslo University Hospital Ullevål, Oslo, Norway.

Department of Internal Medicine, Hiwot Fana Specialized University Hospital, Harar, Ethiopia.

出版信息

BMC Gastroenterol. 2018 Feb 13;18(1):27. doi: 10.1186/s12876-018-0755-5.

Abstract

BACKGROUND

Hepatitis B virus (HBV) infection is assumed to be the major cause of chronic liver disease (CLD) in sub-Saharan Africa. The contribution of other aetiological causes of CLD is less well documented and hence opportunities to modulate other potential risk factors are being lost. The aims of this study were to explore the aetiological spectrum of CLD in eastern Ethiopia and to identify plausible underlying risk factors for its development.

METHODS

A cross-sectional study was undertaken between April 2015 and April 2016 in two public hospitals in Harar, eastern Ethiopia. The study population comprised of consenting adults with clinical and radiological evidence of chronic liver disease. The baseline evaluation included: (i) a semi-structured interview designed to obtain information about the ingestion of alcohol, herbal medicines and local recreational drugs such as khat (Catha edulis); (ii) clinical examination; (iii) extensive laboratory testing; and, (iv) abdominal ultrasonography.

RESULTS

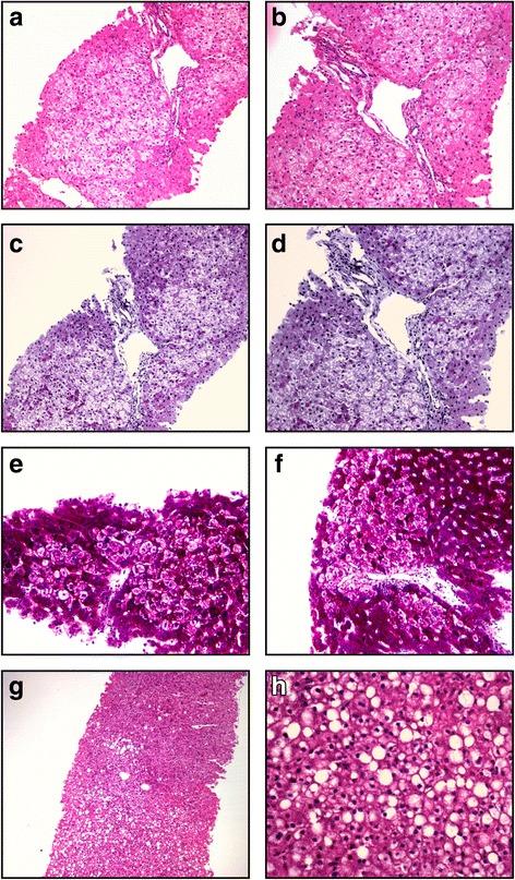
One-hundred-and-fifty patients with CLD (men 72.0%; median age 30 [interquartile range 25-40] years) were included. CLD was attributed to chronic HBV infection in 55 (36.7%) individuals; other aetiological agents were identified in a further 12 (8.0%). No aetiological factors were identified in the remaining 83 (55.3%) patients. The overall prevalence of daily khat use was 78.0%, while alcohol abuse, defined as > 20 g/day in women and > 30 g/day in men, was rare (2.0%). Histological features of toxic liver injury were observed in a subset of patients with unexplained liver injury who underwent liver biopsy.

CONCLUSION

The aetiology of CLD in eastern Ethiopia is largely unexplained. The widespread use of khat in the region, together with histopathological findings indicating toxic liver injury, suggests an association which warrants further investigation.

摘要

背景

乙型肝炎病毒(HBV)感染被认为是撒哈拉以南非洲慢性肝病(CLD)的主要病因。其他导致CLD的病因学因素的贡献记录较少,因此正在失去调节其他潜在风险因素的机会。本研究的目的是探讨埃塞俄比亚东部CLD的病因谱,并确定其发展的可能潜在风险因素。

方法

2015年4月至2016年4月在埃塞俄比亚东部哈勒尔的两家公立医院进行了一项横断面研究。研究人群包括有慢性肝病临床和放射学证据的同意参与的成年人。基线评估包括:(i)旨在获取有关酒精、草药和当地消遣性药物(如巧茶(Catha edulis))摄入信息的半结构化访谈;(ii)临床检查;(iii)广泛的实验室检测;以及(iv)腹部超声检查。

结果

纳入了150例CLD患者(男性占72.0%;中位年龄30岁[四分位间距25 - 40岁])。55例(36.7%)个体的CLD归因于慢性HBV感染;另外12例(8.0%)确定了其他病因。其余83例(55.3%)患者未发现病因。每日使用巧茶的总体患病率为78.0%,而酒精滥用(定义为女性每天>20克,男性每天>30克)很少见(2.0%)。在接受肝活检的不明原因肝损伤患者亚组中观察到了中毒性肝损伤的组织学特征。

结论

埃塞俄比亚东部CLD的病因在很大程度上尚不清楚。该地区巧茶的广泛使用,以及表明中毒性肝损伤的组织病理学发现,提示存在一种关联,值得进一步研究。

https://cdn.ncbi.nlm.nih.gov/pmc/blobs/317a/5812015/6eb6fecff109/12876_2018_755_Fig1_HTML.jpg

文献AI研究员

20分钟写一篇综述,助力文献阅读效率提升50倍。

立即体验

用中文搜PubMed

大模型驱动的PubMed中文搜索引擎

马上搜索

文档翻译

学术文献翻译模型,支持多种主流文档格式。

立即体验