Suppr超能文献

地西他滨通过促进 KIR2DL2/3 表达抑制γδ T 细胞细胞毒性。

Decitabine Inhibits Gamma Delta T Cell Cytotoxicity by Promoting KIR2DL2/3 Expression.

机构信息

Department of Translational Medicine, The First Hospital of Jilin University, Changchun, China.

Department of Cancer Center, The First Hospital of Jilin University, Changchun, China.

出版信息

Front Immunol. 2018 Mar 26;9:617. doi: 10.3389/fimmu.2018.00617. eCollection 2018.

Abstract

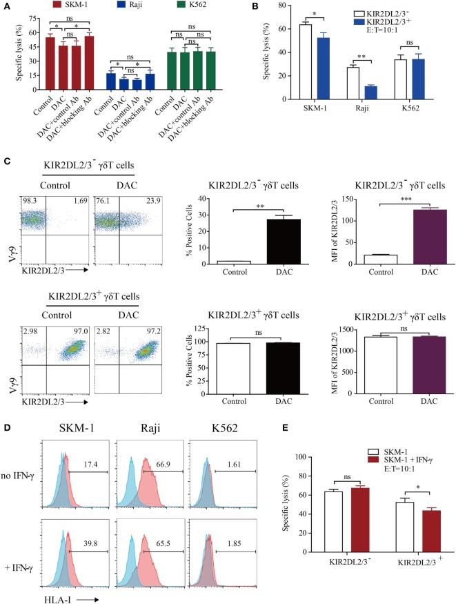
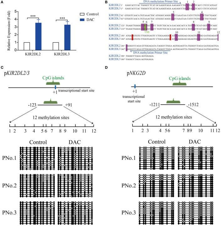
Gamma delta (γδ) T cells, which possess potent cytotoxicity against a wide range of cancer cells, have become a potential avenue for adoptive immunotherapy. Decitabine (DAC) has been reported to enhance the immunogenicity of tumor cells, thereby reinstating endogenous immune recognition and tumor lysis. However, DAC has also been demonstrated to have direct effects on immune cells. In this study, we report that DAC inhibits γδ T cell proliferation. In addition, DAC increases the number of KIR2DL2/3-positive γδ T cells, which are less cytotoxic than the KIR2DL2/3-negative γδ T cells. We found that DAC upregulated KIR2DL2/3 expression in KIR2DL2/3-negative γδ T cells by inhibiting promoter methylation, which enhances the binding of promoter to Sp-1 and activates gene expression. Our data demonstrated that DAC can inhibit the function of human γδ T cells at both cellular and molecular levels, which confirms and extrapolates the results of previous studies showing that DAC can negatively regulate the function of NK cells and αβ T cells of the immune system.

摘要

γδ(γδ)T 细胞对多种癌细胞具有强大的细胞毒性,已成为过继免疫疗法的一个潜在途径。地西他滨(DAC)已被报道可增强肿瘤细胞的免疫原性,从而重新建立内源性免疫识别和肿瘤溶解。然而,DAC 也已被证明对免疫细胞有直接影响。在这项研究中,我们报告 DAC 抑制 γδ T 细胞增殖。此外,DAC 增加了 KIR2DL2/3 阳性 γδ T 细胞的数量,与 KIR2DL2/3 阴性 γδ T 细胞相比,这些细胞的细胞毒性较低。我们发现 DAC 通过抑制启动子甲基化来上调 KIR2DL2/3 阴性 γδ T 细胞中的 KIR2DL2/3 表达,从而增强启动子与 Sp-1 的结合并激活基因表达。我们的数据表明,DAC 可以在细胞和分子水平上抑制人 γδ T 细胞的功能,这证实并推断了先前研究的结果,即 DAC 可以负调控免疫系统 NK 细胞和αβ T 细胞的功能。

https://cdn.ncbi.nlm.nih.gov/pmc/blobs/d99b/5879086/2734399ee894/fimmu-09-00617-g001.jpg

文献AI研究员

20分钟写一篇综述,助力文献阅读效率提升50倍。

立即体验

用中文搜PubMed

大模型驱动的PubMed中文搜索引擎

马上搜索

文档翻译

学术文献翻译模型,支持多种主流文档格式。

立即体验