Suppr超能文献

RAB11A 阳性隔室是由 WIPI2 识别 PI3P-RAB11A 介导的自噬体组装的主要平台。

The RAB11A-Positive Compartment Is a Primary Platform for Autophagosome Assembly Mediated by WIPI2 Recognition of PI3P-RAB11A.

机构信息

Department of Medical Genetics, Wellcome Trust/MRC Building, Cambridge Biomedical Campus, Hills Road, Cambridge CB2 0XY, UK; Cambridge Institute for Medical Research, Wellcome Trust/MRC Building, Cambridge Biomedical Campus, Hills Road, Cambridge CB2 0XY, UK; UK Dementia Research Institute, Wellcome Trust/MRC Building, Cambridge Biomedical Campus, Hills Road, Cambridge CB2 0XY, UK.

Department of Medical Genetics, Wellcome Trust/MRC Building, Cambridge Biomedical Campus, Hills Road, Cambridge CB2 0XY, UK; Cambridge Institute for Medical Research, Wellcome Trust/MRC Building, Cambridge Biomedical Campus, Hills Road, Cambridge CB2 0XY, UK.

出版信息

Dev Cell. 2018 Apr 9;45(1):114-131.e8. doi: 10.1016/j.devcel.2018.03.008.

Abstract

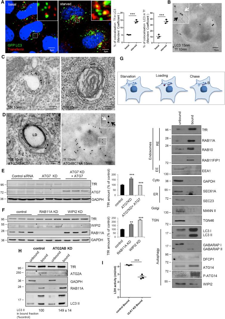
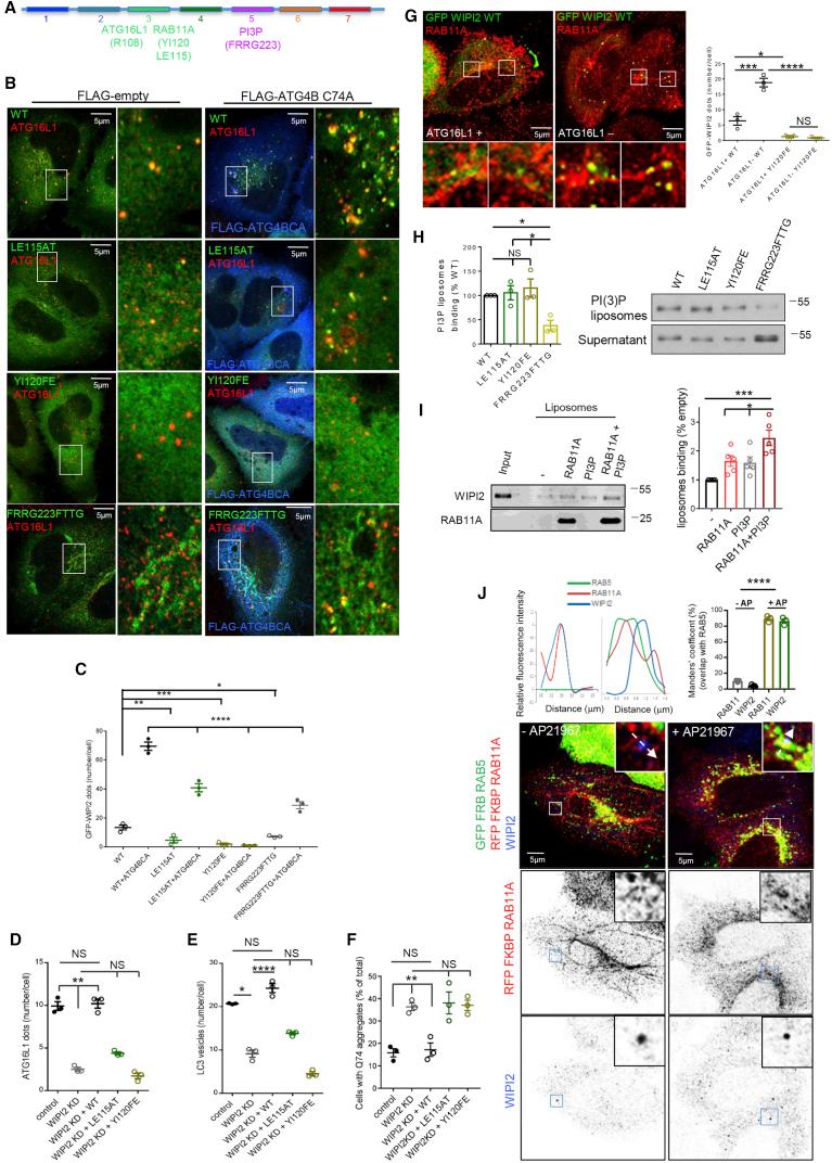
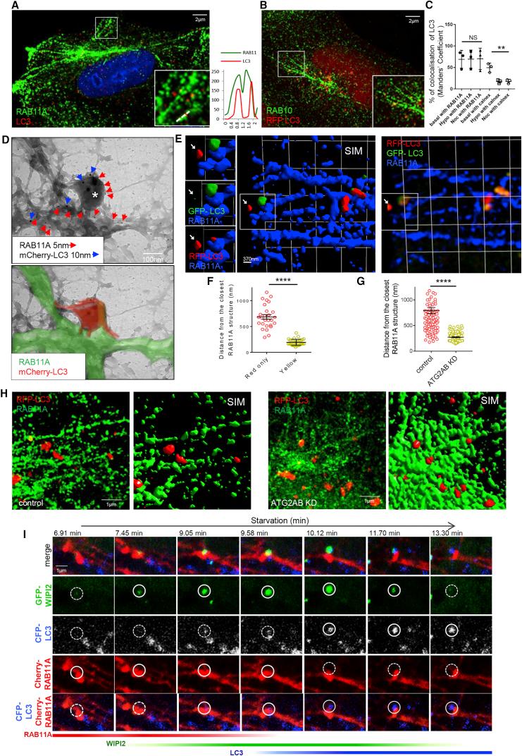
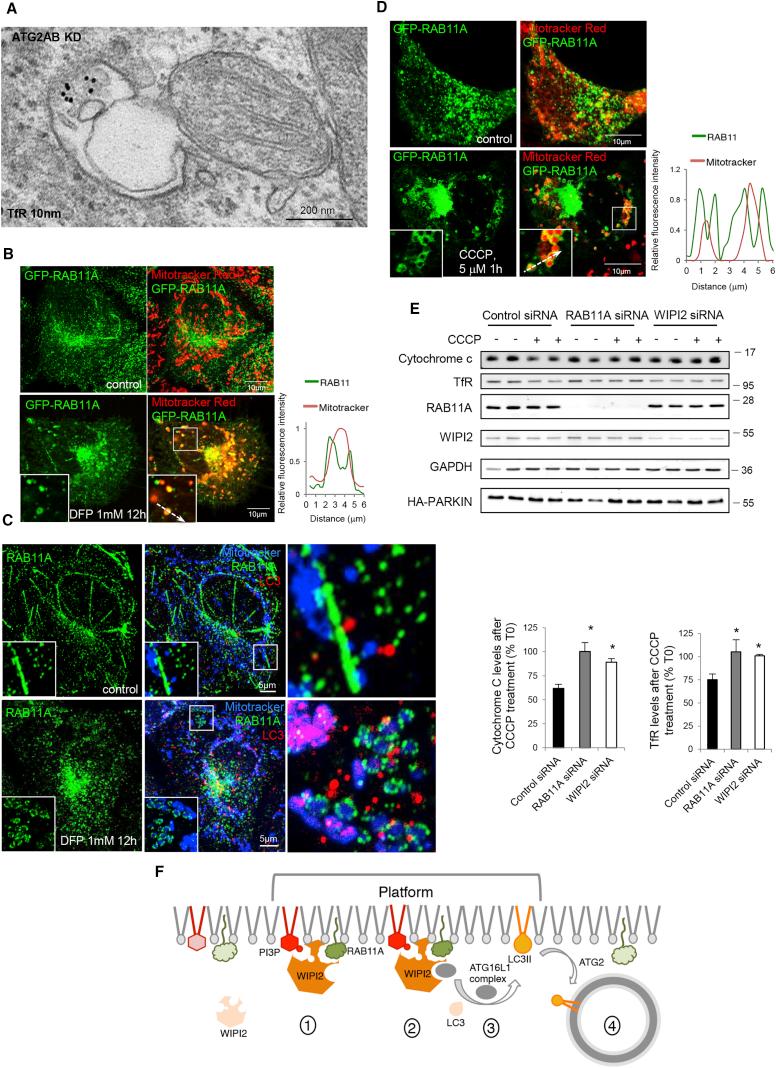
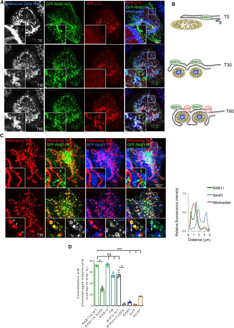
Autophagy is a critical pathway that degrades intracytoplasmic contents by engulfing them in double-membraned autophagosomes that are conjugated with LC3 family members. These membranes are specified by phosphatidylinositol 3-phosphate (PI3P), which recruits WIPI2, which, in turn, recruits ATG16L1 to specify the sites of LC3-conjugation. Conventionally, phosphatidylinositides act in concert with other proteins in targeting effectors to specific membranes. Here we describe that WIPI2 localizes to autophagic precursor membranes by binding RAB11A, a protein that specifies recycling endosomes, and that PI3P is formed on RAB11A-positive membranes upon starvation. Loss of RAB11A impairs the recruitment and assembly of the autophagic machinery. RAB11A-positive membranes are a primary direct platform for canonical autophagosome formation that enables autophagy of the transferrin receptor and damaged mitochondria. While this compartment may receive membrane inputs from other sources to enable autophagosome biogenesis, RAB11A-positive membranes appear to be a compartment from which autophagosomes evolve.

摘要

自噬是一种关键途径,通过将细胞质内容物包裹在与 LC3 家族成员结合的双层自噬体中来降解细胞质内容物。这些膜由磷脂酰肌醇 3-磷酸 (PI3P) 特异性指定,PI3P 招募 WIPI2,WIPI2 反过来招募 ATG16L1 以指定 LC3 结合的位点。通常,磷脂酰肌醇与其他蛋白质协同作用,将效应物靶向特定的膜。在这里,我们描述了 WIPI2 通过与 RAB11A 结合定位到自噬前体膜,RAB11A 是一种指定再循环内体的蛋白质,并且在饥饿时 RAB11A 阳性膜上形成 PI3P。RAB11A 的缺失会损害自噬机制的招募和组装。RAB11A 阳性膜是形成经典自噬体的主要直接平台,可实现转铁蛋白受体和受损线粒体的自噬。虽然该隔室可能会从其他来源接收膜输入以实现自噬体生物发生,但 RAB11A 阳性膜似乎是自噬体进化的隔室。

https://cdn.ncbi.nlm.nih.gov/pmc/blobs/b191/5896254/73f87b555690/fx1.jpg

文献AI研究员

20分钟写一篇综述,助力文献阅读效率提升50倍。

立即体验

用中文搜PubMed

大模型驱动的PubMed中文搜索引擎

马上搜索

文档翻译

学术文献翻译模型,支持多种主流文档格式。

立即体验