Suppr超能文献

卵巢肥大细胞向新生 MRL/MpJ 小鼠卵巢伞连接部迁移。

Ovarian mast cells migrate toward ovary-fimbria connection in neonatal MRL/MpJ mice.

机构信息

Laboratory of Anatomy, Department of Basic Veterinary Sciences, Division of Veterinary Medicine, Faculty of Veterinary Medicine, Hokkaido University, Sapporo, Hokkaido, Japan.

Section of Biological Science, Chitose Laboratory, Japan Food Research Laboratories, Chitose, Hokkaido, Japan.

出版信息

PLoS One. 2018 Apr 23;13(4):e0196364. doi: 10.1371/journal.pone.0196364. eCollection 2018.

Abstract

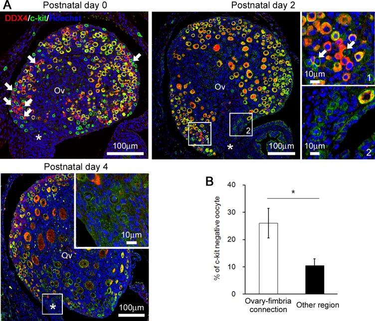
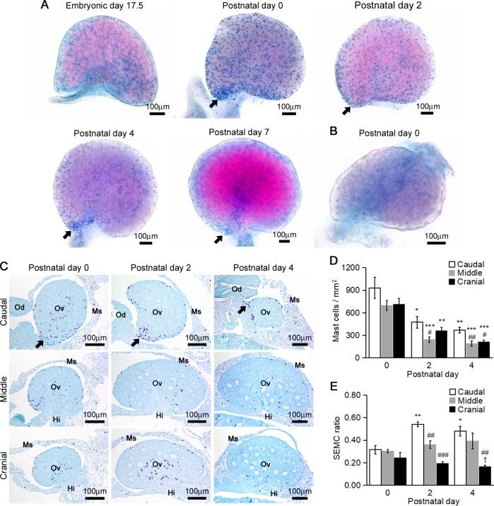
MRL/MpJ mice have abundant ovarian mast cells (MCs) as compared with other strains at postnatal day 0 (P0); however, they sharply decrease after birth. These ovarian MCs, particularly beneath the ovarian surface epithelium (SE), which express mucosal MC (MMC) marker, might participate in early follicular development. This study investigated the changes in spatiotemporal distribution of MCs in the perinatal MRL/MpJ mouse ovaries. At P0 to P7, the MCs were densely localized to the ovary, especially their caudomedial region around the ovary-fimbria connection. The neonatal ovarian MCs showed intermediate characteristics of MMC and connective tissue MC (CTMC), and the latter phenotype became evident with aging. However, the expression ratio of the MMC to CTMC marker increased from P0 to P4 in the MRL/MpJ mouse ovary. Similarly, the ratio of MCs facing SE to total MC number increased with aging, although the number of ovarian MCs decreased, indicating the relative increase in MMC phenotypes in the early neonatal ovary. Neither proliferating nor apoptotic MCs were found in the MRL/MpJ mouse ovaries. The parenchymal cells surrounding MCs at ovary-fimbria connection showed similar molecular expression patterns (E-cadherin+/Foxl2-/Gata4+) as that of the ovarian surface epithelial cells. At P2, around the ovary-fimbria connection, c-kit- immature oocytes formed clusters called nests, and some MCs localized adjacent to c-kit- oocytes within the nests. These results indicated that in postnatal MRL/MpJ mice, ovarian MCs changed their distribution by migrating toward the parenchymal cells composing ovary-fimbria connection, which possessed similar characteristics to the ovarian surface epithelium. Thus, we elucidated the spatiotemporal alterations of the ovarian MCs in MRL/MpJ mice, and suggested their importance during the early follicular development by migrating toward the ovary-fimbria connection. MRL/MpJ mice would be useful to elucidate the relationship between neonatal immunity and reproductive systems.

摘要

MRL/MpJ 小鼠在出生后 0 天(P0)时比其他品系具有丰富的卵巢肥大细胞(MC);然而,它们在出生后急剧减少。这些卵巢 MC,特别是在卵巢表面上皮(SE)下,表达黏膜 MC(MMC)标志物,可能参与早期卵泡发育。本研究调查了围产期 MRL/MpJ 小鼠卵巢中 MC 时空分布的变化。在 P0 至 P7 期间,MC 密集定位于卵巢,特别是在卵巢-输卵管连接的尾内侧区域。新生卵巢 MC 表现出 MMC 和结缔组织 MC(CTMC)的中间特征,并且后者表型随着年龄的增长而变得明显。然而,在 MRL/MpJ 小鼠卵巢中,从 P0 至 P4,MMC 与 CTMC 标志物的表达比例增加。同样,随着年龄的增长,面向 SE 的 MC 与总 MC 数量的比例增加,尽管卵巢 MC 的数量减少,但表明在早期新生卵巢中 MMC 表型的相对增加。在 MRL/MpJ 小鼠卵巢中未发现增殖或凋亡的 MC。在卵巢-输卵管连接处 MC 周围的实质细胞表现出与卵巢表面上皮细胞相似的分子表达模式(E-cadherin+/Foxl2-/Gata4+)。在 P2 时,在卵巢-输卵管连接周围,c-kit-不成熟卵母细胞形成称为巢的簇,一些 MC 定位于巢内的 c-kit-卵母细胞附近。这些结果表明,在新生 MRL/MpJ 小鼠中,卵巢 MC 通过向构成卵巢-输卵管连接的实质细胞迁移来改变其分布,这些实质细胞具有与卵巢表面上皮相似的特征。因此,我们阐明了 MRL/MpJ 小鼠卵巢 MC 的时空变化,并通过向卵巢-输卵管连接迁移,提示它们在早期卵泡发育中的重要性。MRL/MpJ 小鼠将有助于阐明新生儿免疫与生殖系统之间的关系。

https://cdn.ncbi.nlm.nih.gov/pmc/blobs/bd59/5912760/bfa3b3bcff12/pone.0196364.g001.jpg

文献AI研究员

20分钟写一篇综述,助力文献阅读效率提升50倍。

立即体验

用中文搜PubMed

大模型驱动的PubMed中文搜索引擎

马上搜索

文档翻译

学术文献翻译模型,支持多种主流文档格式。

立即体验