Suppr超能文献

工程化的肿瘤靶向 T 细胞通过直接作用和激活内源性免疫系统来增强抗肿瘤疗效。

Engineered Tumor-Targeted T Cells Mediate Enhanced Anti-Tumor Efficacy Both Directly and through Activation of the Endogenous Immune System.

机构信息

Department of Medicine, Memorial Sloan Kettering Cancer Center, New York, NY, USA.

Department of Medicine, Memorial Sloan Kettering Cancer Center, New York, NY, USA.

出版信息

Cell Rep. 2018 May 15;23(7):2130-2141. doi: 10.1016/j.celrep.2018.04.051.

Abstract

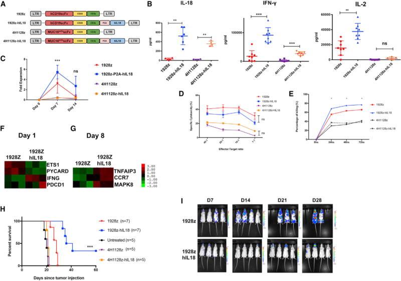
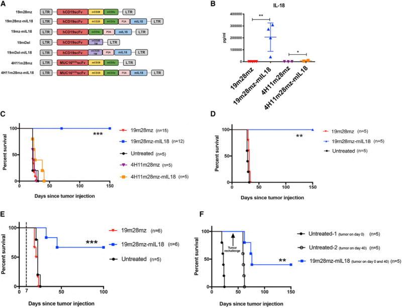
Chimeric antigen receptor (CAR) T cell therapy has proven clinically beneficial against B cell acute lymphoblastic leukemia and non-Hodgkin's lymphoma. However, suboptimal clinical outcomes have been associated with decreased expansion and persistence of adoptively transferred CAR T cells, antigen-negative relapses, and impairment by an immunosuppressive tumor microenvironment. Improvements in CAR T cell design are required to enhance clinical efficacy, as well as broaden the applicability of this technology. Here, we demonstrate that interleukin-18 (IL-18)-secreting CAR T cells exhibit enhanced in vivo expansion and persistence and significantly increase long-term survival in syngeneic mouse models of both hematological and solid malignancies. In addition, we demonstrate that IL-18-secreting CAR T cells are capable of modulating the tumor microenvironment, as well as enhancing an effective endogenous anti-tumor immune response. IL-18-secreting CAR T cells represent a promising strategy to enhance the clinical outcomes of adoptive T cell therapy.

摘要

嵌合抗原受体 (CAR) T 细胞疗法已被证明对 B 细胞急性淋巴细胞白血病和非霍奇金淋巴瘤具有临床益处。然而,与过继转移的 CAR T 细胞扩增和持续时间减少、抗原阴性复发以及免疫抑制肿瘤微环境损害相关的是,其临床结果并不理想。需要改进 CAR T 细胞设计,以提高临床疗效,并拓宽这项技术的适用性。在这里,我们证明白细胞介素-18(IL-18)分泌的 CAR T 细胞表现出增强的体内扩增和持久性,并显著提高同种异体小鼠血液系统和实体恶性肿瘤模型的长期存活率。此外,我们证明 IL-18 分泌的 CAR T 细胞能够调节肿瘤微环境,并增强有效的内源性抗肿瘤免疫反应。IL-18 分泌的 CAR T 细胞代表了增强过继性 T 细胞疗法临床效果的一种很有前途的策略。

https://cdn.ncbi.nlm.nih.gov/pmc/blobs/60ab/5986286/1c81b3e58029/nihms970659f1.jpg

文献AI研究员

20分钟写一篇综述,助力文献阅读效率提升50倍。

立即体验

用中文搜PubMed

大模型驱动的PubMed中文搜索引擎

马上搜索

文档翻译

学术文献翻译模型,支持多种主流文档格式。

立即体验