Suppr超能文献

经肝动脉栓塞术联合奥沙利铂和雷替曲塞低剂量持续肝动脉灌注化疗治疗伴有大门静脉癌栓的肝细胞癌。

Transarterial embolization and low-dose continuous hepatic arterial infusion chemotherapy with oxaliplatin and raltitrexed for hepatocellular carcinoma with major portal vein tumor thrombus.

机构信息

Department of Interventional Therapy, Beijing Cancer Hospital, Beijing 100142, China.

Department of Radiology, Yunnan Second People's Hospital, Kunming 650021, Yunnan Province, China.

出版信息

World J Gastroenterol. 2018 Jun 21;24(23):2501-2507. doi: 10.3748/wjg.v24.i23.2501.

Abstract

AIM

To determine the efficacy and safety of transarterial embolization and low-dose continuous hepatic arterial infusion chemotherapy with oxaliplatin and raltitrexed in hepatocellular carcinoma (HCC) with major portal vein tumor thrombus (MPVTT).

METHODS

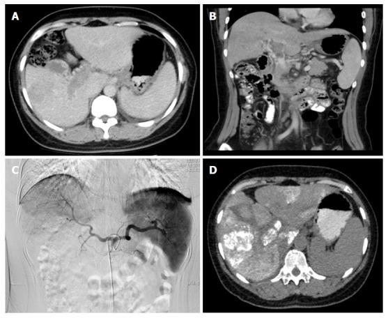
Eighty-six patients with MPVTT accepted routine embolization. The catheter was kept in the hepatic artery and oxaliplatin (50 mg in 250 mL of glucose) was infused by pump for 4 h, followed by raltitrexed (2 mg in 100 mL of 0.9% saline) infusion by pump for the next 1 h. The efficacy and safety were evaluated after the transarterial chemoembolization (TACE).

RESULTS

Full or partial embolization was achieved in 86 cases, where all the cases received low dose continuous hepatic arterial infusion chemotherapy. Complete responses (CRs), partial responses (PRs), stable disease (SD), and disease progression (PD) for intrahepatic disease were observed in 0, 45, 20, and 21 patients, respectively. The 1-, 2-and 3-year overall survival rates of the 86 patients were 40.7%, 22.1%, and 8.1% respectively, and the median survival time was 8.7 mo. Complication was limited.

CONCLUSION

TACE with low dose continuous hepatic arterial infusion of oxaliplatin and raltitrexed could be an option in MPVTT patient; it was shown to be effective in patients with advanced HCC with MPVTT with less toxicity.

摘要

目的

评估经动脉栓塞联合奥沙利铂和雷替曲塞低剂量持续肝动脉灌注化疗治疗伴有主门静脉癌栓(MPVTT)的肝细胞癌(HCC)的疗效和安全性。

方法

86 例伴有 MPVTT 的患者接受常规栓塞治疗。将导管保留在肝动脉中,用泵持续输注奥沙利铂(50mg 溶于 250ml 葡萄糖中)4 小时,然后用泵持续输注雷替曲塞(2mg 溶于 100ml 0.9%生理盐水)1 小时。经肝动脉化疗栓塞(TACE)后评估疗效和安全性。

结果

86 例患者均实现完全或部分栓塞,所有患者均接受低剂量持续肝动脉灌注化疗。肝内疾病的完全缓解(CR)、部分缓解(PR)、疾病稳定(SD)和疾病进展(PD)分别为 0、45、20 和 21 例。86 例患者的 1、2 和 3 年总生存率分别为 40.7%、22.1%和 8.1%,中位生存时间为 8.7 个月。并发症有限。

结论

经动脉栓塞联合奥沙利铂和雷替曲塞低剂量持续肝动脉灌注化疗是伴有 MPVTT 的 HCC 患者的一种选择,对伴有 MPVTT 的晚期 HCC 患者有效,且毒性较小。

https://cdn.ncbi.nlm.nih.gov/pmc/blobs/7fe5/6010942/54047a021afa/WJG-24-2501-g001.jpg

文献AI研究员

20分钟写一篇综述,助力文献阅读效率提升50倍。

立即体验

用中文搜PubMed

大模型驱动的PubMed中文搜索引擎

马上搜索

文档翻译

学术文献翻译模型,支持多种主流文档格式。

立即体验