Suppr超能文献

肾脏肿瘤的诊断和疗效评估影像学。

Imaging for the diagnosis and response assessment of renal tumours.

机构信息

Academic Urology Group, University of Cambridge, Addenbrooke's Hospital, Cambridge Biomedical Campus, Cambridge, CB2 0QQ, UK.

Cancer Imaging, School of Biomedical Engineering & Imaging Sciences, King's College London, London, UK.

出版信息

World J Urol. 2018 Dec;36(12):1927-1942. doi: 10.1007/s00345-018-2342-3. Epub 2018 Jun 13.

Abstract

PURPOSE

Imaging plays a key role throughout the renal cell carcinoma (RCC) patient pathway, from diagnosis and staging of the disease, to the assessment of response to therapy. This review aims to summarise current knowledge with regard to imaging in the RCC patient pathway, highlighting recent advances and challenges.

METHODS

A literature review was performed using Medline. Particular focus was paid to RCC imaging in the diagnosis, staging and response assessment following therapy.

RESULTS

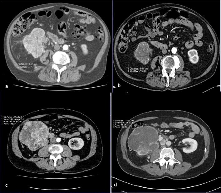
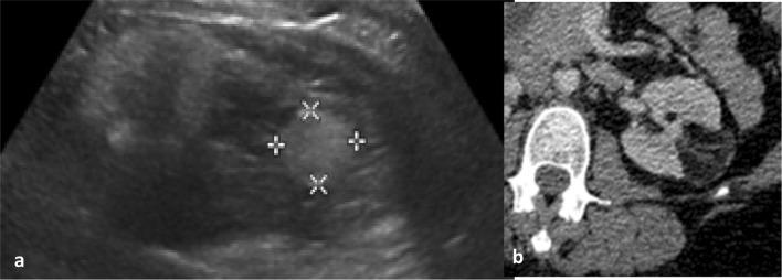
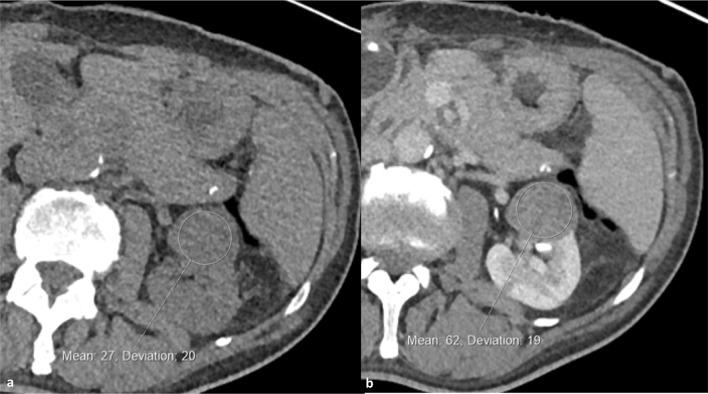
Characterisation of small renal masses (SRM) remains a diagnostic conundrum. Contrast-enhanced ultrasound (CEUS) has been increasingly applied in this field, as have emerging technologies such as multiparametric MRI, radiomics and molecular imaging with technetium-sestamibi single photon emission computed tomography/CT. CT remains the first-line modality for staging of locoregional and suspected metastatic disease. Although the staging accuracy of CT is good, limitations in determining nodal status persist. Response assessment following ablative therapies remains challenging, as reduction in tumour size may not occur. The pattern of enhancement on CT may be a more reliable indicator of treatment success. CEUS may also have a role in monitoring response following ablation. Response assessments following anti-angiogenic and immunotherapies in advanced RCC is an evolving field, with a number of alternative response criteria being proposed. Tumour response patterns may vary between different immunotherapy agents and tumour types; thus, future response criteria modifications may be inevitable.

CONCLUSION

The diagnosis and characterisation of SRM and response assessment following targeted therapy for advanced RCC are key challenges which warrant further research.

摘要

目的

影像学在肾细胞癌(RCC)患者的诊疗路径中起着关键作用,从疾病的诊断和分期,到治疗反应的评估。本综述旨在总结 RCC 患者诊疗路径中影像学的最新知识,强调最新进展和挑战。

方法

通过 Medline 进行文献回顾。特别关注 RCC 诊断、分期和治疗后反应评估的影像学。

结果

小肾肿块(SRM)的特征仍然是一个诊断难题。对比增强超声(CEUS)已越来越多地应用于这一领域,多参数 MRI、放射组学和锝- sestamibi 单光子发射计算机断层扫描/CT 等新兴技术也得到了应用。CT 仍然是局部区域和疑似转移性疾病分期的一线方法。虽然 CT 的分期准确性较好,但确定淋巴结状态的局限性仍然存在。消融治疗后的反应评估仍然具有挑战性,因为肿瘤大小可能不会缩小。CT 上的增强模式可能是治疗成功的更可靠指标。CEUS 也可能在消融后监测反应中发挥作用。晚期 RCC 中抗血管生成和免疫治疗后的反应评估是一个不断发展的领域,提出了许多替代反应标准。不同免疫治疗药物和肿瘤类型的肿瘤反应模式可能不同;因此,未来的反应标准修改可能是不可避免的。

结论

SRM 的诊断和特征以及晚期 RCC 靶向治疗后的反应评估是需要进一步研究的关键挑战。

https://cdn.ncbi.nlm.nih.gov/pmc/blobs/5ec9/6280818/adfef4ee294f/345_2018_2342_Fig1_HTML.jpg

文献AI研究员

20分钟写一篇综述,助力文献阅读效率提升50倍。

立即体验

用中文搜PubMed

大模型驱动的PubMed中文搜索引擎

马上搜索

文档翻译

学术文献翻译模型,支持多种主流文档格式。

立即体验