Suppr超能文献

检测腹膜间皮瘤患者胚系 BAP1 突变:对患者及其家庭成员的获益。

Detecting germline BAP1 mutations in patients with peritoneal mesothelioma: benefits to patient and family members.

机构信息

Loyola University, 15300 West Avenue, Orland Park, IL, 60462, USA.

University of Illinois, 9921 Southwest Highway, Oak Lawn, IL, 60453, USA.

出版信息

J Transl Med. 2018 Jul 13;16(1):194. doi: 10.1186/s12967-018-1559-7.

Abstract

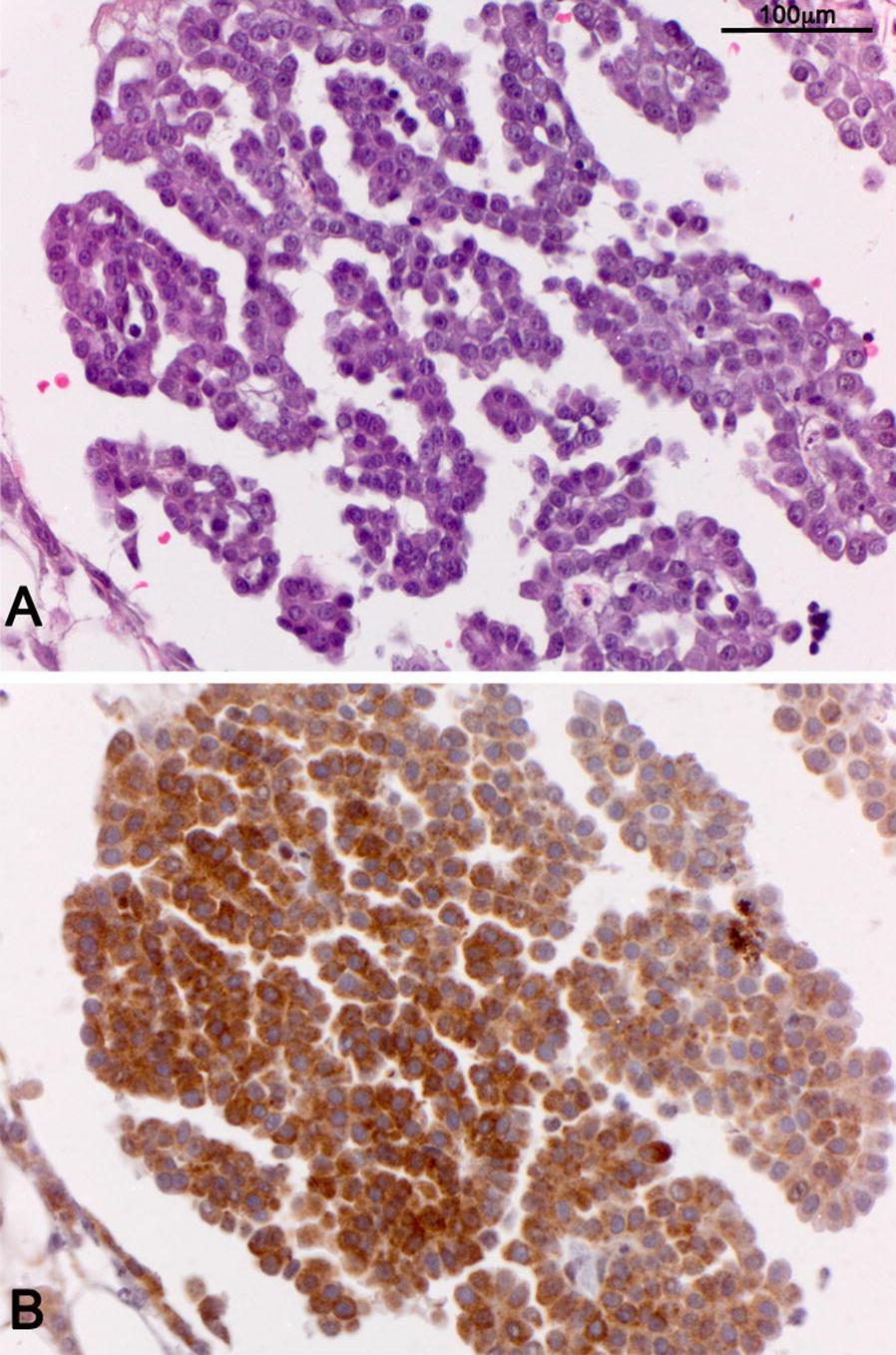
Germline mutations in the BRCA-1 associated tumor protein 1 (BAP1) increase susceptibility to mesothelioma and other cancers. We describe a patient with a family history of peritoneal mesothelioma, who developed malignant peritoneal mesothelioma at age 45 in the absence of known asbestos exposure. These findings lead us to hypothesize that the mesothelioma occurred in the setting of germline a BAP1 mutation. This was confirmed by genetic testing. The subsequent therapeutic choices for the patient and testing of at-risk family members highlight the importance of recognizing this genetic syndrome and screening for individuals at high risk.

摘要

BRCA-1 相关肿瘤蛋白 1(BAP1)的种系突变增加了间皮瘤和其他癌症的易感性。我们描述了一位有腹膜间皮瘤家族史的患者,他在 45 岁时在没有已知石棉暴露的情况下发生了恶性腹膜间皮瘤。这些发现使我们假设间皮瘤发生在 BAP1 基因突变的种系背景下。这通过基因测试得到了证实。随后为该患者选择的治疗方案和对高危家庭成员的检测突出了认识这种遗传综合征和对高危个体进行筛查的重要性。

https://cdn.ncbi.nlm.nih.gov/pmc/blobs/e2fc/6044070/2ce4b17e6187/12967_2018_1559_Fig1_HTML.jpg

文献AI研究员

20分钟写一篇综述,助力文献阅读效率提升50倍。

立即体验

用中文搜PubMed

大模型驱动的PubMed中文搜索引擎

马上搜索

文档翻译

学术文献翻译模型,支持多种主流文档格式。

立即体验