Suppr超能文献

TREX1 由正常人大脑中的小胶质细胞表达,并在受缺血影响的区域增加。

TREX1 is expressed by microglia in normal human brain and increases in regions affected by ischemia.

机构信息

Department of Biology and Biomedical Sciences Human & Statistical Genetics Program, Washington University School of Medicine, St. Louis, MO.

Division of Rheumatology, Immunology and Allergy, Department of Medicine, Brigham and Women's Hospital, Harvard Medical School, Boston, MA.

出版信息

Brain Pathol. 2018 Nov;28(6):806-821. doi: 10.1111/bpa.12626. Epub 2018 Oct 10.

Abstract

BACKGROUND

Mutations in the three-prime repair exonuclease 1 (TREX1) gene have been associated with neurological diseases, including Retinal Vasculopathy with Cerebral Leukoencephalopathy (RVCL). However, the endogenous expression of TREX1 in human brain has not been studied.

METHODS

We produced a rabbit polyclonal antibody (pAb) to TREX1 to characterize TREX1 by Western blotting (WB) of cell lysates from normal controls and subjects carrying an RVCL frame-shift mutation. Dual staining was performed to determine cell types expressing TREX1 in human brain tissue. TREX1 distribution in human brain was further evaluated by immunohistochemical analyses of formalin-fixed, paraffin-embedded samples from normal controls and patients with RVCL and ischemic stroke.

RESULTS

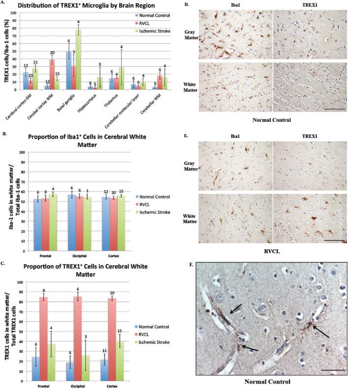
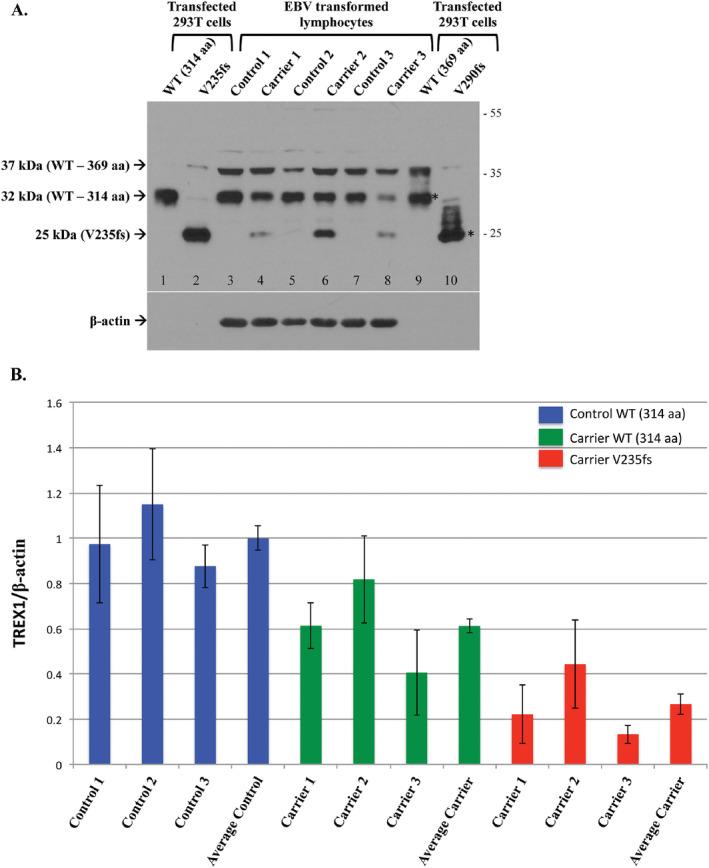
After validating the specificity of our anti-TREX1 rabbit pAb, WB analysis was utilized to detect the endogenous wild-type and frame-shift mutant of TREX1 in cell lysates. Dual staining in human brain tissues from patients with RVCL and normal controls localized TREX1 to a subset of microglia and macrophages. Quantification of immunohistochemical staining of the cerebral cortex revealed that TREX1 microglia were primarily in the gray matter of normal controls (22.7 ± 5.1% and 5.5 ± 1.9% of Iba1 microglia in gray and white matter, respectively) and commonly in association with the microvasculature. In contrast, in subjects with RVCL, the TREX1 microglia were predominantly located in the white matter of normal appearing cerebral cortex (11.8 ± 3.1% and 38.9 ± 5.8% of Iba1 microglia in gray and white matter, respectively). The number of TREX1 microglia was increased in ischemic brain lesions in central nervous system of RVCL and stroke patients.

CONCLUSIONS

TREX1 is expressed by a subset of microglia in normal human brain, often in close proximity to the microvasculature, and increases in the setting of ischemic lesions. These findings suggest a role for TREX1 microglia in vessel homeostasis and response to ischemic injury.

摘要

背景

三末端修复外切核酸酶 1(TREX1)基因的突变与包括视网膜血管病变伴脑白质病(RVCL)在内的神经疾病有关。然而,人类大脑中 TREX1 的内源性表达尚未得到研究。

方法

我们制备了 TREX1 的兔多克隆抗体(pAb),并用 Western blot(WB)分析来自携带 RVCL 移码突变的对照者和患者的细胞裂解物来鉴定 TREX1。通过双重染色确定人脑组织中表达 TREX1 的细胞类型。通过对来自 RVCL 和缺血性卒中患者的福尔马林固定、石蜡包埋样本的免疫组织化学分析进一步评估 TREX1 在人脑中的分布。

结果

在用我们的抗 TREX1 兔 pAb 进行特异性验证后,我们利用 WB 分析来检测细胞裂解物中内源性野生型和移码突变型 TREX1。对 RVCL 患者和对照者的人脑组织进行双重染色,将 TREX1 定位于一小部分小胶质细胞和巨噬细胞。对大脑皮层免疫组织化学染色的定量分析显示,TREX1 小胶质细胞主要位于正常对照者的灰质(灰质和白质中 Iba1 小胶质细胞分别为 22.7±5.1%和 5.5±1.9%),并常见于与微血管相关。相比之下,在 RVCL 患者中,TREX1 小胶质细胞主要位于正常外观大脑皮层的白质(灰质和白质中 Iba1 小胶质细胞分别为 11.8±3.1%和 38.9±5.8%)。在 RVCL 和中风患者的中枢神经系统缺血性脑损伤中,TREX1 小胶质细胞的数量增加。

结论

TREX1 由正常人类大脑中的一小部分小胶质细胞表达,通常靠近微血管,并且在缺血性损伤的情况下增加。这些发现提示 TREX1 小胶质细胞在血管稳态和对缺血性损伤的反应中起作用。

https://cdn.ncbi.nlm.nih.gov/pmc/blobs/f3ce/8028674/54ab0bf426ee/BPA-28-806-g002.jpg

文献AI研究员

20分钟写一篇综述,助力文献阅读效率提升50倍。

立即体验

用中文搜PubMed

大模型驱动的PubMed中文搜索引擎

马上搜索

文档翻译

学术文献翻译模型,支持多种主流文档格式。

立即体验