Suppr超能文献

用于研究猫传染性腹膜炎的分子发病机制的 I 型猫冠状病毒田间分离株的反向遗传学。

Reverse Genetics for Type I Feline Coronavirus Field Isolate To Study the Molecular Pathogenesis of Feline Infectious Peritonitis.

机构信息

Institute of Virology, Justus Liebig University Giessen, Giessen, Germany.

Institute of Veterinary Pathology, Justus Liebig University Giessen, Giessen, Germany.

出版信息

mBio. 2018 Jul 31;9(4):e01422-18. doi: 10.1128/mBio.01422-18.

Abstract

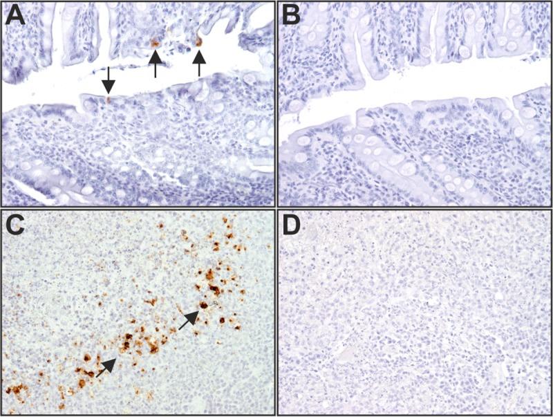
Feline infectious peritonitis (FIP), one of the most important lethal infections of cats, is caused by feline infectious peritonitis virus (FIPV), the high-virulence biotype of feline coronaviruses (FCoVs). FIPVs are suggested to emerge from feline enteric coronaviruses (FECVs) by acquiring mutations in specific genes in the course of persistent infections. Although numerous studies identified mutations predicted to be responsible for the FECV-FIPV biotype switch, the presumed roles of specific genetic changes in FIP pathogenesis have not been confirmed experimentally. Reverse genetics systems established previously for serotype I and the less common serotype II FCoVs were based on cell culture-adapted FIPV strains which, however, were shown to be unsuitable for FIP pathogenesis studies To date, systems to produce and manipulate recombinant serotype I field viruses have not been developed, mainly because these viruses cannot be grown Here, we report the first reverse genetics system based on a serotype I FECV field isolate that is suitable to produce high-titer stocks of recombinant FECVs. We demonstrate that these recombinant viruses cause productive persistent infections in cats that are similar to what is observed in natural infections. The system provides an excellent tool for studying FCoVs that do not grow in standard cell culture systems and will greatly facilitate studies into the molecular pathogenesis of FIP. Importantly, the system could also be adapted for studies of other RNA viruses with large genomes whose production and characterization are currently hampered by the lack of propagation systems. The availability of recombinant serotype I FCoV field isolates that are amenable to genetic manipulation is key to studying the molecular pathogenesis of FIP, especially since previous studies using cell culture-adapted FIPVs had proven unsuccessful. To our knowledge, we report the first serotype I FECV field isolate-based reverse genetics system that allows the production of high-titer recombinant virus stocks that can be used for subsequent studies in cats. The system represents a milestone in FCoV research. It provides an essential tool for studying the molecular pathogenesis of FIP and, more specifically, the functions of specific gene products in causing a fundamentally different progression of disease following acquisition of specific mutations. The system developed in this study will also be useful for studying other coronaviruses or more distantly related RNA viruses with large genomes for which suitable culture systems are not available.

摘要

猫传染性腹膜炎(FIP)是猫最致命的感染之一,由猫传染性腹膜炎病毒(FIPV)引起,FIPV 是猫冠状病毒(FCoV)的高毒力生物型。研究表明,FIPV 是在持续性感染过程中获得特定基因的突变,从猫肠道冠状病毒(FECV)中出现的。尽管许多研究鉴定出了预测与 FECV-FIPV 生物型转换相关的突变,但特定遗传变化在 FIP 发病机制中的假定作用尚未通过实验得到证实。以前为血清型 I 和较少见的血清型 II FCoV 建立的反向遗传学系统是基于细胞培养适应的 FIPV 株,但这些株被证明不适合 FIP 发病机制研究。迄今为止,尚未开发出用于产生和操作重组血清型 I 野病毒的系统,主要是因为这些病毒不能在体外培养。在这里,我们报告了第一个基于血清型 I FECV 野外分离株的反向遗传学系统,该系统适合产生高滴度的重组 FECV 株。我们证明,这些重组病毒在猫体内引起了类似于自然感染的产毒持续性感染。该系统为研究不能在标准细胞培养系统中生长的 FCoV 提供了极好的工具,并且极大地促进了 FIP 分子发病机制的研究。重要的是,该系统还可以适应其他基因组较大的 RNA 病毒的研究,目前由于缺乏繁殖系统,这些病毒的产生和表征受到阻碍。可用于遗传操作的重组血清型 I FCoV 野外分离株的可用性是研究 FIP 分子发病机制的关键,特别是因为之前使用细胞培养适应的 FIPV 的研究已被证明是不成功的。据我们所知,我们报告了第一个基于血清型 I FECV 野外分离株的反向遗传学系统,该系统允许产生可用于随后在猫中进行研究的高滴度重组病毒株。该系统是 FCoV 研究的一个里程碑。它为研究 FIP 的分子发病机制提供了一个重要的工具,更具体地说,它为研究获得特定突变后导致疾病发生根本不同进展的特定基因产物的功能提供了一个重要的工具。本研究中开发的系统也将有助于研究其他冠状病毒或亲缘关系更远的基因组较大的 RNA 病毒,因为这些病毒没有合适的培养系统。

https://cdn.ncbi.nlm.nih.gov/pmc/blobs/26c4/6069117/a57e1bb05336/mbo0041840060001.jpg

文献AI研究员

20分钟写一篇综述,助力文献阅读效率提升50倍。

立即体验

用中文搜PubMed

大模型驱动的PubMed中文搜索引擎

马上搜索

文档翻译

学术文献翻译模型,支持多种主流文档格式。

立即体验