Suppr超能文献

膜联蛋白 A2 通过激活 MYC-HIF1A-VEGF 轴促进食管癌进展。

ANXA2 promotes esophageal cancer progression by activating MYC-HIF1A-VEGF axis.

机构信息

State Key Laboratory of Molecular Oncology, National Cancer Center/National Clinical Research Center for Cancer/Cancer Hospital, Chinese Academy of Medical Sciences and Peking Union Medical College, 17 Panjiayuan Nanli, Chaoyang District, Beijing, 100021, China.

Basic Medical College, Bengbu Medical College, Bengbu, 233003, China.

出版信息

J Exp Clin Cancer Res. 2018 Aug 6;37(1):183. doi: 10.1186/s13046-018-0851-y.

Abstract

BACKGROUND

ANXA2 (Annexin A2) is a pleiotropic calcium-dependent phospholipid binding protein that is abnormally expressed in various cancers. We previously found that ANXA2 is upregulated in esophageal squamous cell carcinoma (ESCC). This study was designed to investigate the functional significance of ANXA2 dysregulation and underlying mechanism in ESCC.

METHODS

Proliferation, migration, invasion and metastasis assay were performed to examine the functional roles of ANXA2 in ESCC cells in vitro and in vivo. Real-time RT-PCR, immunoblotting, ChIP, reporter assay, confocal-immunofluorescence staining, co-immunoprecipitation and ubiquitination assay were used to explore the molecular mechanism underlying the actions of deregulated ANXA2 in ESCC cells.

RESULTS

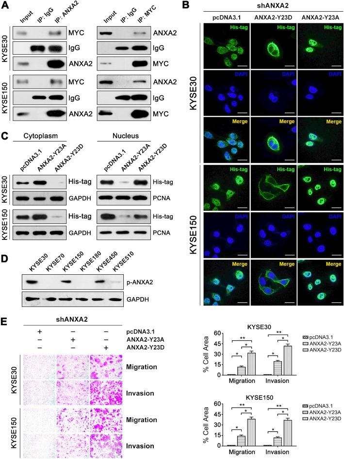
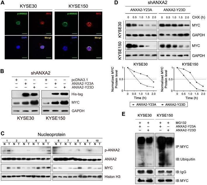
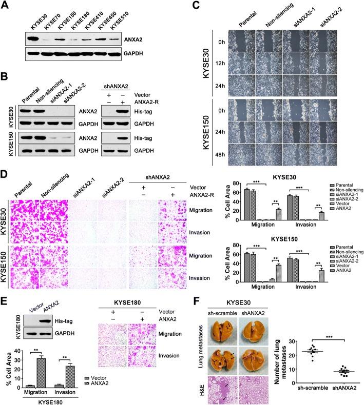
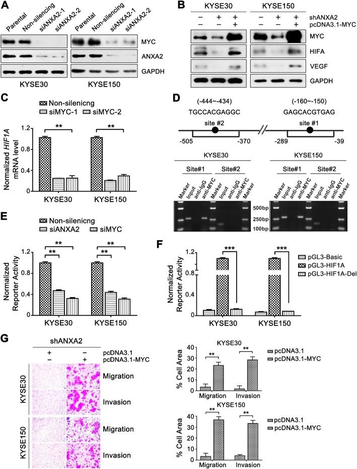
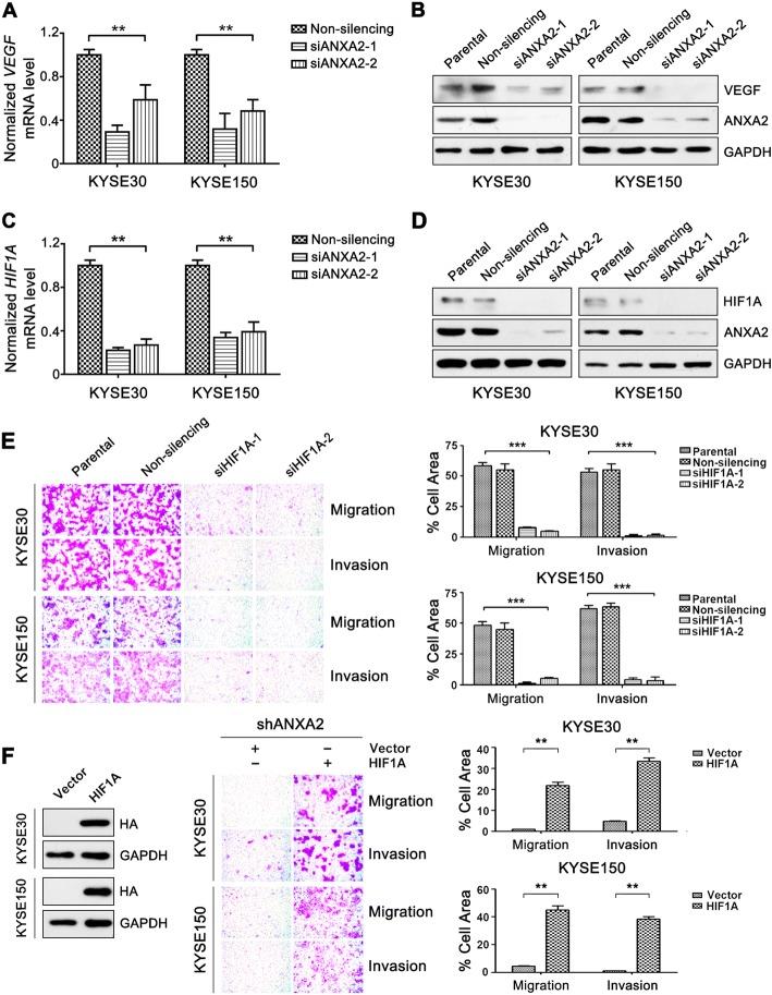
Overexpression of ANXA2 promoted ESCC cells migration and invasion in vitro and metastasis in vivo through activation of the MYC-HIF1A-VEGF cascade. Notably, ANXA2 phosphorylation at Tyr23 by SRC led to its translocation into the nucleus and enhanced the metastatic potential of ESCC cells. Phosphorylated ANXA2 (Tyr23) interacted with MYC and inhibited ubiquitin-dependent proteasomal degradation of MYC protein. Accumulated MYC directly potentiated HIF1A transcription and then activated VEGF expression. Correlation between these molecules were also found in ESCC tissues. Moreover, dasatinib in combination with bevacizumab or ANXA2-siRNA produced potent inhibitory effects on the growth of ESCC xenograft tumors in vivo.

CONCLUSIONS

This study provides evidence that highly expressed p-ANXA2 (Tyr23) contributes to ESCC progression by promoting migration, invasion and metastasis, and suggests that targeting the SRC-ANXA2-MYC-HIF1A-MYC axis may be an efficient strategy for ESCC treatment.

摘要

背景

ANXA2(膜联蛋白 A2)是一种多功能的、依赖于钙离子的磷脂结合蛋白,在各种癌症中异常表达。我们之前发现 ANXA2 在食管鳞状细胞癌(ESCC)中上调。本研究旨在探讨 ANXA2 失调在 ESCC 中的功能意义及其潜在机制。

方法

通过体外和体内增殖、迁移、侵袭和转移试验研究 ANXA2 失调对 ESCC 细胞的功能作用。实时 RT-PCR、免疫印迹、ChIP、报告基因分析、共聚焦免疫荧光染色、共免疫沉淀和泛素化分析用于探讨 ESCC 细胞中失调的 ANXA2 作用的分子机制。

结果

过表达 ANXA2 通过激活 MYC-HIF1A-VEGF 级联促进 ESCC 细胞的体外迁移和侵袭以及体内转移。值得注意的是,Src 介导的 ANXA2 酪氨酸 23 磷酸化导致其易位入核,并增强 ESCC 细胞的转移潜能。磷酸化的 ANXA2(Tyr23)与 MYC 相互作用,并抑制 MYC 蛋白的泛素依赖性蛋白酶体降解。累积的 MYC 直接增强 HIF1A 转录,然后激活 VEGF 表达。这些分子之间的相关性也在 ESCC 组织中发现。此外,达沙替尼联合贝伐单抗或 ANXA2-siRNA 对体内 ESCC 异种移植肿瘤的生长产生了强大的抑制作用。

结论

本研究提供的证据表明,高表达的 p-ANXA2(Tyr23)通过促进迁移、侵袭和转移促进 ESCC 进展,并表明靶向 SRC-ANXA2-MYC-HIF1A-MYC 轴可能是 ESCC 治疗的有效策略。

https://cdn.ncbi.nlm.nih.gov/pmc/blobs/9820/6091180/2eacd54fc724/13046_2018_851_Fig1_HTML.jpg

文献AI研究员

20分钟写一篇综述,助力文献阅读效率提升50倍。

立即体验

用中文搜PubMed

大模型驱动的PubMed中文搜索引擎

马上搜索

文档翻译

学术文献翻译模型,支持多种主流文档格式。

立即体验