Suppr超能文献

二苯美伦(Latrepirdine)的线粒体药理学促使人们重新审视其在阿尔茨海默病中的潜在治疗潜力。

Mitochondrial Pharmacology of Dimebon (Latrepirdine) Calls for a New Look at its Possible Therapeutic Potential in Alzheimer's Disease.

作者信息

Eckert Schamim H, Gaca Janett, Kolesova Nathalie, Friedland Kristina, Eckert Gunter P, Muller Walter E

机构信息

1Department of Pharmacology, University of Frankfurt/M, Biocenter, D-60438 Frankfurt, Germany.

2Deparment of Molecular and Clinical Pharmacy, University of Erlangen, D-91058 Erlangen, Germany.

出版信息

Aging Dis. 2018 Aug 1;9(4):729-744. doi: 10.14336/AD.2017.1014. eCollection 2018 Aug.

Abstract

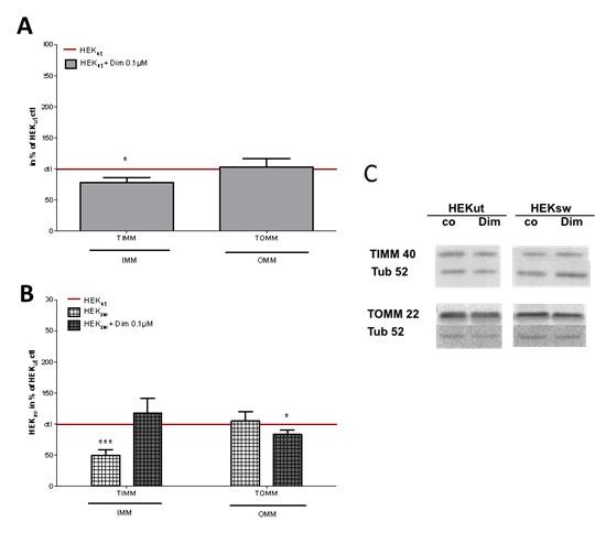
Dimebon (latrepirdine), an old antihistaminic drug, showed divergent results in two large clinical trials in Alzheimer disease (AD), which according to our review might be related to the specific pharmacological properties of the drug and the different patient populations included in both studies. Out of the many pharmacological effects of Dimebon, improvement of impaired mitochondrial function seeems to be most relevant for the substantial effects on cognition and behaviour reported in one of the studies, as these effects are already present at the low concentrations of dimebon measured in plasma and tissues of patients and experimental animals. Since impaired mitochondrial function seems to be the major driving force for the progression of the clinical symptoms and since most of the clinical benefits of dimebon originate from an effect on the symptomatic deterioration, mitochondrial improvement can also explain the lack of efficacy of this drug in another clinical trial where symptoms of the patiets remained stable for the time of the study. Accordingly, it seems worthwhile to reevaluate the clinical data to proof that clinical response is correlated with high levels of Neuropsychiatric Symptoms as these show a good relationship to the individual speed of symptomatic decline in AD patients related to mitochondrial dysfunction.

摘要

dimebon(latrepirdine)是一种古老的抗组胺药物,在两项针对阿尔茨海默病(AD)的大型临床试验中显示出不同的结果。根据我们的综述,这可能与该药物的特定药理特性以及两项研究中纳入的不同患者群体有关。在dimebon的众多药理作用中,改善受损的线粒体功能似乎与其中一项研究中报道的对认知和行为的显著影响最为相关,因为这些影响在患者和实验动物的血浆和组织中测得的低浓度dimebon时就已存在。由于线粒体功能受损似乎是临床症状进展的主要驱动力,并且由于dimebon的大多数临床益处源自对症状恶化的影响,线粒体功能改善也可以解释该药物在另一项临床试验中缺乏疗效的原因,在该试验中,患者的症状在研究期间保持稳定。因此,重新评估临床数据以证明临床反应与高水平的神经精神症状相关似乎是值得的,因为这些症状与AD患者与线粒体功能障碍相关的症状性衰退的个体速度有良好的关系。

https://cdn.ncbi.nlm.nih.gov/pmc/blobs/892e/6065284/bf41f53fc367/ad-9-4-729-g1.jpg

文献AI研究员

20分钟写一篇综述,助力文献阅读效率提升50倍。

立即体验

用中文搜PubMed

大模型驱动的PubMed中文搜索引擎

马上搜索

文档翻译

学术文献翻译模型,支持多种主流文档格式。

立即体验