Suppr超能文献

基质间充质干细胞通过相互的细胞间相互作用调节特定分泌分子,从而促进胰腺癌进展。

Stromal mesenchymal stem cells facilitate pancreatic cancer progression by regulating specific secretory molecules through mutual cellular interaction.

作者信息

Saito Ken, Sakaguchi Masakiyo, Maruyama Satoshi, Iioka Hidekazu, Putranto Endy Widya, Sumardika I Wayan, Tomonobu Nahoko, Kawasaki Takashi, Homma Keiichi, Kondo Eisaku

机构信息

Division of Molecular and Cellular Pathology, Niigata University Graduate School of Medical and Dental Sciences, 1-757 Asahimachi-dori, Chuo-ku, Niigata 951-8510, Japan.

Department of Cell Biology, Okayama University Graduate School of Medicine, Dentistry and Pharmaceutical Sciences, 2-5-1 Shikata-cho, Kita-ku, Okayama 700-8558, Japan.

出版信息

J Cancer. 2018 Jul 30;9(16):2916-2929. doi: 10.7150/jca.24415. eCollection 2018.

Abstract

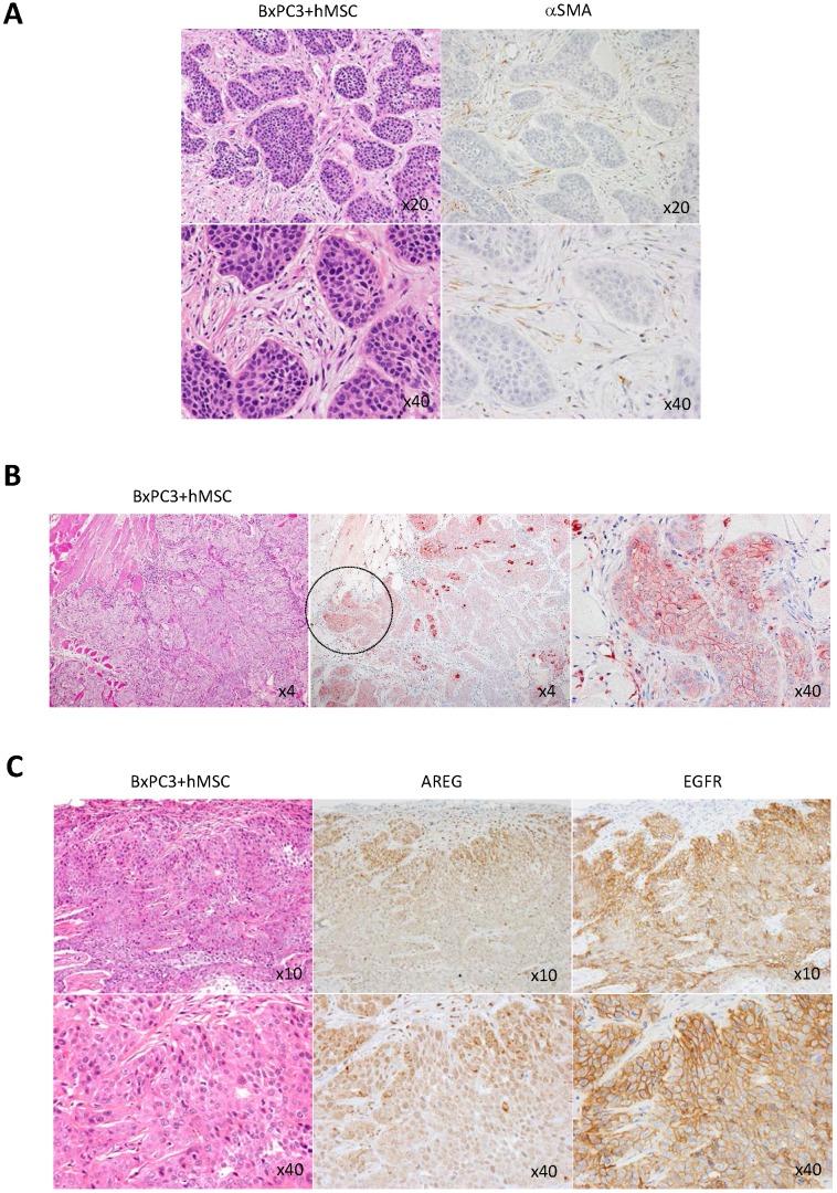
Pancreatic ductal adenocarcinoma (PDAC) is currently one of the most intractable malignancies with a typical scirrhous pattern in histology. Due to its abundant tumor stroma and scant vascularization, chemotherapeutic agents are considered inefficiently permeable to cancer nests, making it highly difficult to cure the patients with PDAC. However, PDAC is also considered to owe its intractability to other critical factors such as cellular interaction between tumor cells and tumor microenvironment as well as architectural barriers, which increases in therapeutic resistance. Here, we report a specific cellular interaction between PDAC cells and mesenchymal stem cells (MSCs) intermingled in PDAC stroma, which facilitates cancer invasion. Secretory phenotype profiling revealed that production of Amphiregulin (AREG) and MMP-3 were specifically upregulated under the coexistence of BxPC3 cells with human MSCs (approximately four to ten folds in AREG, and twenty to sixty-folds in MMP-3 compared to that of BxPC3 cells alone), whereas MMP-9 expression was decreased (less than one-tenth comparing with that of BxPC3 cells alone). Blockage of AREG production by its specific siRNA removed MSC-mediated driving force of BxPC3 invasiveness. Immunohistochemical analysis of tissue samples obtained both from PDAC patients and PDAC imitating mouse xenografted models revealed that significant coexpression of AREG and its receptor EGFR were detected on the cancer cells at invasive front. These results strongly suggested that cellular interaction between cancer cells and MSCs in the PDAC stroma might be critical to cancer progression, especially in the process of local invasion and the early stage development of metastasis.

摘要

胰腺导管腺癌(PDAC)是目前最难治疗的恶性肿瘤之一,其组织学表现为典型的硬癌模式。由于其肿瘤基质丰富且血管化程度低,化疗药物被认为难以有效渗透到癌巢,这使得治愈PDAC患者极为困难。然而,PDAC的难治性也被认为归因于其他关键因素,如肿瘤细胞与肿瘤微环境之间的细胞相互作用以及结构屏障,这些因素增加了治疗抗性。在此,我们报道了PDAC细胞与混杂在PDAC基质中的间充质干细胞(MSC)之间的一种特定细胞相互作用,这种相互作用促进了癌症侵袭。分泌表型分析显示,在BxPC3细胞与人MSC共存的情况下,双调蛋白(AREG)和基质金属蛋白酶-3(MMP-3)的产生特异性上调(与单独的BxPC3细胞相比,AREG约为四至十倍,MMP-3为二十至六十倍),而MMP-9的表达则下降(与单独的BxPC3细胞相比不到十分之一)。通过其特异性小干扰RNA阻断AREG的产生消除了MSC介导的BxPC3侵袭驱动力。对来自PDAC患者和模拟PDAC的小鼠异种移植模型的组织样本进行免疫组织化学分析显示,在侵袭前沿的癌细胞上检测到AREG及其受体表皮生长因子受体(EGFR)的显著共表达。这些结果强烈表明,PDAC基质中癌细胞与MSC之间的细胞相互作用可能对癌症进展至关重要,尤其是在局部侵袭和转移早期发展过程中。

https://cdn.ncbi.nlm.nih.gov/pmc/blobs/8da7/6096376/fdd5b37d0c2e/jcav09p2916g001.jpg

文献AI研究员

20分钟写一篇综述,助力文献阅读效率提升50倍。

立即体验

用中文搜PubMed

大模型驱动的PubMed中文搜索引擎

马上搜索

文档翻译

学术文献翻译模型,支持多种主流文档格式。

立即体验