Suppr超能文献

吉西他滨联合顺铂诱导化疗后局部晚期鼻咽癌的肿瘤体积缩小:与紫杉醇和顺铂方案的比较。

Tumor Volume Reduction After Gemcitabine Plus Cisplatin Induction Chemotherapy in Locally Advanced Nasopharyngeal Cancer: Comparison with Paclitaxel and Cisplatin Regimens.

机构信息

Department of Oncology, The Affiliated Hospital of Southwest Medical University, Luzhou, Sichuan, China (mainland).

Department of Radiation Oncology, Sichuan Cancer Hospital and Institute, Sichuan Cancer Center, School of Medicine, University of Electronic Science and Technology of China, Chengdu, Sichuan, China (mainland).

出版信息

Med Sci Monit. 2018 Nov 8;24:8001-8008. doi: 10.12659/MSM.909736.

Abstract

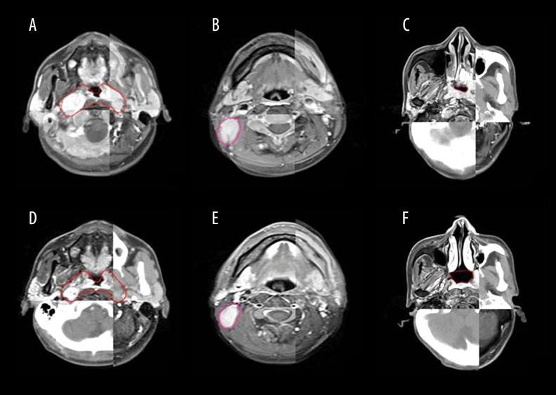
BACKGROUND Gemcitabine plus cisplatin (GP) is a novel regimen of induction chemotherapy (IC) for treating locoregional advanced nasopharyngeal cancer (NPC). This retrospective study aimed to compare the efficacy of GP and TP (paclitaxel plus cisplatin) regimens in tumor volume reduction after IC. MATERIAL AND METHODS Between January 2014 and July 2017, 44 patients with III-IVB stage NPC received GP IC followed by concurrent chemoradiotherapy. These patients were matched with 44 patients receiving TP IC according to clinical characteristics. The gross tumor volume of the primary site and positive lymph nodes were delineated by magnetic resonance imaging before and after IC, as well as the nasopharyngeal air cavities. The changes in tumor volume and nasopharyngeal air cavity after IC were calculated and compared between the 2 groups. Treatment toxicities and early survival outcomes were also reported. RESULTS There were no differences in the initial tumor volume and nasopharyngeal cavity between the 2 groups. The volume changes after IC for the primary site, lymph nodes, and nasopharyngeal cavity were 31.4 (range, -0.97-75.8), 4.68 (range, -7.08-22.06), and 2.62 (range, 0.1-7.63) mL for GP and 23.36 (range, -59.14-83.58), 4.7 (range, -11.21-48.61), and 1.47 (range, -2.47-6.17) mL for TP, respectively. All comparisons favored the GP regimen. The toxicities of the 2 regimens were comparable and no survival differences were observed at follow-up (median, 18.7 months). CONCLUSIONS Changes in the tumor volume and nasopharyngeal air cavity showed that the GP regimen was significantly more effective than the TP regimen in tumor burden reduction. However, whether the advantages of GP can translate into survival benefits requires further investigation.

摘要

背景

吉西他滨联合顺铂(GP)是治疗局部晚期鼻咽癌(NPC)的新型诱导化疗(IC)方案。本回顾性研究旨在比较 GP 和 TP(紫杉醇联合顺铂)方案在 IC 后肿瘤体积缩小方面的疗效。

材料与方法

2014 年 1 月至 2017 年 7 月,44 例 III-IVB 期 NPC 患者接受 GP IC 治疗,随后行同期放化疗。这些患者根据临床特征与 44 例接受 TP IC 治疗的患者相匹配。在 IC 前后,通过磁共振成像描绘原发部位和阳性淋巴结的大体肿瘤体积以及鼻咽腔。计算并比较两组患者 IC 后肿瘤体积和鼻咽腔的变化。还报告了治疗毒性和早期生存结果。

结果

两组患者的初始肿瘤体积和鼻咽腔无差异。原发部位、淋巴结和鼻咽腔的 IC 后体积变化分别为 GP 组 31.4(范围,-0.97-75.8)、4.68(范围,-7.08-22.06)和 2.62(范围,0.1-7.63)mL,TP 组 23.36(范围,-59.14-83.58)、4.7(范围,-11.21-48.61)和 1.47(范围,-2.47-6.17)mL。所有比较均有利于 GP 方案。两种方案的毒性相当,随访时无生存差异(中位随访时间 18.7 个月)。

结论

肿瘤体积和鼻咽腔的变化表明,GP 方案在减轻肿瘤负担方面明显优于 TP 方案。然而,GP 的优势是否能转化为生存获益还需要进一步研究。

https://cdn.ncbi.nlm.nih.gov/pmc/blobs/05c6/6237045/919a6b06b985/medscimonit-24-8001-g001.jpg

文献AI研究员

20分钟写一篇综述,助力文献阅读效率提升50倍。

立即体验

用中文搜PubMed

大模型驱动的PubMed中文搜索引擎

马上搜索

文档翻译

学术文献翻译模型,支持多种主流文档格式。

立即体验