Suppr超能文献

TRIM21 通过与 MAVS 相互作用并正向调节 IRF3 介导的 I 型干扰素产生来限制柯萨奇病毒 B3 复制、心脏和胰腺损伤。

TRIM21 Restricts Coxsackievirus B3 Replication, Cardiac and Pancreatic Injury via Interacting With MAVS and Positively Regulating IRF3-Mediated Type-I Interferon Production.

机构信息

Jiangsu Provincial Key Laboratory of Infection and Immunity, Institute of Biology and Medical Sciences, Soochow University, Suzhou, China.

出版信息

Front Immunol. 2018 Oct 25;9:2479. doi: 10.3389/fimmu.2018.02479. eCollection 2018.

Abstract

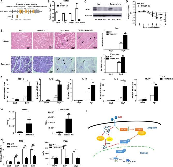
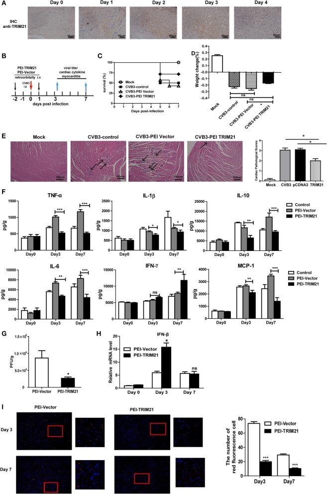
Tripartite motif-containing 21 (TRIM21) is a regulator of tissue inflammation and pro-inflammatory cytokine production, and has been implicated in negative regulation of IRF3-dependent type I interferon signaling. However, the antiviral activity of TRIM21 varies among diverse viruses and its role on regulation of type I interferon remains inconsistent in different microbial infections. Here, we investigate the potential role for TRIM21 in controlling Coxsackievirus B3 (CVB3) replication and susceptible organ pathology. We found that CVB3 infection up-regulated the expression of TRIM21 in hearts of mice and cardiomyocytes at early phase of infection. Knock-down of TRIM21 resulted in increased viral replication, while overexpression led to increased phosphorylation and dimerization of IRF3, increased IFN-β transcription and reduced viral replication . We demonstrate that TRIM21 promotes the activation of IRF3 in CVB3-infected cells via interacting with MAVS and catalyzing the K27-linked polyubiquitination of MAVS, thereby enhancing type I interferon signaling. The RING domain of ubiquitin ligase activity and PRY-SPRY domain of TRIM21 are critical for its anti-viral effect. overexpression of TRIM21 significantly protected mice against viral myocarditis by suppressing CVB3 replication and reducing cardiac inflammatory cytokine production. While TRIM21 deficient mice exhibited a decreased IFN-β production, an increased cardiac and pancreatic CVB3 replication, and aggravated pancreatic injury as well as myocarditis during acute infection. Thus, our results demonstrate TRIM21 as a positive regulator of IFN-β signaling by targeting MAVS during CVB3 infection and suggest it as a potent host defense against CVB3 infection and viral-induced injury in hearts and pancreas.

摘要

三结构域蛋白 21(TRIM21)是组织炎症和促炎细胞因子产生的调节剂,已被牵连到负调节干扰素调节因子 3(IRF3)依赖性 I 型干扰素信号。然而,TRIM21 的抗病毒活性在不同病毒之间存在差异,其在不同微生物感染中对 I 型干扰素的调节作用也不一致。在这里,我们研究了 TRIM21 在控制柯萨奇病毒 B3(CVB3)复制和易感器官病理中的潜在作用。我们发现,CVB3 感染早期在小鼠心脏和心肌细胞中上调了 TRIM21 的表达。TRIM21 的敲低导致病毒复制增加,而过表达导致 IRF3 的磷酸化和二聚化增加、IFN-β转录增加和病毒复制减少。我们证明,TRIM21 通过与 MAVS 相互作用并催化 MAVS 的 K27 连接多泛素化,促进 CVB3 感染细胞中 IRF3 的激活,从而增强 I 型干扰素信号。泛素连接酶活性的 RING 结构域和 TRIM21 的 PRY-SPRY 结构域对其抗病毒作用至关重要。TRIM21 的过表达通过抑制 CVB3 复制和减少心脏炎性细胞因子产生,显著保护小鼠免受病毒性心肌炎的侵害。而 TRIM21 缺陷小鼠表现出 IFN-β 产生减少、心脏和胰腺 CVB3 复制增加以及急性感染时胰腺损伤和心肌炎加重。因此,我们的研究结果表明,TRIM21 在 CVB3 感染期间作为针对 MAVS 的 IFN-β 信号的正调节剂,并表明其作为针对 CVB3 感染和病毒诱导的心脏和胰腺损伤的有效宿主防御。

https://cdn.ncbi.nlm.nih.gov/pmc/blobs/6ea6/6209670/c28b80c67e82/fimmu-09-02479-g0001.jpg

文献AI研究员

20分钟写一篇综述,助力文献阅读效率提升50倍。

立即体验

用中文搜PubMed

大模型驱动的PubMed中文搜索引擎

马上搜索

文档翻译

学术文献翻译模型,支持多种主流文档格式。

立即体验