Suppr超能文献

黄芪甲苷联合布地奈德通过调控 Nrf2/Keap1 通路对大鼠支气管炎的保护作用。

Protective Effects of Astragaloside IV Combined with Budesonide in Bronchitis in Rats by Regulation of Nrf2/Keap1 Pathway.

机构信息

Department of Anesthesiology, Huai'an First People's Hospital, Nanjing Medical University, Huai'an, Jiangsu, China (mainland).

Department of Anesthesiology, Weifang People's Hospital, Weifang, Shandong, China (mainland).

出版信息

Med Sci Monit. 2018 Nov 24;24:8481-8488. doi: 10.12659/MSM.911150.

Abstract

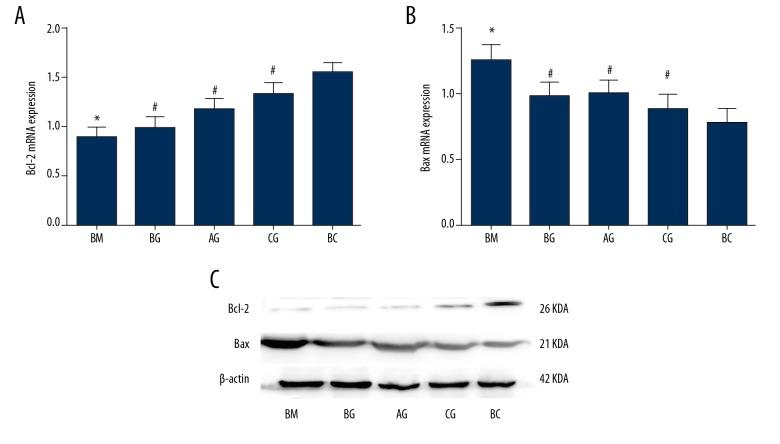
BACKGROUND This study was conducted to evaluate the effects of astragaloside IV and budesonide on bronchitis in rats and to explore the mechanism involved. MATERIAL AND METHODS Eighty Sprague-Dawley (SD) rats were randomly divided into 5 groups, including a Bronchitis model group (BM), a Budesonide group (BG), an Astragaloside IV group (AG), an Astragaloside IV combined with Budesonide group (CG), and a blank control group (BC). Lung tissue was stained with hematoxylin and eosin (H&E). The activity of catalase (CAT), superoxide dismutase (SOD), glutathione peroxidase (GSH-Px), and malondialdehyde (MDA) were detected by enzyme-linked immunosorbent assay (ELISA). The nuclear factor erythroid 2 [NF-E2]-related factor 2 (Nrf2), Kelch-like erythroid cell-derived protein with CNC homology [ECH]-associated protein 1 (Keap1), BTB and CNC homology 1 (Bach1), B-cell lymphoma-2(Bcl-2), and BCl-2-associated X protein (Bax) mRNA and protein were examined by RT-PCR and Western blot, respectively. RESULTS Compared with the Bronchitis model group, the lung tissue lesions in the Budesonide group, Astragaloside IV group, and Astragaloside IV combined with Budesonide group were effectively ameliorated and the airway resistance was significantly decreased. The activities of SOD, GSH-Px, and CAT were increased after treatment with drugs, while the content of MDA was decreased. The levels of Nrf2, Keap1, and Bcl-2 proteins were increased and the levels of Bach1 and Bax were decreased after treatment with Budesonide and Astragaloside IV. CONCLUSIONS Astragaloside IV combined with budesonide can ameliorate the lesions caused by bronchitis in rats through activating the Nrf2/Keap1 pathway, which plays a protective role on anti-oxidative stress injury.

摘要

背景

本研究旨在评估黄芪甲苷和布地奈德对大鼠支气管炎的影响,并探讨其作用机制。

材料和方法

将 80 只 Sprague-Dawley(SD)大鼠随机分为 5 组,分别为支气管炎模型组(BM)、布地奈德组(BG)、黄芪甲苷组(AG)、黄芪甲苷联合布地奈德组(CG)和空白对照组(BC)。用苏木精和伊红(H&E)染色肺组织。通过酶联免疫吸附试验(ELISA)检测过氧化氢酶(CAT)、超氧化物歧化酶(SOD)、谷胱甘肽过氧化物酶(GSH-Px)和丙二醛(MDA)的活性。通过逆转录聚合酶链反应(RT-PCR)和 Western blot 分别检测核因子红细胞 2 [NF-E2]-相关因子 2(Nrf2)、Kelch 样红细胞衍生蛋白与 CNC 同源 [ECH]-相关蛋白 1(Keap1)、BTB 和 CNC 同源 1(Bach1)、B 细胞淋巴瘤-2(Bcl-2)和 Bcl-2 相关 X 蛋白(Bax)的 mRNA 和蛋白表达。

结果

与支气管炎模型组相比,布地奈德组、黄芪甲苷组和黄芪甲苷联合布地奈德组的肺组织病变得到有效改善,气道阻力明显降低。药物治疗后 SOD、GSH-Px 和 CAT 活性增加,MDA 含量降低。与模型组相比,布地奈德组和黄芪甲苷组 Nrf2、Keap1 和 Bcl-2 蛋白水平升高,Bach1 和 Bax 蛋白水平降低。

结论

黄芪甲苷联合布地奈德可通过激活 Nrf2/Keap1 通路减轻大鼠支气管炎引起的损伤,发挥抗氧化应激损伤的保护作用。

https://cdn.ncbi.nlm.nih.gov/pmc/blobs/8415/6270885/e4983e7e31fa/medscimonit-24-8481-g001.jpg

文献AI研究员

20分钟写一篇综述,助力文献阅读效率提升50倍。

立即体验

用中文搜PubMed

大模型驱动的PubMed中文搜索引擎

马上搜索

文档翻译

学术文献翻译模型,支持多种主流文档格式。

立即体验