Suppr超能文献

TMPRSS2 促进冠状病毒感染后小鼠模型呼吸道中的病毒传播和免疫病理。

TMPRSS2 Contributes to Virus Spread and Immunopathology in the Airways of Murine Models after Coronavirus Infection.

机构信息

Department of Pathology, National Institute of Infectious Diseases, Tokyo, Japan.

Department of Laboratory Animal Medicine, Research Institute, National Center for Global Health and Medicine, Tokyo, Japan.

出版信息

J Virol. 2019 Mar 5;93(6). doi: 10.1128/JVI.01815-18. Print 2019 Mar 15.

Abstract

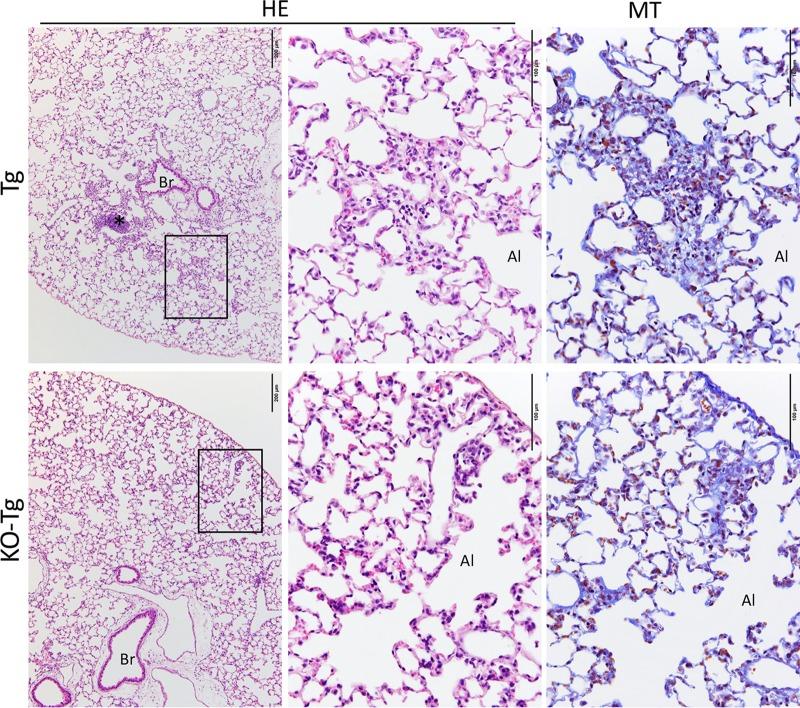
Transmembrane serine protease TMPRSS2 activates the spike protein of highly pathogenic human coronaviruses such as severe acute respiratory syndrome-related coronavirus (SARS-CoV) and Middle East respiratory syndrome-related coronavirus (MERS-CoV). , activation induces virus-cell membrane fusion at the cell surface. However, the roles of TMPRSS2 during coronavirus infection are unclear. Here, we used animal models of SARS-CoV and MERS-CoV infection to investigate the role of TMPRSS2. Th1-prone C57BL/6 mice and TMPRSS2-knockout (KO) mice were used for SARS-CoV infection, and transgenic mice expressing the human MERS-CoV receptor DPP4 (hDPP4-Tg mice) and TMPRSS2-KO hDPP4-Tg mice were used for MERS-CoV infection. After experimental infection, TMPRSS2-deficient mouse strains showed reduced body weight loss and viral kinetics in the lungs. Lack of TMPRSS2 affected the primary sites of infection and virus spread within the airway, accompanied by less severe immunopathology. However, TMPRSS2-KO mice showed weakened inflammatory chemokine and/or cytokine responses to intranasal stimulation with poly(I·C), a Toll-like receptor 3 agonist. In conclusion, TMPRSS2 plays a crucial role in viral spread within the airway of murine models infected by SARS-CoV and MERS-CoV and in the resulting immunopathology. Broad-spectrum antiviral drugs against highly pathogenic coronaviruses and other emerging viruses are desirable to enable a rapid response to pandemic threats. Transmembrane protease serine type 2 (TMPRSS2), a protease belonging to the type II transmembrane serine protease family, cleaves the coronavirus spike protein, making it a potential therapeutic target for coronavirus infections. Here, we examined the role of TMPRSS2 using animal models of SARS-CoV and MERS-CoV infection. The results suggest that lack of TMPRSS2 in the airways reduces the severity of lung pathology after infection by SARS-CoV and MERS-CoV. Taken together, the results will facilitate development of novel targets for coronavirus therapy.

摘要

跨膜丝氨酸蛋白酶 TMPRSS2 激活高致病性人类冠状病毒,如严重急性呼吸系统综合征相关冠状病毒(SARS-CoV)和中东呼吸系统综合征相关冠状病毒(MERS-CoV)的刺突蛋白。这种激活诱导病毒-细胞膜在细胞表面融合。然而,TMPRSS2 在冠状病毒感染过程中的作用尚不清楚。在这里,我们使用 SARS-CoV 和 MERS-CoV 感染的动物模型来研究 TMPRSS2 的作用。Th1 倾向的 C57BL/6 小鼠和 TMPRSS2 敲除(KO)小鼠用于 SARS-CoV 感染,表达人 MERS-CoV 受体 DPP4(hDPP4-Tg 小鼠)和 TMPRSS2-KO hDPP4-Tg 小鼠用于 MERS-CoV 感染。实验感染后,TMPRSS2 缺陷小鼠株体重减轻和肺部病毒动力学减少。缺乏 TMPRSS2 影响感染的主要部位和气道内病毒的传播,并伴有较轻的免疫病理学。然而,TMPRSS2-KO 小鼠对 Toll 样受体 3 激动剂 poly(I·C) 鼻内刺激的炎症趋化因子和/或细胞因子反应减弱。总之,TMPRSS2 在 SARS-CoV 和 MERS-CoV 感染的小鼠模型中病毒在气道内的传播以及由此产生的免疫病理学中起关键作用。针对高致病性冠状病毒和其他新兴病毒的广谱抗病毒药物是理想的,以便能够对大流行威胁做出快速反应。跨膜蛋白酶丝氨酸 2 型(TMPRSS2)是一种属于 II 型跨膜丝氨酸蛋白酶家族的蛋白酶,可切割冠状病毒刺突蛋白,使其成为冠状病毒感染的潜在治疗靶点。在这里,我们使用 SARS-CoV 和 MERS-CoV 感染的动物模型研究了 TMPRSS2 的作用。结果表明,气道中缺乏 TMPRSS2 可降低 SARS-CoV 和 MERS-CoV 感染后肺部病理学的严重程度。总之,这些结果将有助于开发冠状病毒治疗的新靶点。

https://cdn.ncbi.nlm.nih.gov/pmc/blobs/2c73/6401451/8d304aeb152f/JVI.01815-18-f0001.jpg

文献AI研究员

20分钟写一篇综述,助力文献阅读效率提升50倍。

立即体验

用中文搜PubMed

大模型驱动的PubMed中文搜索引擎

马上搜索

文档翻译

学术文献翻译模型,支持多种主流文档格式。

立即体验