Suppr超能文献

C-X-C 基序趋化因子受体 4 阻断通过增强调节性 T 细胞动员和免疫调节功能促进心肌梗死后的组织修复。

C-X-C Motif Chemokine Receptor 4 Blockade Promotes Tissue Repair After Myocardial Infarction by Enhancing Regulatory T Cell Mobilization and Immune-Regulatory Function.

机构信息

Division of Molecular and Translational Cardiology, Department of Cardiology and Angiology (Y.W., M.K.-K., H.F., E.B., A.K., K.C.W.), Hannover Medical School, Germany.

Department of Cardiology and Angiology (Y.W., M.K.-K., L.C.N., H.F., E.B., A.K., J.B., K.C.W.), Hannover Medical School, Germany.

出版信息

Circulation. 2019 Apr 9;139(15):1798-1812. doi: 10.1161/CIRCULATIONAHA.118.036053.

Abstract

BACKGROUND

Acute myocardial infarction (MI) elicits an inflammatory response that drives tissue repair and adverse cardiac remodeling. Inflammatory cell trafficking after MI is controlled by C-X-C motif chemokine ligand 12 (CXCL12) and its receptor, C-X-C motif chemokine receptor 4 (CXCR4). CXCR4 antagonists mobilize inflammatory cells and promote infarct repair, but the cellular mechanisms are unclear.

METHODS

We investigated the therapeutic potential and mode of action of the peptidic macrocycle CXCR4 antagonist POL5551 in mice with reperfused MI. We applied cell depletion and adoptive transfer strategies using lymphocyte-deficient Rag1 knockout mice; DEREG mice, which express a diphtheria toxin receptor-enhanced green fluorescent protein fusion protein under the control of the promoter/enhancer region of the regulatory T (T) cell-restricted Foxp3 transcription factor; and dendritic cell-depleted CD11c-Cre iDTR mice. Translational potential was explored in a porcine model of reperfused MI using serial contrast-enhanced magnetic resonance imaging.

RESULTS

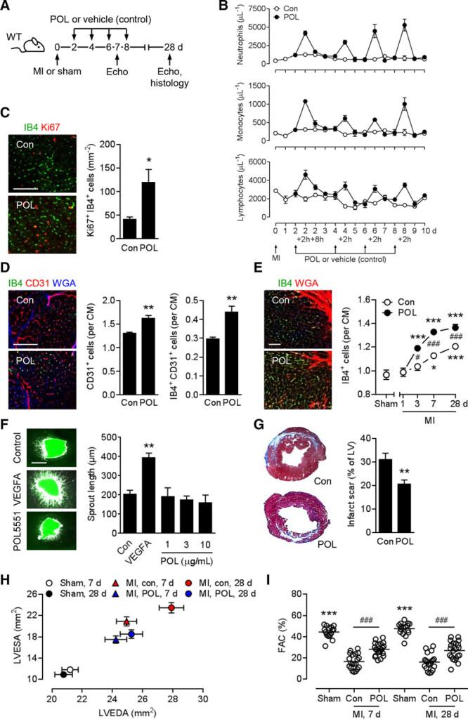
Intraperitoneal POL5551 injections in wild-type mice (8 mg/kg at 2, 4, 6, and 8 days) enhanced angiogenesis in the infarct border zone, reduced scar size, and attenuated left ventricular remodeling and contractile dysfunction at 28 days. Treatment effects were absent in splenectomized wild-type mice, Rag1 knockout mice, and T cell-depleted DEREG mice. Conversely, treatment effects could be transferred into infarcted splenectomized wild-type mice by transplanting splenic T cells from POL5551-treated infarcted DEREG mice. Instructive cues provided by infarct-primed dendritic cells were required for POL5551 treatment effects. POL5551 injections mobilized T cells into the peripheral blood, followed by enhanced T cell accumulation in the infarcted region. Neutrophils, monocytes, and lymphocytes displayed similar mobilization kinetics, but their cardiac recruitment was not affected. POL5551, however, attenuated inflammatory gene expression in monocytes and macrophages in the infarcted region via T cells. Intravenous infusion of the clinical-stage POL5551 analogue POL6326 (3 mg/kg at 4, 6, 8, and 10 days) decreased infarct volume and improved left ventricular ejection fraction in pigs.

CONCLUSIONS

These data confirm CXCR4 blockade as a promising treatment strategy after MI. We identify dendritic cell-primed splenic T cells as the central arbiters of these therapeutic effects and thereby delineate a pharmacological strategy to promote infarct repair by augmenting T cell function in vivo.

摘要

背景

急性心肌梗死(MI)引发炎症反应,从而驱动组织修复和不良的心脏重构。MI 后炎症细胞的迁移由 C-X-C 基序趋化因子配体 12(CXCL12)及其受体 C-X-C 基序趋化因子受体 4(CXCR4)控制。CXCR4 拮抗剂可动员炎症细胞并促进梗死修复,但细胞机制尚不清楚。

方法

我们研究了再灌注 MI 小鼠中,肽大环 CXCR4 拮抗剂 POL5551 的治疗潜力和作用机制。我们应用淋巴细胞缺陷 Rag1 基因敲除小鼠;表达在调节性 T(T)细胞限制性 Foxp3 转录因子启动子/增强子区域控制下的白喉毒素受体增强型绿色荧光蛋白融合蛋白的 DEREG 小鼠;和树突状细胞缺陷 CD11c-Cre iDTR 小鼠进行细胞耗竭和过继转移策略。在猪再灌注 MI 模型中,通过连续对比增强磁共振成像来探索其转化潜力。

结果

在野生型小鼠中,腹腔内 POL5551 注射(2、4、6 和 8 天,8mg/kg)增强梗死边缘区的血管生成,减少疤痕大小,并在 28 天时减轻左心室重构和收缩功能障碍。脾切除术的野生型小鼠、Rag1 基因敲除小鼠和 T 细胞耗竭的 DEREG 小鼠中未观察到治疗效果。相反,将来自 POL5551 治疗的 DEREG 小鼠梗死的脾 T 细胞移植到梗死的脾切除术野生型小鼠中,可将治疗效果转移到梗死的脾切除术野生型小鼠中。梗死预先致敏的树突状细胞提供的指令性线索是 POL5551 治疗效果所必需的。POL5551 注射将 T 细胞动员到外周血中,随后增强 T 细胞在梗死区的聚集。中性粒细胞、单核细胞和淋巴细胞表现出相似的动员动力学,但它们在心脏中的募集不受影响。然而,POL5551 通过 T 细胞减弱了梗死区单核细胞和巨噬细胞中的炎症基因表达。临床阶段 POL5551 类似物 POL6326 的静脉输注(4、6、8 和 10 天,3mg/kg)可减少猪的梗死体积并提高左心室射血分数。

结论

这些数据证实 CXCR4 阻断是 MI 后一种有前途的治疗策略。我们确定树突状细胞致敏的脾 T 细胞是这些治疗效果的核心裁决者,从而阐明了一种通过增强体内 T 细胞功能来促进梗死修复的药理学策略。

https://cdn.ncbi.nlm.nih.gov/pmc/blobs/847b/6467561/ffc2a7564a60/cir-139-1798-g001.jpg

文献AI研究员

20分钟写一篇综述,助力文献阅读效率提升50倍。

立即体验

用中文搜PubMed

大模型驱动的PubMed中文搜索引擎

马上搜索

文档翻译

学术文献翻译模型,支持多种主流文档格式。

立即体验