Suppr超能文献

转录因子 EB 的激活通过使结蛋白定位正常化来挽救晚期 αB-晶体蛋白突变诱导的心肌病。

Transcription Factor EB Activation Rescues Advanced αB-Crystallin Mutation-Induced Cardiomyopathy by Normalizing Desmin Localization.

机构信息

1 Center for Cardiovascular Research and Division of Cardiology Department of Internal Medicine Washington University School of Medicine St Louis MO.

2 Medical Service John Cochran Veterans Affairs Medical Center St Louis MO.

出版信息

J Am Heart Assoc. 2019 Feb 19;8(4):e010866. doi: 10.1161/JAHA.118.010866.

Abstract

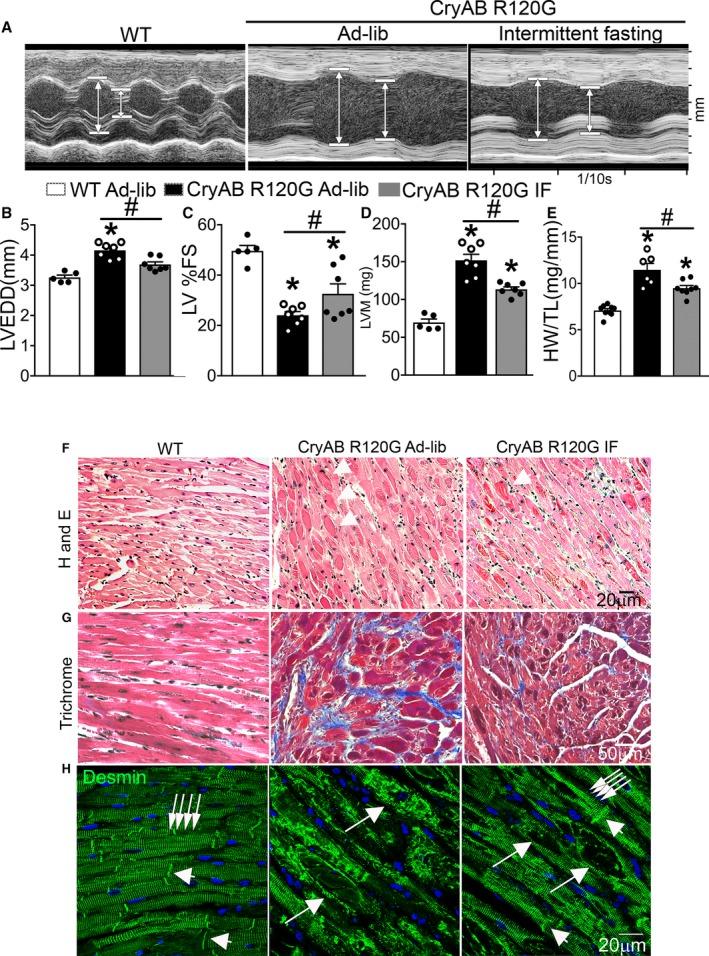
Background Mutations in αB-crystallin result in proteotoxic cardiomyopathy with desmin mislocalization to protein aggregates. Intermittent fasting ( IF ) is a novel approach to activate transcription factor EB (TFEB), a master regulator of the autophagy-lysosomal pathway, in the myocardium. We tested whether TFEB activation can be harnessed to treat advanced proteotoxic cardiomyopathy. Methods and Results Mice overexpressing the R120G mutant of αB-crystallin in cardiomyocytes ( Myh6-Cry ABR 120G) were subjected to IF or ad-lib feeding, or transduced with adeno-associated virus- TFEB or adeno-associated virus-green fluorescent protein after development of advanced proteotoxic cardiomyopathy. Adeno-associated virus-short hairpin RNA-mediated knockdown of TFEB and HSPB 8 was performed simultaneously with IF . Myh6-Cry ABR 120G mice demonstrated impaired autophagic flux, reduced lysosome abundance, and mammalian target of rapamycin activation in the myocardium. IF resulted in mammalian target of rapamycin inhibition and nuclear translocation of TFEB with restored lysosome abundance and autophagic flux; and reduced aggregates with normalized desmin localization. IF also attenuated left ventricular dilation and myocardial hypertrophy, increased percentage fractional shortening, and increased survival. Adeno-associated virus- TFEB transduction was sufficient to rescue cardiomyopathic manifestations, and resulted in reduced aggregates and normalized desmin localization in Myh6-Cry ABR 120G mice. Cry ABR 120G-expressing hearts demonstrated increased interaction of desmin with αB-crystallin and reduced interaction with chaperone protein, HSPB 8, compared with wild type, which was reversed by both IF and TFEB transduction. TFEB stimulated autophagic flux to remove protein aggregates and transcriptionally upregulated HSPB 8, to restore normal desmin localization in Cry ABR 120G-expressing cardiomyocytes. Short hairpin RNA-mediated knockdown of TFEB and HSPB 8 abrogated IF effects, in vivo. Conclusions IF and TFEB activation are clinically relevant therapeutic strategies to rescue advanced R120G αB-crystallin mutant-induced cardiomyopathy by normalizing desmin localization via autophagy-dependent and autophagy-independent mechanisms.

摘要

背景

αB-晶体蛋白的突变导致具有结蛋白向蛋白聚集体错位的蛋白毒性心肌病。间歇性禁食(IF)是一种激活心肌中转录因子 EB(TFEB)的新方法,TFEB 是自噬溶酶体途径的主要调节因子。我们测试了 TFEB 的激活是否可以用于治疗晚期蛋白毒性心肌病。

方法和结果

在心肌细胞中过表达 αB-晶体蛋白 R120G 突变体的小鼠(Myh6-CryABR120G)在发展为晚期蛋白毒性心肌病后接受 IF 或随意喂养,或转导腺相关病毒-TFEB 或腺相关病毒-绿色荧光蛋白。同时进行 IF 和腺相关病毒短发夹 RNA 介导的 TFEB 和 HSPB8 的敲低。Myh6-CryABR120G 小鼠的心肌中自噬流受损,溶酶体丰度降低,雷帕霉素靶蛋白(mTOR)激活。IF 导致 mTOR 抑制和 TFEB 的核易位,同时恢复溶酶体丰度和自噬流;并减少聚集体,使结蛋白正常定位。IF 还可减轻左心室扩张和心肌肥厚,增加百分比较短,提高存活率。腺相关病毒-TFEB 的转导足以挽救心肌病表现,并减少 Myh6-CryABR120G 小鼠中的聚集体和正常的结蛋白定位。与野生型相比,CryABR120G 表达的心脏中结蛋白与 αB-晶体蛋白的相互作用增加,与伴侣蛋白 HSPB8 的相互作用减少,IF 和 TFEB 转导均可逆转这种情况。TFEB 刺激自噬流以去除蛋白聚集体,并转录上调 HSPB8,以恢复 CryABR120G 表达的心肌细胞中正常的结蛋白定位。短发夹 RNA 介导的 TFEB 和 HSPB8 的敲低在体内消除了 IF 的作用。

结论

IF 和 TFEB 的激活是通过自噬依赖和非依赖机制来纠正结蛋白定位,从而对晚期 R120GαB-晶体蛋白突变诱导的心肌病进行有临床意义的治疗策略。

https://cdn.ncbi.nlm.nih.gov/pmc/blobs/d8e6/6405666/b20e2e52fa28/JAH3-8-e010866-g001.jpg

文献AI研究员

20分钟写一篇综述,助力文献阅读效率提升50倍。

立即体验

用中文搜PubMed

大模型驱动的PubMed中文搜索引擎

马上搜索

文档翻译

学术文献翻译模型,支持多种主流文档格式。

立即体验