Suppr超能文献

一例以乳糜泻危象为表现的乳糜泻:罕见且危及生命的表现。

A case of celiac disease presenting with celiac crisis: rare and life threatening presentation.

作者信息

Poudyal Rakshya, Lohani Saroj, Kimmel William B

机构信息

Department of Internal Medicine, Kathmandu Medical College, Kathmandu, Nepal.

Department of Hospitalist Medicine, Tower Health System, West Reading, PA, USA.

出版信息

J Community Hosp Intern Med Perspect. 2019 Feb 11;9(1):22-24. doi: 10.1080/20009666.2019.1571883. eCollection 2019.

Abstract

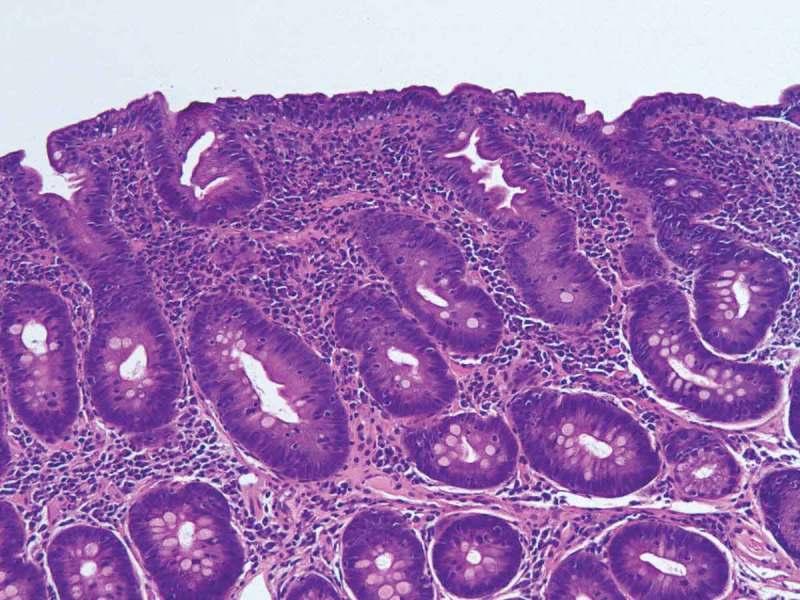
A 20 year old male with past medical history of Type 1 Diabetes and Hypothyroidism presented to our hospital with severe hypocalcemia. His calcium was 5.8 mg/dl (normal range 8.6-10.3 mg/dl). He had been complaining of generalized weakness for weeks. Vital signs were within normal limits. Physical exam was significant for positive Chvostek sign. Other labs revealed low magnesium, low potassium, low vitamin D, low albumin, metabolic acidosis and low ferritin. He was started on supplements. Tissue transglutaminase antibody IgG was elevated. Upper gastrointestinal endoscopy showed scalloped and blunted duodenal mucosa. Duodenal biopsy showed villous blunting with intraepithelial lymphocytosis suggestive of celiac disease. He was started on gluten free diet. His symptoms improved and he was discharged home. Celiac disease can present in fulminant form with hemodynamic instability and is called celiac crisis. Celiac crisis is usually manifested by severe gastrointestinal manifestations, hypoproteinemia and metabolic and electrolyte disturbances requiring hospitalization. It is diagnosed by criteria proposed by Jamma et al. Celiac crisis is a rare presentation of celiac disease and is associated with high morbidity and mortality. Most of the cases respond to gluten withdrawal and nutritional suport and few require steroids. Type 1 DM -Type 1 Diabetes Mellitus.

摘要

一名20岁男性,有1型糖尿病和甲状腺功能减退病史,因严重低钙血症入住我院。他的血钙为5.8mg/dl(正常范围8.6 - 10.3mg/dl)。他数周来一直诉说全身无力。生命体征在正常范围内。体格检查发现Chvostek征阳性。其他实验室检查显示低镁、低钾、低维生素D、低白蛋白、代谢性酸中毒和低铁蛋白。他开始接受补充治疗。组织转谷氨酰胺酶抗体IgG升高。上消化道内镜检查显示十二指肠黏膜呈扇贝样改变且变钝。十二指肠活检显示绒毛变钝伴上皮内淋巴细胞增多,提示乳糜泻。他开始接受无麸质饮食。他的症状有所改善,随后出院。乳糜泻可呈暴发性形式伴血流动力学不稳定,称为乳糜泻危象。乳糜泻危象通常表现为严重的胃肠道症状、低蛋白血症以及需要住院治疗的代谢和电解质紊乱。它根据Jamma等人提出的标准进行诊断。乳糜泻危象是乳糜泻的一种罕见表现,与高发病率和死亡率相关。大多数病例对去除麸质和营养支持有反应,少数需要使用类固醇。1型DM - 1型糖尿病。

https://cdn.ncbi.nlm.nih.gov/pmc/blobs/dadf/6374975/05ad0241dcba/ZJCH_A_1571883_F0001_OC.jpg

文献AI研究员

20分钟写一篇综述,助力文献阅读效率提升50倍。

立即体验

用中文搜PubMed

大模型驱动的PubMed中文搜索引擎

马上搜索

文档翻译

学术文献翻译模型,支持多种主流文档格式。

立即体验