Suppr超能文献

原发性和继发性小头畸形的表型谱和遗传特征阐明。

Elucidation of the phenotypic spectrum and genetic landscape in primary and secondary microcephaly.

机构信息

Institute of Medical Genetics, University of Zurich, Schlieren, Zurich, Switzerland.

FRIGE's Institute of Human Genetics, FRIGE House, Satellite, Ahmedabad, India.

出版信息

Genet Med. 2019 Sep;21(9):2043-2058. doi: 10.1038/s41436-019-0464-7. Epub 2019 Mar 7.

Abstract

PURPOSE

Microcephaly is a sign of many genetic conditions but has been rarely systematically evaluated. We therefore comprehensively studied the clinical and genetic landscape of an unselected cohort of patients with microcephaly.

METHODS

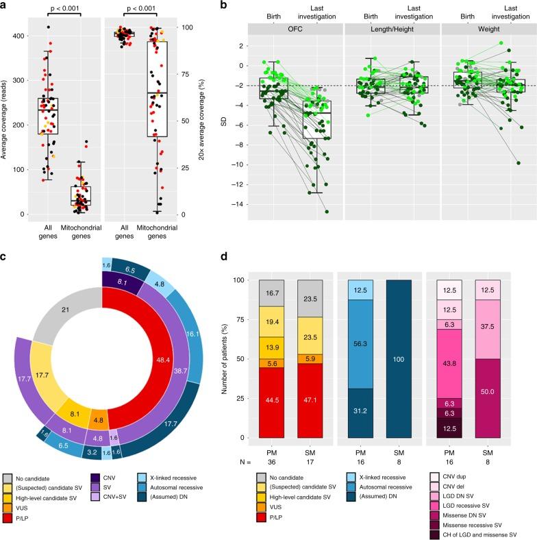
We performed clinical assessment, high-resolution chromosomal microarray analysis, exome sequencing, and functional studies in 62 patients (58% with primary microcephaly [PM], 27% with secondary microcephaly [SM], and 15% of unknown onset).

RESULTS

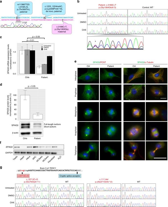
We found severity of developmental delay/intellectual disability correlating with severity of microcephaly in PM, but not SM. We detected causative variants in 48.4% of patients and found divergent inheritance and variant pattern for PM (mainly recessive and likely gene-disrupting [LGD]) versus SM (all dominant de novo and evenly LGD or missense). While centrosome-related pathways were solely identified in PM, transcriptional regulation was the most frequently affected pathway in both SM and PM. Unexpectedly, we found causative variants in different mitochondria-related genes accounting for ~5% of patients, which emphasizes their role even in syndromic PM. Additionally, we delineated novel candidate genes involved in centrosome-related pathway (SPAG5, TEDC1), Wnt signaling (VPS26A, ZNRF3), and RNA trafficking (DDX1).

CONCLUSION

Our findings enable improved evaluation and genetic counseling of PM and SM patients and further elucidate microcephaly pathways.

摘要

目的

小头症是许多遗传疾病的一个表现,但很少有系统地进行评估。因此,我们全面研究了一组未经选择的小头症患者的临床和遗传特征。

方法

我们对 62 名患者(58%为原发性小头症[PM],27%为继发性小头症[SM],15%病因不明)进行了临床评估、高分辨率染色体微阵列分析、外显子组测序和功能研究。

结果

我们发现 PM 患者的发育迟缓/智力残疾严重程度与小头症严重程度相关,但 SM 患者无此相关性。我们在 48.4%的患者中检测到了致病变异,发现 PM 的遗传方式和变异模式存在差异(主要为隐性且可能导致基因失活[LGD]),而 SM 均为显性新生且 LGD 或错义变异均等发生。虽然中心体相关通路仅在 PM 中被发现,但转录调控是 SM 和 PM 中受影响最频繁的通路。出乎意料的是,我们在不同的与线粒体相关的基因中发现了导致小头症的变异,占所有患者的约 5%,这强调了即使在综合征性 PM 中它们也具有重要作用。此外,我们还确定了与中心体相关通路(SPAG5、TEDC1)、Wnt 信号通路(VPS26A、ZNRF3)和 RNA 转运(DDX1)相关的新的候选基因。

结论

我们的研究结果为 PM 和 SM 患者的评估和遗传咨询提供了更优的方案,并进一步阐明了小头症的发生机制。

https://cdn.ncbi.nlm.nih.gov/pmc/blobs/ae07/6752480/991a04e65d55/41436_2019_464_Fig1_HTML.jpg

文献AI研究员

20分钟写一篇综述,助力文献阅读效率提升50倍。

立即体验

用中文搜PubMed

大模型驱动的PubMed中文搜索引擎

马上搜索

文档翻译

学术文献翻译模型,支持多种主流文档格式。

立即体验