Suppr超能文献

在老年受试者中,HTRA1 和 NOTCH3 变异与 MRI 定义的脑小血管疾病极端程度相关。

Association of variants in HTRA1 and NOTCH3 with MRI-defined extremes of cerebral small vessel disease in older subjects.

机构信息

University of Bordeaux, Inserm, Bordeaux Population Health Research Center, team VINTAGE, UMR 1219, F-33000 Bordeaux, France.

Centre for Brain Research, Indian Institute of Science, Bangalore, India.

出版信息

Brain. 2019 Apr 1;142(4):1009-1023. doi: 10.1093/brain/awz024.

Abstract

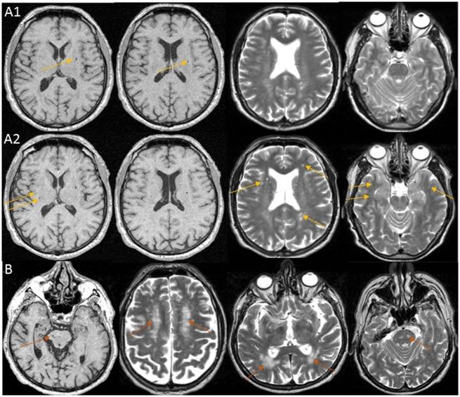
We report a composite extreme phenotype design using distribution of white matter hyperintensities and brain infarcts in a population-based cohort of older persons for gene-mapping of cerebral small vessel disease. We demonstrate its application in the 3C-Dijon whole exome sequencing (WES) study (n = 1924, nWESextremes = 512), with both single variant and gene-based association tests. We used other population-based cohort studies participating in the CHARGE consortium for replication, using whole exome sequencing (nWES = 2,868, nWESextremes = 956) and genome-wide genotypes (nGW = 9924, nGWextremes = 3308). We restricted our study to candidate genes known to harbour mutations for Mendelian small vessel disease: NOTCH3, HTRA1, COL4A1, COL4A2 and TREX1. We identified significant associations of a common intronic variant in HTRA1, rs2293871 using single variant association testing (Pdiscovery = 8.21 × 10-5, Preplication = 5.25 × 10-3, Pcombined = 4.72 × 10-5) and of NOTCH3 using gene-based tests (Pdiscovery = 1.61 × 10-2, Preplication = 3.99 × 10-2, Pcombined = 5.31 × 10-3). Follow-up analysis identified significant association of rs2293871 with small vessel ischaemic stroke, and two blood expression quantitative trait loci of HTRA1 in linkage disequilibrium. Additionally, we identified two participants in the 3C-Dijon cohort (0.4%) carrying heterozygote genotypes at known pathogenic variants for familial small vessel disease within NOTCH3 and HTRA1. In conclusion, our proof-of-concept study provides strong evidence that using a novel composite MRI-derived phenotype for extremes of small vessel disease can facilitate the identification of genetic variants underlying small vessel disease, both common variants and those with rare and low frequency. The findings demonstrate shared mechanisms and a continuum between genes underlying Mendelian small vessel disease and those contributing to the common, multifactorial form of the disease.

摘要

我们报告了一种基于人群的老年人队列的脑白质高信号和脑梗死分布的复合极端表型设计,用于大脑小血管疾病的基因定位。我们展示了它在 3C-第戎全外显子组测序(WES)研究(n = 1924,nWESextremes = 512)中的应用,包括单变体和基于基因的关联测试。我们使用参与 CHARGE 联盟的其他基于人群的队列研究进行复制,使用全外显子组测序(nWES = 2,868,nWESextremes = 956)和全基因组基因型(nGW = 9924,nGWextremes = 3308)。我们将研究限制在已知携带孟德尔小血管疾病突变的候选基因中:NOTCH3、HTRA1、COL4A1、COL4A2 和 TREX1。我们使用单变体关联测试发现 HTRA1 中的一个常见内含子变体 rs2293871 具有显著关联(Pdiscovery = 8.21 × 10-5,Preplication = 5.25 × 10-3,Pcombined = 4.72 × 10-5),并使用基于基因的测试发现 NOTCH3 具有显著关联(Pdiscovery = 1.61 × 10-2,Preplication = 3.99 × 10-2,Pcombined = 5.31 × 10-3)。后续分析确定 rs2293871 与小血管缺血性卒中显著相关,以及与 HTRA1 连锁不平衡的两个血液表达数量性状基因座。此外,我们在 3C-第戎队列中发现了两名参与者(0.4%)携带 NOTCH3 和 HTRA1 中家族性小血管疾病已知致病性变异的杂合基因型。总之,我们的概念验证研究提供了强有力的证据,表明使用新型复合 MRI 衍生表型来研究小血管疾病的极端情况可以促进鉴定小血管疾病的遗传变异,包括常见变异和罕见和低频变异。这些发现表明孟德尔小血管疾病相关基因与导致常见多因素疾病的基因之间存在共同机制和连续体。

https://cdn.ncbi.nlm.nih.gov/pmc/blobs/eed9/6439324/80b89f237a9f/awz024f1.jpg

文献AI研究员

20分钟写一篇综述,助力文献阅读效率提升50倍。

立即体验

用中文搜PubMed

大模型驱动的PubMed中文搜索引擎

马上搜索

文档翻译

学术文献翻译模型,支持多种主流文档格式。

立即体验