Suppr超能文献

癌细胞与肿瘤相关巨噬细胞之间的串扰对于间质循环肿瘤细胞介导的结直肠癌转移是必需的。

Crosstalk between cancer cells and tumor associated macrophages is required for mesenchymal circulating tumor cell-mediated colorectal cancer metastasis.

机构信息

Department of Gastrointestinal Surgery & Department of Gastric and Colorectal Surgical Oncology, Zhongnan Hospital of Wuhan University, Wuhan, China.

Hubei Key Laboratory of Tumor Biological Behaviors, Wuhan, China.

出版信息

Mol Cancer. 2019 Mar 30;18(1):64. doi: 10.1186/s12943-019-0976-4.

Abstract

BACKGROUND

Tumor-associated macrophages (TAMs) are major components of tumor microenvironment that frequently associated with tumor metastasis in human cancers. Circulating tumor cell (CTC), originating from primary tumor sites, is considered to be the precursors of tumor metastasis. However, the regulatory mechanism of TAMs in CTC-mediated tumor metastasis still remains unclear.

METHODS

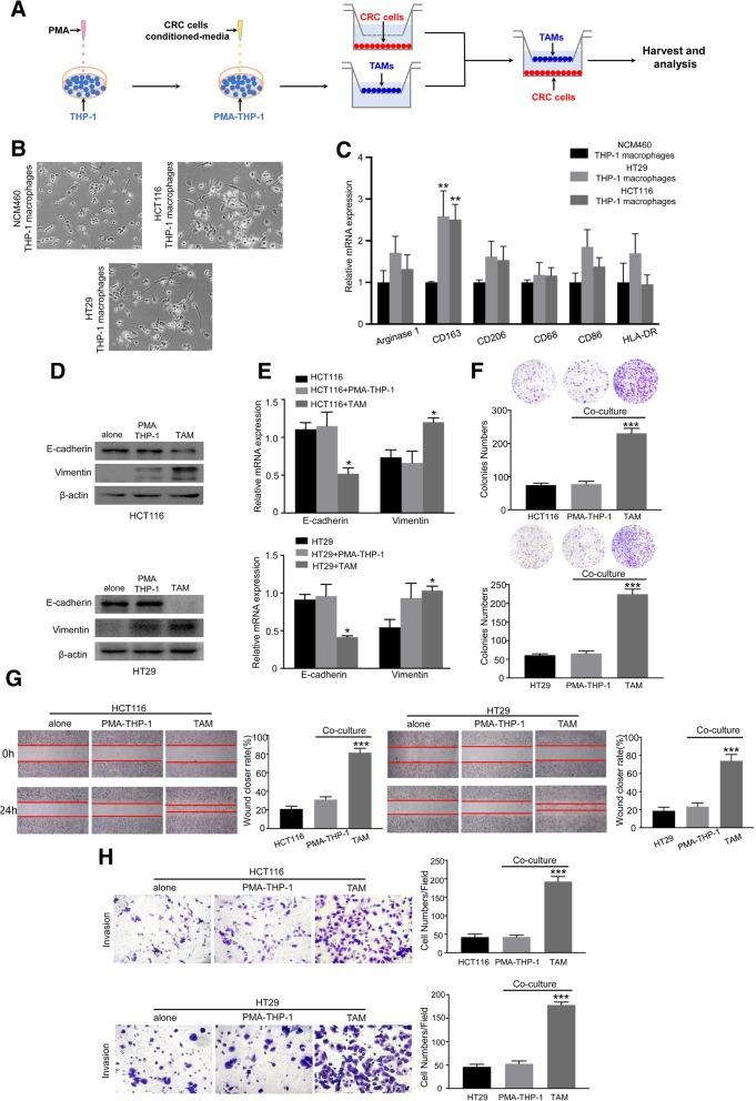
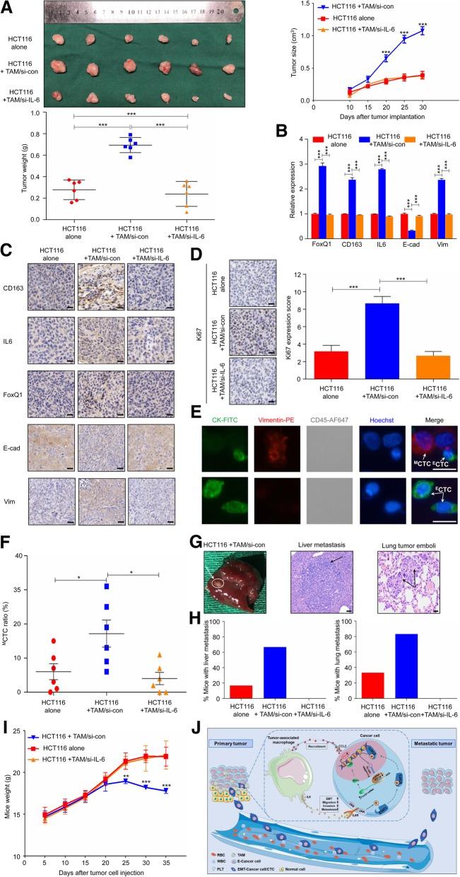
Immunohistochemical staining was used to detect the macrophages infiltration (CD68 and CD163), epithelial-mesenchymal transition (EMT) markers (E-cadherin and Vimentin) expression in serial sections of human colorectal cancer (CRC) specimens. Then, the correlations between macrophages infiltration and clinicopathologic features, mesenchymal CTC ratio, and patients' prognosis were analyzed. A co-culture assay in vitro was used to evaluate the role of TAMs on CRC EMT, migration and invasion, and ELISA, luciferase reporter assay and CHIP were performed to uncover the underlying mechanism. Furthermore, an in vivo model was carried out to confirm the effect of TAMs on mesenchymal CTC-mediated metastasis.

RESULTS

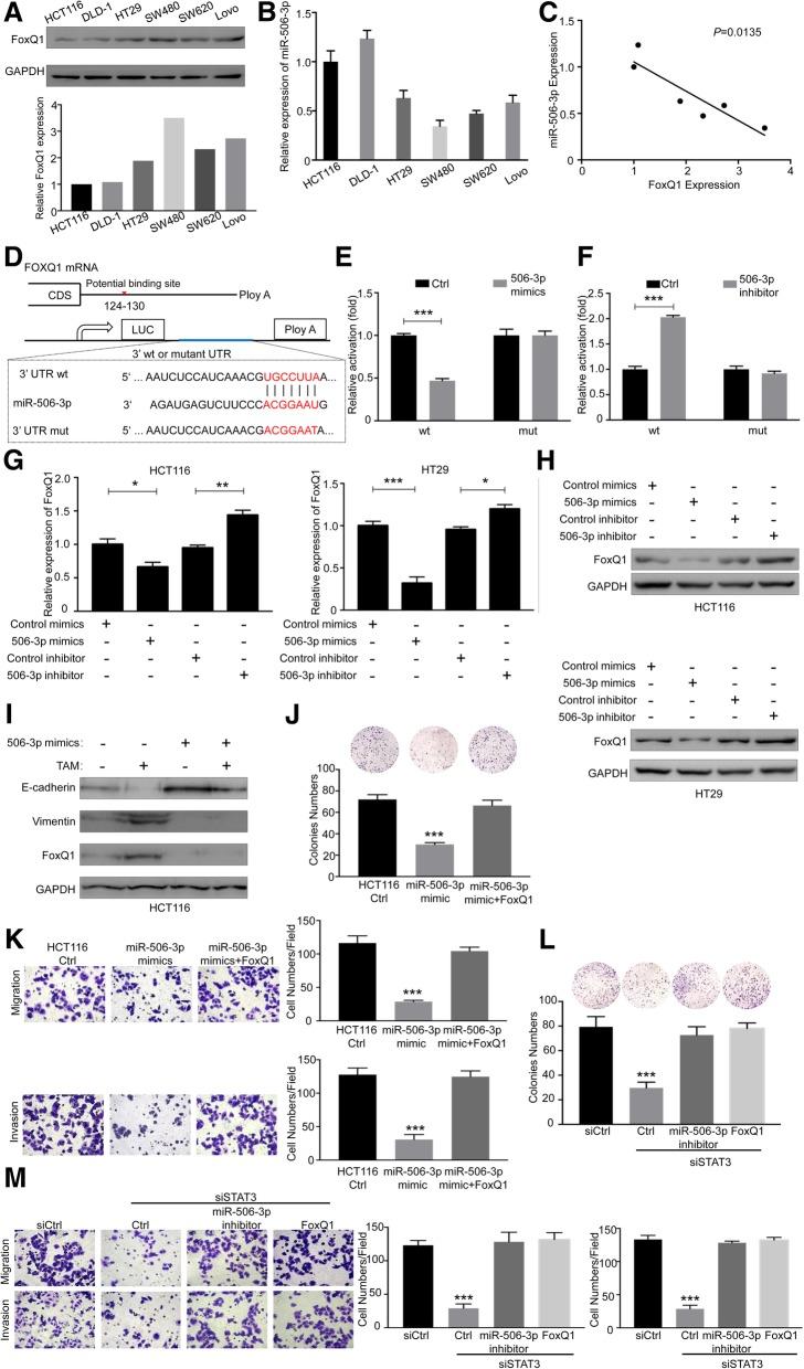
Clinically, CD163 TAMs infiltrated in invasive front was associated with EMT, mesenchymal CTC ratio, and poor prognosis in patients with CRC. CRC-conditioned macrophages regulated EMT program to enhance CRC cells migration and invasion by secreting IL6. TAMs-derived IL6 activated the JAK2/STAT3 pathway, and activated STAT3 transcriptionally inhibited the tumor suppressor miR-506-3p in CRC cells. miR-506-3p, a key miRNA regulating FoxQ1, was downregulated in CRC cells, resulting in increased FoxQ1 expression, which in turn led to the production of CCL2 that promoted macrophage recruitment. Inhibition of CCL2 or IL6 broke this loop and reduced macrophage migration and mesenchymal CTC-mediated metastasis, respectively.

CONCLUSIONS

Our data indicates that TAMs induce EMT program to enhance CRC migration, invasion, and CTC-mediated metastasis by regulating the JAK2/STAT3/miR-506-3p/FoxQ1 axis, which in turn leads to the production of CCL2 that promote macrophage recruitment, revealing a new cross-talk between immune cells and tumor cells in CRC microenvironment.

摘要

背景

肿瘤相关巨噬细胞(TAMs)是肿瘤微环境的主要组成部分,常与人类癌症的肿瘤转移有关。循环肿瘤细胞(CTC)来源于原发性肿瘤部位,被认为是肿瘤转移的前体。然而,TAMs 在 CTC 介导的肿瘤转移中的调节机制尚不清楚。

方法

免疫组织化学染色用于检测人结直肠癌(CRC)标本连续切片中巨噬细胞浸润(CD68 和 CD163)、上皮-间充质转化(EMT)标志物(E-钙粘蛋白和波形蛋白)的表达。然后,分析巨噬细胞浸润与临床病理特征、间质 CTC 比例和患者预后的相关性。体外共培养实验评估 TAMs 对 CRC EMT、迁移和侵袭的作用,采用 ELISA、荧光素酶报告基因检测和 CHIP 实验揭示潜在机制。此外,进行体内模型实验以确认 TAMs 对间质 CTC 介导的转移的影响。

结果

临床上,浸润在侵袭前沿的 CD163 TAMs 与 EMT、间质 CTC 比例和 CRC 患者的不良预后相关。CRC 条件性巨噬细胞通过分泌 IL6 调节 EMT 程序,增强 CRC 细胞的迁移和侵袭。TAMs 衍生的 IL6 激活了 JAK2/STAT3 通路,并转录抑制 CRC 细胞中的肿瘤抑制 miR-506-3p。miR-506-3p 是调节 FoxQ1 的关键 miRNA,在 CRC 细胞中下调,导致 FoxQ1 表达增加,进而导致 CCL2 的产生,促进巨噬细胞募集。CCL2 或 IL6 的抑制打破了这个循环,分别减少了巨噬细胞迁移和间质 CTC 介导的转移。

结论

我们的数据表明,TAMs 通过调节 JAK2/STAT3/miR-506-3p/FoxQ1 轴诱导 EMT 程序,增强 CRC 迁移、侵袭和 CTC 介导的转移,进而导致 CCL2 的产生,促进巨噬细胞募集,揭示了 CRC 微环境中免疫细胞和肿瘤细胞之间的新串扰。

https://cdn.ncbi.nlm.nih.gov/pmc/blobs/bb95/6441214/086b950253c8/12943_2019_976_Fig1_HTML.jpg

文献AI研究员

20分钟写一篇综述,助力文献阅读效率提升50倍。

立即体验

用中文搜PubMed

大模型驱动的PubMed中文搜索引擎

马上搜索

文档翻译

学术文献翻译模型,支持多种主流文档格式。

立即体验