Suppr超能文献

一种新的进化保守的 RNA 稳定性调控机制,调节在性决定阶段之前的鱼类原始生殖细胞特异性基因的同步表达。

A novel evolutionary conserved mechanism of RNA stability regulates synexpression of primordial germ cell-specific genes prior to the sex-determination stage in medaka.

机构信息

INRA, UR1037 Fish Physiology and Genomics, Rennes, France.

University of Wuerzburg, Physiological Chemistry, Biocenter, Wuerzburg, Germany.

出版信息

PLoS Biol. 2019 Apr 4;17(4):e3000185. doi: 10.1371/journal.pbio.3000185. eCollection 2019 Apr.

Abstract

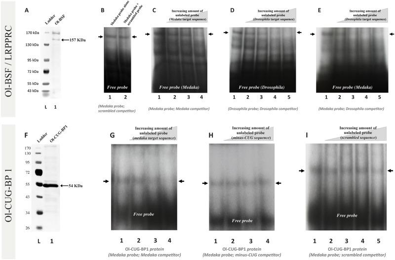
Dmrt1 is a highly conserved transcription factor, which is critically involved in regulation of gonad development of vertebrates. In medaka, a duplicate of dmrt1-acting as master sex-determining gene-has a tightly timely and spatially controlled gonadal expression pattern. In addition to transcriptional regulation, a sequence motif in the 3' UTR (D3U-box) mediates transcript stability of dmrt1 mRNAs from medaka and other vertebrates. We show here that in medaka, two RNA-binding proteins with antagonizing properties target this D3U-box, promoting either RNA stabilization in germ cells or degradation in the soma. The D3U-box is also conserved in other germ-cell transcripts, making them responsive to the same RNA binding proteins. The evolutionary conservation of the D3U-box motif within dmrt1 genes of metazoans-together with preserved expression patterns of the targeting RNA binding proteins in subsets of germ cells-suggest that this new mechanism for controlling RNA stability is not restricted to fishes but might also apply to other vertebrates.

摘要

Dmrt1 是一种高度保守的转录因子,对于脊椎动物的性腺发育具有重要的调控作用。在日本青鳉中,dmrt1 的一个复制品——作为主要的性别决定基因——具有严格的时间和空间控制的性腺表达模式。除了转录调控外,3'UTR 中的一个序列基序(D3U 盒)介导了来自日本青鳉和其他脊椎动物的 dmrt1 mRNA 的转录本稳定性。我们在这里表明,在日本青鳉中,两种具有拮抗特性的 RNA 结合蛋白靶向该 D3U 盒,促进生殖细胞中的 RNA 稳定或体细胞中的 RNA 降解。D3U 盒在其他生殖细胞转录本中也保守,使它们对相同的 RNA 结合蛋白有反应。多细胞动物 dmrt1 基因中的 D3U 盒基序的进化保守性——以及靶向 RNA 结合蛋白在生殖细胞亚群中的保存表达模式——表明这种控制 RNA 稳定性的新机制不仅局限于鱼类,也可能适用于其他脊椎动物。

https://cdn.ncbi.nlm.nih.gov/pmc/blobs/9ac8/6448818/3a1ddda1e94a/pbio.3000185.g001.jpg

文献AI研究员

20分钟写一篇综述,助力文献阅读效率提升50倍。

立即体验

用中文搜PubMed

大模型驱动的PubMed中文搜索引擎

马上搜索

文档翻译

学术文献翻译模型,支持多种主流文档格式。

立即体验