Suppr超能文献

大气压等离子体经口腔黏膜给药在小鼠中的副作用。

Side effects by oral application of atmospheric pressure plasma on the mucosa in mice.

机构信息

Unit of Periodontology, Department of Restorative Dentistry, Periodontology, Endodontology, Preventive Dentistry and Pedodontics, Dental School, University Medicine Greifswald, Greifswald, Germany.

Leibniz Institute of Surface Engineering (IOM), Leipzig, Germany.

出版信息

PLoS One. 2019 Apr 9;14(4):e0215099. doi: 10.1371/journal.pone.0215099. eCollection 2019.

Abstract

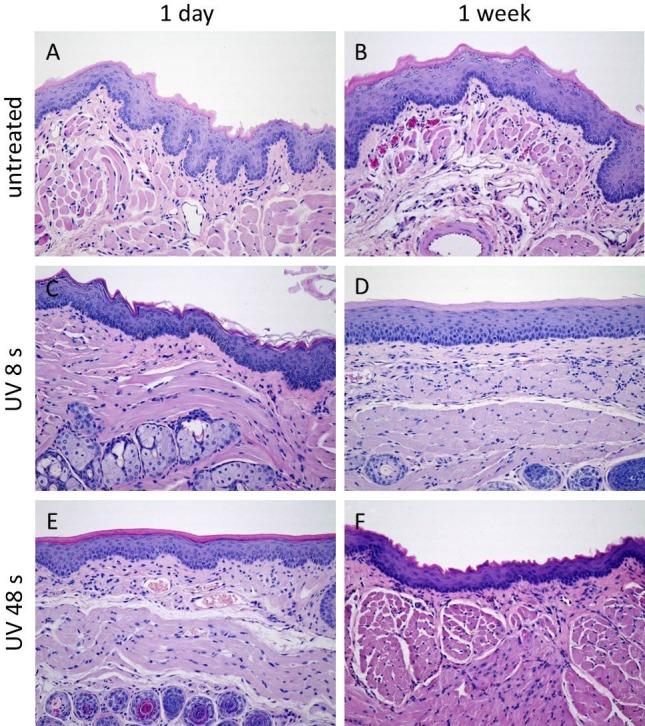
Cold atmospheric pressure plasma (CAP) has been investigated with promising results for peri-implant diseases treatment. However, prior to in-vivo applications of CAP sources in humans, short-term harmful mucosal damage or other unwanted side effects have to be reviewed. 180 male mice (B6C3F1) were divided into twelve treatment groups (n = 15). The right buccal cheek mucosa was treated with CAP. The first and second group each received continuous 10 sec irradiation with 2 different plasma sources (kINPen09, PS-MWM). The third group was treated with the kINPen09 for one minute. Control groups were treated with a corresponding dose of ultraviolet light for 8 seconds or 48 seconds and the other one was left untreated. The animals were weighed before and after treatment. The animals were sacrificed one day or one week after exposure. Stained tissue samples were histologically examined for tissue damage independently by two experienced pathologists. One day after CAP treatment histological analysis showed focal mucosal erosion with superficial ulceration and necrosis accompanied by a mild inflammatory reaction. One week after CAP treatment, the mucosal defects were completely re-epithelialized, associated with remnants of granulation tissue in the stroma irrespective of treatment duration. Furthermore, no cytological atypia was found and no severe weight loss occurred. The control groups did not show any alterations at all. CAP treatment led to a superficial mucosal damage that healed within few days. Nonetheless, further long-term experiments are necessary to exclude undesirable side effects after longer observation time. Particularly, potential carcinogenic effects must be ruled out prior to the application of CAP treatment in daily dental practice.

摘要

冷等离体大气压等离子体(CAP)在治疗种植体周围疾病方面的研究取得了可喜的成果。然而,在将 CAP 源应用于人体之前,必须对其短期的有害黏膜损伤或其他不良副作用进行评估。180 只雄性小鼠(B6C3F1)被分为 12 个治疗组(n = 15)。右侧颊黏膜接受 CAP 治疗。第一和第二组各接受 2 种不同等离子体源(kINPen09、PS-MWM)的连续 10 秒照射。第三组接受 kINPen09 照射一分钟。对照组接受相应剂量的紫外线照射 8 秒或 48 秒,另一组不作处理。治疗前后对动物进行称重。暴露后一天或一周处死动物。用苏木精和伊红染色组织样本,由两名经验丰富的病理学家独立进行组织损伤的组织学检查。CAP 治疗后一天,组织学分析显示黏膜局灶性侵蚀伴浅表溃疡和坏死,伴有轻度炎症反应。CAP 治疗后一周,黏膜缺损完全上皮化,间质内有肉芽组织残留,无论治疗时间长短均如此。此外,未发现细胞学异型性,也未出现严重体重减轻。对照组根本没有任何变化。CAP 治疗导致了浅表性黏膜损伤,在几天内就愈合了。然而,需要进一步的长期实验来排除更长观察时间后的不良副作用。特别是在将 CAP 治疗应用于日常牙科实践之前,必须排除潜在的致癌作用。

https://cdn.ncbi.nlm.nih.gov/pmc/blobs/96af/6456225/ec0e9ed9d3e7/pone.0215099.g001.jpg

文献AI研究员

20分钟写一篇综述,助力文献阅读效率提升50倍。

立即体验

用中文搜PubMed

大模型驱动的PubMed中文搜索引擎

马上搜索

文档翻译

学术文献翻译模型,支持多种主流文档格式。

立即体验