Suppr超能文献

BRAF 免疫组化预测中度厚度黑色素瘤中的前哨淋巴结受累。

BRAF immunohistochemistry predicts sentinel lymph node involvement in intermediate thickness melanomas.

机构信息

Department of Plastic Surgery, University of Helsinki and Helsinki University Hospital, Helsinki, Finland.

Institute of Biomedicine, Research Center for Cancer, Infections and Immunity, University of Turku and Turku University Hospital, Turku, Finland.

出版信息

PLoS One. 2019 Apr 30;14(4):e0216043. doi: 10.1371/journal.pone.0216043. eCollection 2019.

Abstract

BACKGROUND

Sentinel node biopsy (SNB) is an important step in melanoma staging and prognostication. It is commonly performed for patients with intermediate thickness melanomas, based on clinicopathological features. However, only 20-25% of patients eventually demonstrate nodal involvement. The aim of this study was to evaluate whether tissue biomarkers with links to melanoma biology, together with clinicopathological parameters, could aid in the prediction of sentinel node involvement and improve selection of patients for SNB. In addition, we examined the role of these clinical or biological markers in disease outcome.

METHODS

We collected a case-control cohort of 140 intermediate thickness (Breslow 0,9-4,0mm) melanoma patients with or without SNB involvement matched for age, gender, Breslow thickness and location. From this cohort, we tested the predictive value of common clinicopathological parameters (ulceration, mitotic count and tumor regression) and FMNL-2, ezrin and BRAF V600E immunoreactivity, for sentinel node involvement and survival. We further analyzed the correlations in the superficial spreading melanoma subtype.

RESULTS

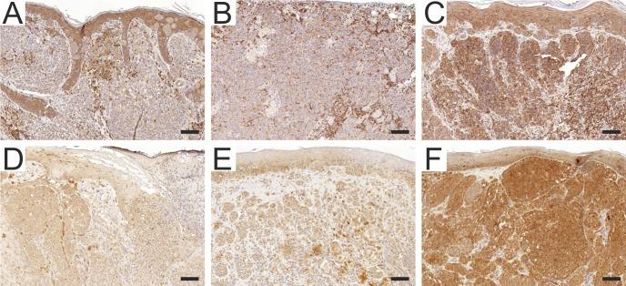
Based on our case control analysis, of the markers, BRAF V600E status (p = 0.010) and mitotic count (p = 0.036) correlated with SNB involvement. SNB status was a strong independent prognosticator for recurrence free survival (RFS p<0.001), melanoma specific survival (MSS p = 0.000) and overall survival (OS p = 0.029). In the superficially spreading melanoma subgroup, BRAF V600E positivity indicated poorer RFS (p = 0.039) and OS (p = 0.012). By combining the Breslow thickness, mitotic count and BRAF immunohistochemistry, we identified a group of superficially spreading melanomas with an excellent survival probability independent of SNB status.

CONCLUSIONS

These results demonstrate that BRAF immunohistochemistry could serve as a useful addition to a marker panel for selecting intermediate thickness melanoma patients for SNB.

摘要

背景

前哨淋巴结活检(SNB)是黑色素瘤分期和预后的重要步骤。它通常基于临床病理特征,用于治疗中等厚度的黑色素瘤患者。然而,只有 20-25%的患者最终出现淋巴结受累。本研究旨在评估与黑色素瘤生物学相关的组织生物标志物与临床病理参数相结合,是否有助于预测前哨淋巴结受累,并改善 SNB 的患者选择。此外,我们还研究了这些临床或生物学标志物在疾病结局中的作用。

方法

我们收集了 140 例中等厚度(Breslow 0.9-4.0mm)黑色素瘤患者的病例对照队列,其中包括有或没有 SNB 受累的患者,这些患者的年龄、性别、Breslow 厚度和位置相匹配。在这个队列中,我们测试了常见的临床病理参数(溃疡、有丝分裂计数和肿瘤消退)和 FMNL-2、ezrin 和 BRAF V600E 免疫反应性对前哨淋巴结受累和生存的预测价值。我们进一步分析了浅表扩散性黑色素瘤亚型中的相关性。

结果

根据我们的病例对照分析,在这些标志物中,BRAF V600E 状态(p=0.010)和有丝分裂计数(p=0.036)与 SNB 受累相关。SNB 状态是无复发生存(RFS,p<0.001)、黑色素瘤特异性生存(MSS,p=0.000)和总生存(OS,p=0.029)的强有力的独立预后因素。在浅表扩散性黑色素瘤亚组中,BRAF V600E 阳性提示 RFS(p=0.039)和 OS(p=0.012)较差。通过结合 Breslow 厚度、有丝分裂计数和 BRAF 免疫组化,我们鉴定出一组浅表扩散性黑色素瘤,其生存概率极好,与 SNB 状态无关。

结论

这些结果表明,BRAF 免疫组化可以作为一种有用的标志物组合,用于选择中等厚度黑色素瘤患者进行 SNB。

https://cdn.ncbi.nlm.nih.gov/pmc/blobs/c06d/6490950/df857eaa231f/pone.0216043.g001.jpg

文献AI研究员

20分钟写一篇综述,助力文献阅读效率提升50倍。

立即体验

用中文搜PubMed

大模型驱动的PubMed中文搜索引擎

马上搜索

文档翻译

学术文献翻译模型,支持多种主流文档格式。

立即体验