Suppr超能文献

长链非编码RNA KCNQ1OT1通过靶向miR-34a/自噬相关蛋白4B(ATG4B)途径增强结肠癌对奥沙利铂的化疗耐药性。

lncRNA KCNQ1OT1 enhances the chemoresistance of oxaliplatin in colon cancer by targeting the miR-34a/ATG4B pathway.

作者信息

Li Yongchao, Li Changfeng, Li Dandan, Yang Lei, Jin Jingpeng, Zhang Bin

机构信息

Department of Gastrointestinal Surgery, China-Japan Union Hospital of Jilin University, Changchun, Jilin 130033, China.

Department of Endoscopy Center, China-Japan Union Hospital of Jilin University, Changchun, Jilin 130033, China,

出版信息

Onco Targets Ther. 2019 Apr 9;12:2649-2660. doi: 10.2147/OTT.S188054. eCollection 2019.

Abstract

PURPOSE

The chemoresistance of colon cancer to oxaliplatin (L-OHP) indicates poor prognosis. Long non-coding RNA (lncRNA) KCNQ1OT1 (KCNQ1 opposite strand/antisense transcript 1) has been shown to participate in the tumorigenesis of several types of cancers. However, little is known about the role of KCNQ1OT1 in the chemoresistance and prognosis of colon cancer.

MATERIALS AND METHODS

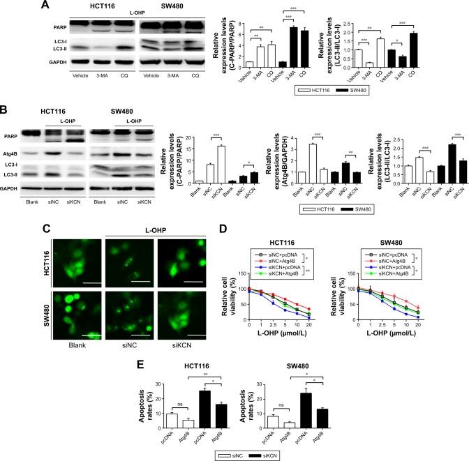
Quantitative-PCR and Western blot were used to measure the expression profiles of KCNQ1OT1, miR-34a, and Atg4B in colon cancer tissues and cells. Cell viability assay and flow cytometry were used to examine their effects on cell proliferation and death. Cleavage of LC3 and GFP-LC3 plasmid transfection were used to detect autophagic activity. Double luciferase reporter assay was used to verify the interactions between miRNA and lncRNA or mRNA. Xenograft tumor model was used to verify the effects of KCNQ1OT1 in vivo.

RESULTS

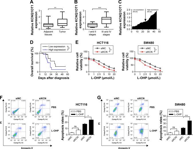
In this study, it is shown that the expression level of KCNQ1OT1 was increased in tumor, which indicated poor prognosis in colon cancer patients. Using colon cancer cell lines HCT116 and SW480, it was demonstrated that knockdown of KCNQ1OT1 decreased the cell viability and increased the apoptosis rates upon L-OHP treatment. Further studies indicated that Atg4B upregulation was partially responsible for KCNQ1OT1-induced protective autophagy and chemoresistance. Moreover, miR-34a functioned as a bridge between KCNQ1OT1 and Atg4B, which could be sponged by KCNQ1OT1, while it could also bind to the 3'-UTR of Atg4B and downregulate its expressions. Finally, we show that the KCNQ1OT1/miR-34a/Atg4B axis regulated the chemoresistance of colon cancer cells in vitro and in vivo.

CONCLUSION

lncRNA KCNQ1OT1 promoted the chemoresistance of colon cancer by sponging miR-34a, thus upregulating the expressions of Atg4B and enhancing protective autophagy. KCNQ1OT1 might become a promising target for colon cancer therapeutics.

摘要

目的

结肠癌对奥沙利铂(L-OHP)的化疗耐药性预示着预后不良。长链非编码RNA(lncRNA)KCNQ1OT1(KCNQ1反义转录本1)已被证明参与多种癌症的肿瘤发生过程。然而,KCNQ1OT1在结肠癌化疗耐药性及预后中的作用却鲜为人知。

材料与方法

采用定量聚合酶链反应(q-PCR)和蛋白质免疫印迹法检测结肠癌组织及细胞中KCNQ1OT1、miR-34a和自噬相关蛋白4B(Atg4B)的表达情况。运用细胞活力检测和流式细胞术检测它们对细胞增殖和死亡的影响。通过检测微管相关蛋白1轻链3(LC3)的切割及绿色荧光蛋白-LC3(GFP-LC3)质粒转染来检测自噬活性。采用双荧光素酶报告基因检测法验证微小RNA(miRNA)与lncRNA或信使核糖核酸(mRNA)之间的相互作用。利用异种移植瘤模型在体内验证KCNQ1OT1的作用。

结果

本研究表明,KCNQ1OT1在肿瘤组织中的表达水平升高,这提示结肠癌患者预后不良。利用结肠癌细胞系HCT116和SW480证实,敲低KCNQ1OT1可降低细胞活力,并增加L-OHP处理后的细胞凋亡率。进一步研究表明,Atg4B的上调部分介导了KCNQ1OT1诱导的保护性自噬及化疗耐药性。此外,miR-34a作为KCNQ1OT1与Atg4B之间的桥梁发挥作用,它可被KCNQ1OT1吸附,同时也能与Atg4B的3'-非翻译区(3'-UTR)结合并下调其表达。最后,我们证明KCNQ1OT1/miR-34a/Atg4B轴在体外和体内均调节了结肠癌细胞的化疗耐药性。

结论

lncRNA KCNQ1OT1通过吸附miR-34a上调Atg4B的表达,增强保护性自噬,从而促进结肠癌的化疗耐药性。KCNQ1OT1可能成为结肠癌治疗的一个有前景的靶点。

https://cdn.ncbi.nlm.nih.gov/pmc/blobs/e624/6462170/ba4061ed3387/ott-12-2649Fig1.jpg

文献AI研究员

20分钟写一篇综述,助力文献阅读效率提升50倍。

立即体验

用中文搜PubMed

大模型驱动的PubMed中文搜索引擎

马上搜索

文档翻译

学术文献翻译模型,支持多种主流文档格式。

立即体验