Suppr超能文献

衰老的血液通过脑内皮细胞 VCAM1 损害海马神经前体细胞的活性并激活小胶质细胞。

Aged blood impairs hippocampal neural precursor activity and activates microglia via brain endothelial cell VCAM1.

机构信息

Department of Neurology and Neurological Sciences, Stanford University School of Medicine, Stanford, CA, USA.

VA Palo Alto Health Care System, Palo Alto, CA, USA.

出版信息

Nat Med. 2019 Jun;25(6):988-1000. doi: 10.1038/s41591-019-0440-4. Epub 2019 May 13.

Abstract

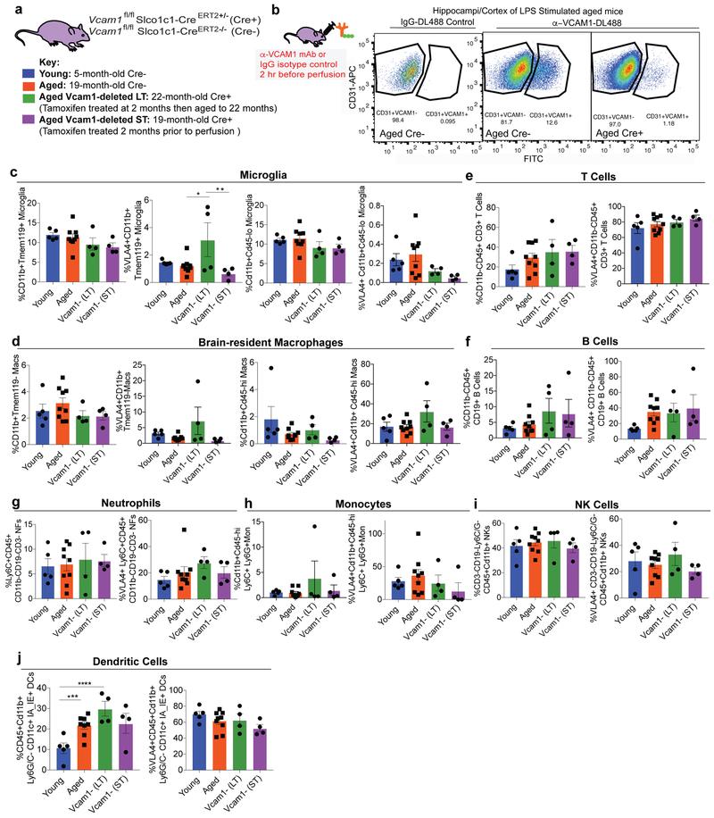
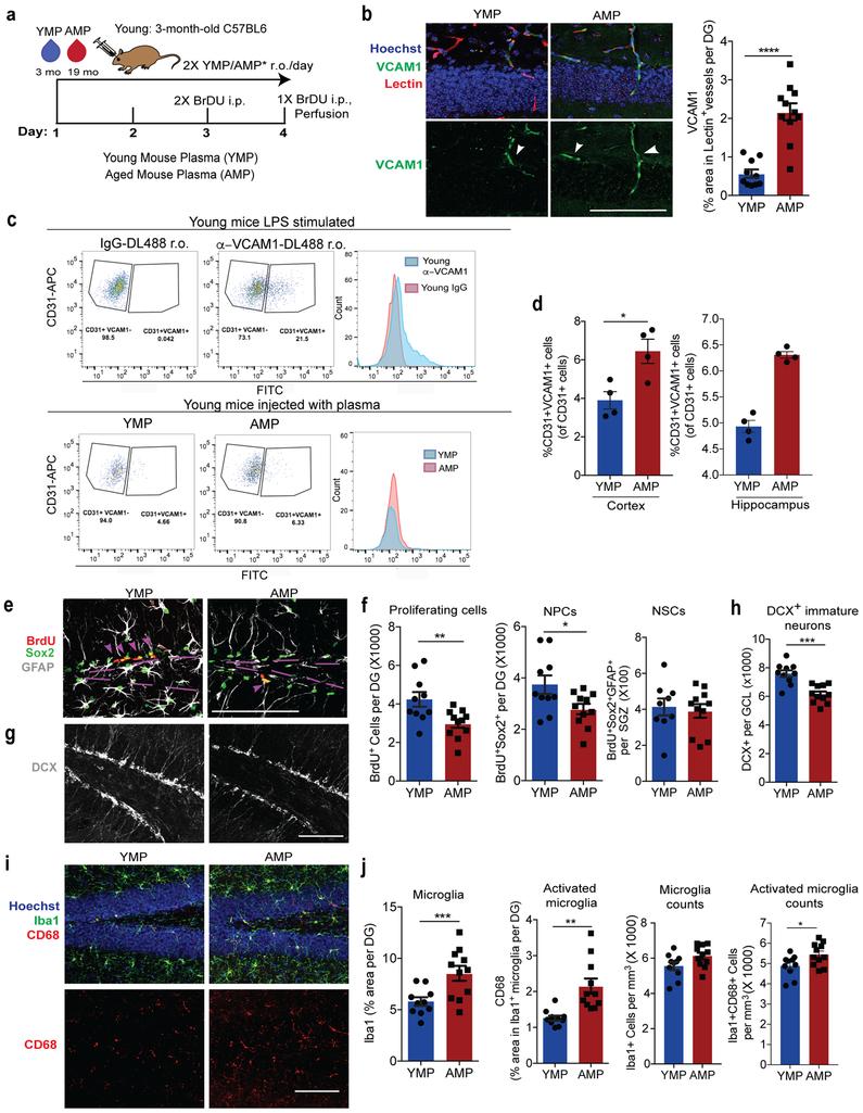
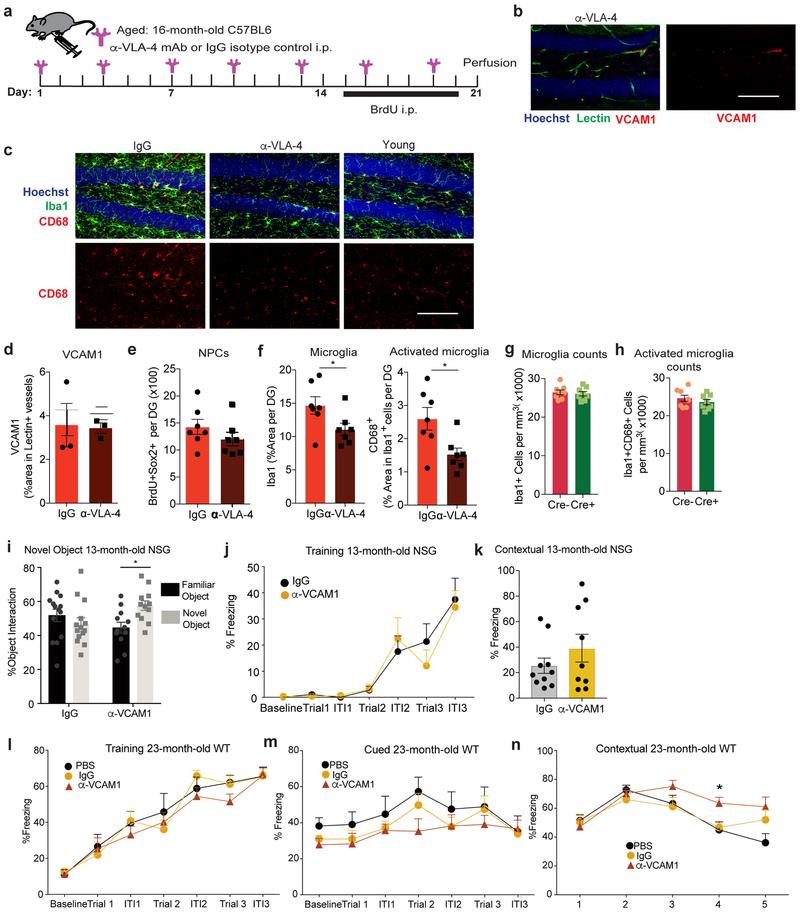
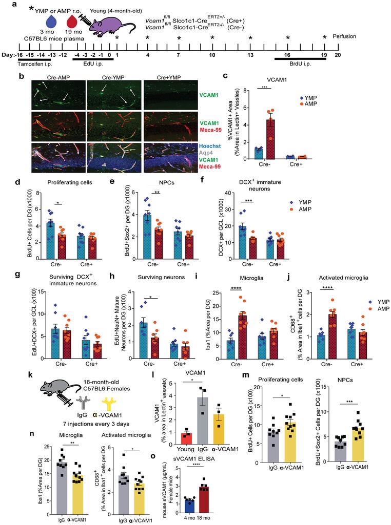
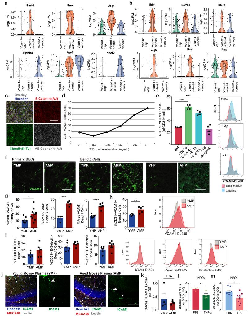
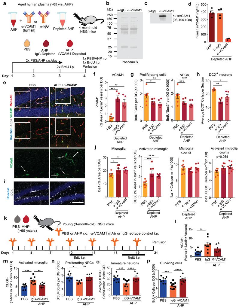
An aged circulatory environment can activate microglia, reduce neural precursor cell activity and impair cognition in mice. We hypothesized that brain endothelial cells (BECs) mediate at least some of these effects. We observe that BECs in the aged mouse hippocampus express an inflammatory transcriptional profile with focal upregulation of vascular cell adhesion molecule 1 (VCAM1), a protein that facilitates vascular-immune cell interactions. Concomitantly, levels of the shed, soluble form of VCAM1 are prominently increased in the plasma of aged humans and mice, and their plasma is sufficient to increase VCAM1 expression in cultured BECs and the hippocampi of young mice. Systemic administration of anti-VCAM1 antibody or genetic ablation of Vcam1 in BECs counteracts the detrimental effects of plasma from aged individuals on young brains and reverses aging aspects, including microglial reactivity and cognitive deficits, in the brains of aged mice. Together, these findings establish brain endothelial VCAM1 at the blood-brain barrier as a possible target to treat age-related neurodegeneration.

摘要

衰老的循环环境会激活小胶质细胞,减少神经前体细胞的活性,并损害小鼠的认知能力。我们假设脑内皮细胞(BEC)至少介导了其中的一些作用。我们观察到,衰老小鼠海马体中的 BEC 表达出一种炎症转录谱,血管细胞黏附分子 1(VCAM1)的表达呈局灶性上调,VCAM1 是一种促进血管免疫细胞相互作用的蛋白质。同时,衰老个体的血浆中 VCAM1 的可溶性形式(即脱落形式)明显增加,并且其血浆足以增加培养的 BEC 和年轻小鼠海马体中 VCAM1 的表达。抗 VCAM1 抗体的系统给药或 BEC 中 Vcam1 的基因缺失可拮抗来自衰老个体的血浆对年轻大脑的有害影响,并逆转衰老小鼠大脑中的衰老方面,包括小胶质细胞反应性和认知缺陷。总之,这些发现确立了血脑屏障中的脑内皮 VCAM1 作为治疗与年龄相关的神经退行性变的潜在靶点。

https://cdn.ncbi.nlm.nih.gov/pmc/blobs/64a7/6642642/28f59d3a31e2/nihms-1523758-f0007.jpg

文献AI研究员

20分钟写一篇综述,助力文献阅读效率提升50倍。

立即体验

用中文搜PubMed

大模型驱动的PubMed中文搜索引擎

马上搜索

文档翻译

学术文献翻译模型,支持多种主流文档格式。

立即体验