Suppr超能文献

miR-29b/Sp1/FUT4 轴通过 Wnt/β-catenin 通路调节岩藻糖基化来调节急性髓系白血病中白血病干细胞的恶性程度。

MiR-29b/Sp1/FUT4 axis modulates the malignancy of leukemia stem cells by regulating fucosylation via Wnt/β-catenin pathway in acute myeloid leukemia.

机构信息

College of Laboratory Medicine, Dalian Medical University, 9 Lushunnan Road Xiduan, Dalian, 116044, Liaoning Province, China.

Department of Clinical Laboratory, Beijing Hospital of Traditional Chinese Medicine Affiliated to Capital University of Medicine Sciences, Beijing, 100010, China.

出版信息

J Exp Clin Cancer Res. 2019 May 16;38(1):200. doi: 10.1186/s13046-019-1179-y.

Abstract

BACKGROUND

Acute myeloid leukemia (AML) is initiated and maintained by a unique, small subset of leukemia stem cells (LSCs). LSCs are characterized by unrestricted self-renewal and contribute to the malignancy of leukemia. Aberrant protein fucosylation is associated with AML progression. However, it is still less understood that the miR-29b/Sp1/FUT4 crosstalk involved in the fucosylation-mediated LSCs malignancy in AML.

METHODS

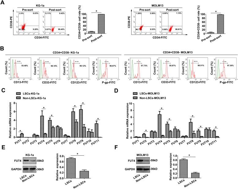
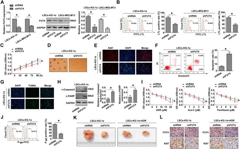
AML cell lines were sorted by magnetic microbeads to obtain the CD34 + CD38- sub-population. The key biomarkers for LSCs were identified by flow cytometry. Fucosyltransferase genes were screened by qRT-PCR, and FUT4 was focused. Effect of FUT4 on LSCs malignancy was determined by CCK8 assay, sphere formation assay, immunofluorescence staining, apoptosis and in vivo xenografts experiments. The linkage of FUT4 promoter and Sp1 was confirmed by dual-luciferase reporter gene assay. ChIP-PCR assay was used to show the directly binding of Sp1 and FUT4 promoter. Activity of Wnt//β-catenin pathway was determined by western blot. Overall survival curves were diagrammed by Kaplan-Meier analysis.

RESULTS

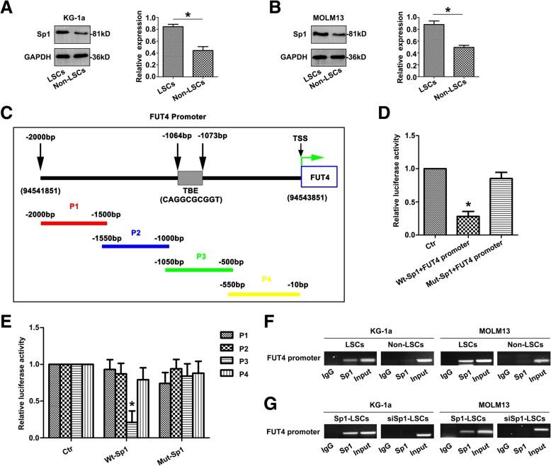
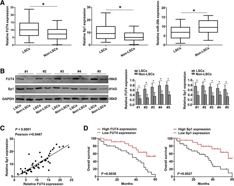
Here, the expressional profiles of 11 fucosyltransferase genes were different comparing LSCs and non-LSCs of KG-1a and MOLM13 cells, whereas CD34 + CD38- cells exhibited higher expression of FUT4. Functionally, alteration of FUT4 in CD34 + CD38- cells modulated LSCs malignant behaviors both in vitro and in vivo. Transcriptional inhibitor actinomycin D (Act D) or translational inhibitor cycloheximide (CHX) prevented LSCs progression, and Sp1 was identified as the efficient regulator of FUT4 transcription. Moreover, miR-29b directly affected the binding of Sp1 and FUT4 promoter region, which further mediated LSCs proliferation, apoptosis and drug-resistance through fucosylated-CD44 via activation of Wnt/β-catenin pathway. Clinically, Sp1 and FUT4 were up-regulated and positively correlated with poor overall survival of AML patients.

CONCLUSION

These data indicated that miR-29b/Sp1/FUT4 axis promoted the malignant behaviors of LSCs by regulating fucosylated CD44 via Wnt/β-catenin pathway. Identifying LSCs surface markers and targeting LSCs were important for the development of potential therapies in AML.

摘要

背景

急性髓系白血病(AML)是由一个独特的、小的白血病干细胞(LSCs)亚群引发和维持的。LSCs 的特征是无限制的自我更新,并导致白血病的恶性程度。异常的蛋白岩藻糖基化与 AML 的进展有关。然而,miR-29b/Sp1/FUT4 相互作用在 AML 中岩藻糖基化介导的 LSCs 恶性中的作用仍知之甚少。

方法

通过磁性微珠对 AML 细胞系进行分选,获得 CD34+CD38-亚群。通过流式细胞术鉴定 LSCs 的关键生物标志物。通过 qRT-PCR 筛选岩藻糖基转移酶基因,重点研究 FUT4。通过 CCK8 测定、球体形成测定、免疫荧光染色、凋亡和体内异种移植实验确定 FUT4 对 LSCs 恶性的影响。通过双荧光素酶报告基因实验证实 FUT4 启动子与 Sp1 的连接。ChIP-PCR 实验用于显示 Sp1 和 FUT4 启动子的直接结合。通过 Western blot 测定 Wnt//β-catenin 通路的活性。通过 Kaplan-Meier 分析绘制总生存曲线。

结果

在这里,比较 KG-1a 和 MOLM13 细胞的 LSCs 和非 LSCs,11 个岩藻糖基转移酶基因的表达谱不同,而 CD34+CD38-细胞表现出更高的 FUT4 表达。功能上,CD34+CD38-细胞中 FUT4 的改变在体外和体内均调节 LSCs 的恶性行为。转录抑制剂放线菌素 D(Act D)或翻译抑制剂环己酰亚胺(CHX)阻止 LSCs 进展,Sp1 被鉴定为 FUT4 转录的有效调节因子。此外,miR-29b 直接影响 Sp1 和 FUT4 启动子区域的结合,通过激活 Wnt/β-catenin 通路,进一步通过糖基化 CD44 介导 LSCs 的增殖、凋亡和耐药性。临床上,Sp1 和 FUT4 上调,并与 AML 患者的总体生存不良呈正相关。

结论

这些数据表明,miR-29b/Sp1/FUT4 轴通过调节 Wnt/β-catenin 通路的糖基化 CD44,促进 LSCs 的恶性行为。鉴定 LSCs 表面标志物并靶向 LSCs 对于 AML 中潜在治疗方法的发展非常重要。

https://cdn.ncbi.nlm.nih.gov/pmc/blobs/6677/6524323/7003d3e3c710/13046_2019_1179_Fig1_HTML.jpg

文献AI研究员

20分钟写一篇综述,助力文献阅读效率提升50倍。

立即体验

用中文搜PubMed

大模型驱动的PubMed中文搜索引擎

马上搜索

文档翻译

学术文献翻译模型,支持多种主流文档格式。

立即体验