Suppr超能文献

用于治疗诊断放射性示踪剂的分子影像报告和数据系统(MI-RADS)的最新进展——应对生长抑素受体(SSTR)和前列腺特异性膜抗原(PSMA)靶向PET/CT的陷阱

Recent Updates on Molecular Imaging Reporting and Data Systems (MI-RADS) for Theranostic Radiotracers-Navigating Pitfalls of SSTR- and PSMA-Targeted PET/CT.

作者信息

Werner Rudolf A, Thackeray James T, Pomper Martin G, Bengel Frank M, Gorin Michael A, Derlin Thorsten, Rowe Steven P

机构信息

Department of Nuclear Medicine, Hannover Medical School, 30625 Hannover, Germany.

Johns Hopkins School of Medicine, The Russell H Morgan Department of Radiology and Radiological Science, Division of Nuclear Medicine and Molecular Imaging, Baltimore, MD 21287, USA.

出版信息

J Clin Med. 2019 Jul 19;8(7):1060. doi: 10.3390/jcm8071060.

Abstract

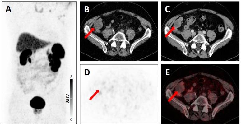
The theranostic concept represents a paradigmatic example of personalized treatment. It is based on the use of radiolabeled compounds which can be applied for both diagnostic molecular imaging and subsequent treatment, using different radionuclides for labelling. Clinically relevant examples include somatostatin receptor (SSTR)-targeted imaging and therapy for the treatment of neuroendocrine tumors (NET), as well as prostate-specific membrane antigen (PSMA)-targeted imaging and therapy for the treatment of prostate cancer (PC). As such, both classes of radiotracers can be used to triage patients for theranostic endoradiotherapy using positron emission tomography (PET). While interpreting PSMA- or SSTR-targeted PET/computed tomography scans, the reader has to navigate certain pitfalls, including (I.) varying normal biodistribution between different PSMA- and SSTR-targeting PET radiotracers, (II.) varying radiotracer uptake in numerous kinds of both benign and malignant lesions, and (III.) resulting false-positive and false-negative findings. Thus, two novel reporting and data system (RADS) classifications for PSMA- and SSTR-targeted PET imaging (PSMA- and SSTR-RADS) have been recently introduced under the umbrella term molecular imaging reporting and data systems (MI-RADS). Notably, PSMA- and SSTR-RADS are structured in a reciprocal fashion, i.e., if the reader is familiar with one system, the other system can readily be applied. Learning objectives of the present case-based review are as follows: (I.) the theranostic concept for the treatment of NET and PC will be briefly introduced, (II.) the most common pitfalls on PSMA- and SSTR-targeted PET/CT will be identified, (III.) the novel framework system for theranostic radiotracers (MI-RADS) will be explained, applied to complex clinical cases and recent studies in the field will be highlighted. Finally, current treatment strategies based on MI-RADS will be proposed, which will demonstrate how such a generalizable framework system truly paves the way for clinically meaningful molecular imaging-guided treatment of either PC or NET. Thus, beyond an introduction of MI-RADS, the present review aims to provide an update of recently published studies which have further validated the concept of structured reporting systems in the field of theranostics.

摘要

治疗诊断学概念代表了个性化治疗的一个典型例子。它基于使用放射性标记化合物,这些化合物可用于诊断性分子成像和后续治疗,使用不同的放射性核素进行标记。临床相关的例子包括用于治疗神经内分泌肿瘤(NET)的生长抑素受体(SSTR)靶向成像和治疗,以及用于治疗前列腺癌(PC)的前列腺特异性膜抗原(PSMA)靶向成像和治疗。因此,这两类放射性示踪剂都可用于使用正电子发射断层扫描(PET)对患者进行治疗诊断性内照射治疗的分类。在解读PSMA或SSTR靶向的PET/计算机断层扫描时,读者必须注意某些陷阱,包括:(I.)不同的PSMA和SSTR靶向PET放射性示踪剂之间正常生物分布的差异;(II.)在多种良性和恶性病变中放射性示踪剂摄取量的差异;以及(III.)由此产生的假阳性和假阴性结果。因此,最近在分子成像报告和数据系统(MI-RADS)这一统称下引入了两种针对PSMA和SSTR靶向PET成像的新型报告和数据系统(RADS)分类(PSMA-RADS和SSTR-RADS)。值得注意的是,PSMA-RADS和SSTR-RADS的结构是相互对应的,也就是说,如果读者熟悉一个系统,另一个系统也能很容易应用。本基于病例的综述的学习目标如下:(I.)将简要介绍治疗NET和PC的治疗诊断学概念;(II.)将识别PSMA和SSTR靶向PET/CT上最常见的陷阱;(III.)将解释用于治疗诊断性放射性示踪剂的新型框架系统(MI-RADS),应用于复杂临床病例并突出该领域的最新研究。最后,将提出基于MI-RADS的当前治疗策略,这将展示这样一个可推广的框架系统如何真正为PC或NET的具有临床意义的分子成像引导治疗铺平道路。因此,除了介绍MI-RADS之外,本综述旨在提供对最近发表的研究的更新,这些研究进一步验证了治疗诊断学领域结构化报告系统的概念。

https://cdn.ncbi.nlm.nih.gov/pmc/blobs/eb43/6678732/dc5a28c55148/jcm-08-01060-g001.jpg

文献AI研究员

20分钟写一篇综述,助力文献阅读效率提升50倍。

立即体验

用中文搜PubMed

大模型驱动的PubMed中文搜索引擎

马上搜索

文档翻译

学术文献翻译模型,支持多种主流文档格式。

立即体验