Suppr超能文献

长链非编码 RNA LINC00460 通过促进过氧化物酶 1 进入细胞核促进头颈部鳞状细胞癌中的 EMT。

LncRNA LINC00460 promotes EMT in head and neck squamous cell carcinoma by facilitating peroxiredoxin-1 into the nucleus.

机构信息

Department of Oral and Maxillofacial-Head & Neck Oncology, Ninth People's Hospital, Shanghai Jiao Tong University School of Medicine, 639 Zhizaoju Road, Shanghai, 200011, China.

Department of Dentistry, Affiliated Hospital, Weifang Medical University, Weifang, 261031, China.

出版信息

J Exp Clin Cancer Res. 2019 Aug 20;38(1):365. doi: 10.1186/s13046-019-1364-z.

Abstract

BACKGROUND

The lncRNA LINC00460 plays crucial roles in several epithelial cancers, although its mechanisms of action differ greatly in different cellular contexts. In this study, we aimed to determine the potential clinical applications of LINC00460 and elucidate the mechanisms by which LINC00460 affects the development and progression of head and neck squamous cell carcinoma (HNSCC).

METHODS

The biological functions of LINC00460 were assessed in several epithelial cancer cell lines. The subcellular localization of LINC00460 was evaluated by cell nuclear/cytoplasmic fractionation and fluorescence in situ hybridization. RNA pull-down assays, LS-MS/MS analysis, and RNA and chromatin immunoprecipitation assays were performed to identify the molecular mechanism by which LINC00460 promotes HNSCC progression. The clinical pathological features of LINC00460 and PRDX1 were evaluated in HNSCC tissues and paired adjacent normal tissues.

RESULTS

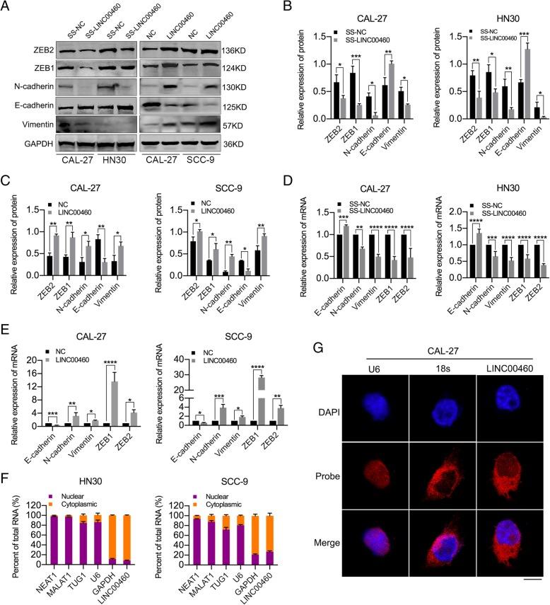
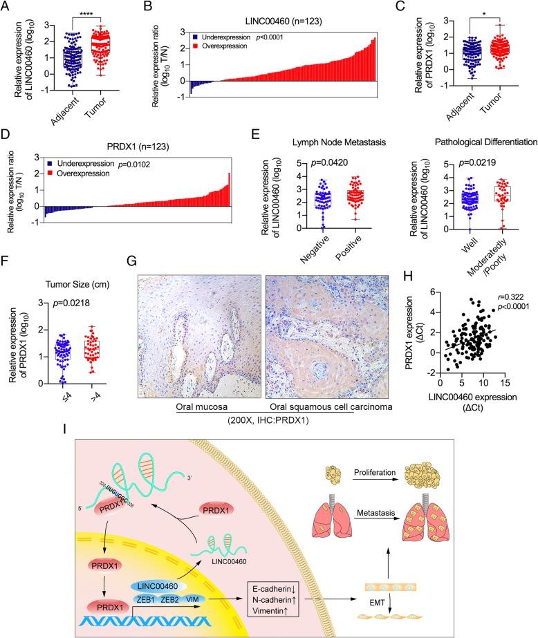
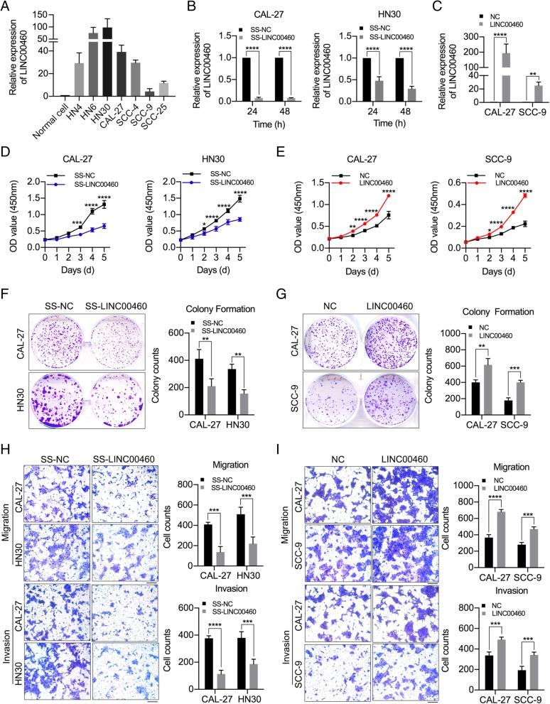
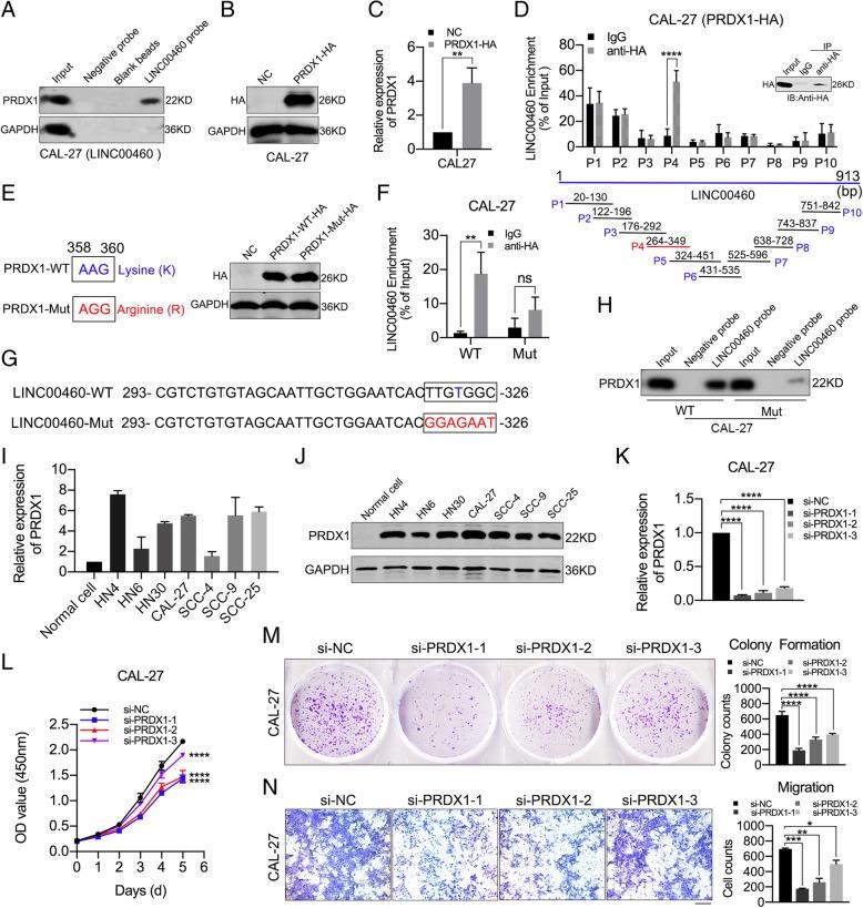
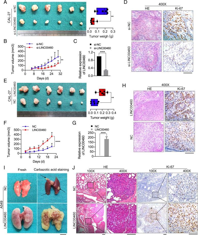
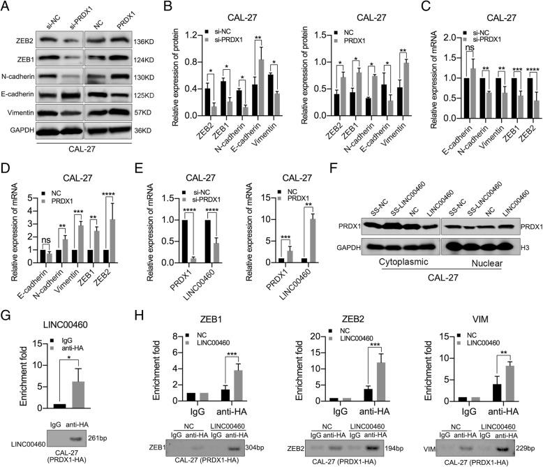
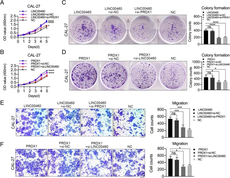
LINC00460 enhanced HNSCC cell proliferation and metastasis in vitro and in vivo and induced epithelial-mesenchymal transition (EMT). LINC00460 primarily localized within the cytoplasm of HNSCC cells, physically interacted with PRDX1 and facilitated PRDX1 entry into the nucleus. PRDX1 promoted the transcription of LINC00460, forming a positive feedback loop. In addition, PRDX1 also promoted the transcription of EMT-related genes (such as ZEB1, ZEB2 and VIM) through enrichment on gene promoters in the nucleus. LINC00460 effectively induced HNSCC cell EMT in a PRDX1-dependent manner, and PRDX1 mainly mediated the EMT-promoting effect of LINC00460. High levels of LINC00460 and PRDX1 expression were positively associated with lymph metastasis, pathological differentiation and tumor size in HNSCC patients.

CONCLUSIONS

LINC00460 promoted EMT in HNSCC cells by facilitating PRDX1 entry into the nucleus. LINC00460 and PRDX1 are promising candidate prognostic predictors and potential targets for cancer therapy for HNSCC.

摘要

背景

长链非编码 RNA LINC00460 在几种上皮性癌中发挥着关键作用,尽管其在不同细胞环境中的作用机制有很大差异。在这项研究中,我们旨在确定 LINC00460 的潜在临床应用,并阐明 LINC00460 影响头颈部鳞状细胞癌(HNSCC)发生和发展的机制。

方法

在几种上皮癌细胞系中评估了 LINC00460 的生物学功能。通过细胞核/细胞质分离和荧光原位杂交评估 LINC00460 的亚细胞定位。进行 RNA 下拉实验、LS-MS/MS 分析以及 RNA 和染色质免疫沉淀实验,以确定 LINC00460 促进 HNSCC 进展的分子机制。评估 LINC00460 和 PRDX1 在 HNSCC 组织和配对的相邻正常组织中的临床病理特征。

结果

LINC00460 增强了体外和体内 HNSCC 细胞的增殖和转移,并诱导了上皮-间充质转化(EMT)。LINC00460 主要定位于 HNSCC 细胞的细胞质中,与 PRDX1 相互作用,并促进 PRDX1 进入细胞核。PRDX1 促进 LINC00460 的转录,形成正反馈回路。此外,PRDX1 还通过在核内基因启动子上的富集促进 EMT 相关基因(如 ZEB1、ZEB2 和 VIM)的转录。LINC00460 有效地以 PRDX1 依赖的方式诱导 HNSCC 细胞 EMT,PRDX1 主要介导 LINC00460 的 EMT 促进作用。LINC00460 和 PRDX1 高表达与 HNSCC 患者的淋巴结转移、病理分化和肿瘤大小呈正相关。

结论

LINC00460 通过促进 PRDX1 进入细胞核来促进 HNSCC 细胞的 EMT。LINC00460 和 PRDX1 是 HNSCC 有前途的候选预后预测因子和癌症治疗的潜在靶点。

https://cdn.ncbi.nlm.nih.gov/pmc/blobs/5f36/6700841/2ffc64d0c88d/13046_2019_1364_Fig1_HTML.jpg

文献AI研究员

20分钟写一篇综述,助力文献阅读效率提升50倍。

立即体验

用中文搜PubMed

大模型驱动的PubMed中文搜索引擎

马上搜索

文档翻译

学术文献翻译模型,支持多种主流文档格式。

立即体验