Suppr超能文献

RORγ 是一种癌症亚型中胆固醇生物合成的可靶向主调控因子。

RORγ is a targetable master regulator of cholesterol biosynthesis in a cancer subtype.

机构信息

Department of Biochemistry and Molecular Medicine, University of California Davis, Sacramento, CA, USA.

West Coast Metabolomics Center, University of California Davis, Davis, CA, USA.

出版信息

Nat Commun. 2019 Oct 11;10(1):4621. doi: 10.1038/s41467-019-12529-3.

Abstract

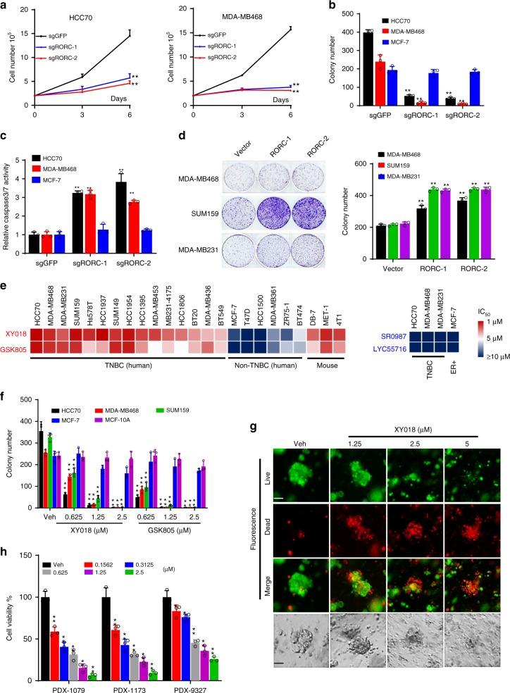
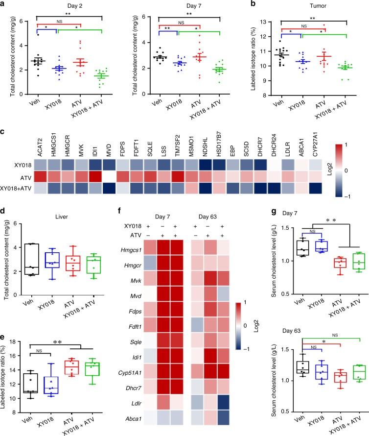
Tumor subtype-specific metabolic reprogrammers could serve as targets of therapeutic intervention. Here we show that triple-negative breast cancer (TNBC) exhibits a hyper-activated cholesterol-biosynthesis program that is strongly linked to nuclear receptor RORγ, compared to estrogen receptor-positive breast cancer. Genetic and pharmacological inhibition of RORγ reduces tumor cholesterol content and synthesis rate while preserving host cholesterol homeostasis. We demonstrate that RORγ functions as an essential activator of the entire cholesterol-biosynthesis program, dominating SREBP2 via its binding to cholesterol-biosynthesis genes and its facilitation of the recruitment of SREBP2. RORγ inhibition disrupts its association with SREBP2 and reduces chromatin acetylation at cholesterol-biosynthesis gene loci. RORγ antagonists cause tumor regression in patient-derived xenografts and immune-intact models. Their combination with cholesterol-lowering statins elicits superior anti-tumor synergy selectively in TNBC. Together, our study uncovers a master regulator of the cholesterol-biosynthesis program and an attractive target for TNBC.

摘要

肿瘤亚型特异性代谢重编程因子可作为治疗干预的靶点。在这里,我们发现与雌激素受体阳性乳腺癌相比,三阴性乳腺癌(TNBC)表现出高度激活的胆固醇生物合成程序,该程序与核受体 RORγ 强烈相关。RORγ 的遗传和药理学抑制降低了肿瘤胆固醇含量和合成率,同时保持了宿主胆固醇的体内平衡。我们证明 RORγ 是胆固醇生物合成途径的必需激活因子,通过与胆固醇生物合成基因结合并促进 SREBP2 的募集,从而主导 SREBP2。RORγ 的抑制作用破坏了其与 SREBP2 的关联,并降低了胆固醇生物合成基因座的染色质乙酰化水平。RORγ 拮抗剂在患者来源的异种移植和免疫完整模型中引起肿瘤消退。它们与降低胆固醇的他汀类药物联合使用可在 TNBC 中选择性地产生卓越的抗肿瘤协同作用。总之,我们的研究揭示了胆固醇生物合成途径的主要调节因子,以及 TNBC 的一个有吸引力的治疗靶点。

https://cdn.ncbi.nlm.nih.gov/pmc/blobs/3ce1/6789042/08faf9058ab9/41467_2019_12529_Fig1_HTML.jpg

文献AI研究员

20分钟写一篇综述,助力文献阅读效率提升50倍。

立即体验

用中文搜PubMed

大模型驱动的PubMed中文搜索引擎

马上搜索

文档翻译

学术文献翻译模型,支持多种主流文档格式。

立即体验