Suppr超能文献

长链非编码 RNA GAS5 通过与 YAP 相互作用并触发其磷酸化和降解来抑制结直肠癌的进展,并且受到 mA 阅读器 YTHDF3 的负调控。

Long noncoding RNA GAS5 inhibits progression of colorectal cancer by interacting with and triggering YAP phosphorylation and degradation and is negatively regulated by the mA reader YTHDF3.

机构信息

Department of Pathology, Sun Yat-sen Memorial Hospital, Sun Yat-sen University, Guangzhou, 510120, China.

Guangdong Provincial Key Laboratory of Malignant Tumor Epigenetics and Gene Regulation, Sun Yat-sen Memorial Hospital, Sun Yat-sen University, Guangzhou, 510120, China.

出版信息

Mol Cancer. 2019 Oct 16;18(1):143. doi: 10.1186/s12943-019-1079-y.

Abstract

BACKGROUND

YAP activation is crucial for cancer development including colorectal cancer (CRC). Nevertheless, it remains unclear whether N6-Methyladenosine (mA) modified transcripts of long noncoding RNAs (lncRNAs) can regulate YAP activation in cancer progression. We investigated the functional link between lncRNAs and the mA modification in YAP signaling and CRC progression.

METHODS

YAP interacting lncRNAs were screened by RIP-sequencing, RNA FISH and immunofluorescence co-staining assays. Interaction between YAP and lncRNA GAS5 was studied by biochemical methods. MeRIP-sequencing combined with lncRNA-sequencing were used to identify the mA modified targets of YTHDF3 in CRC. Gain-of-function and Loss-of-function analysis were performed to measure the function of GAS5-YAP-YTHDF3 axis in CRC progression in vitro and in vivo.

RESULTS

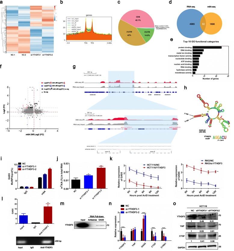
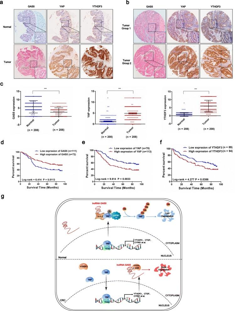
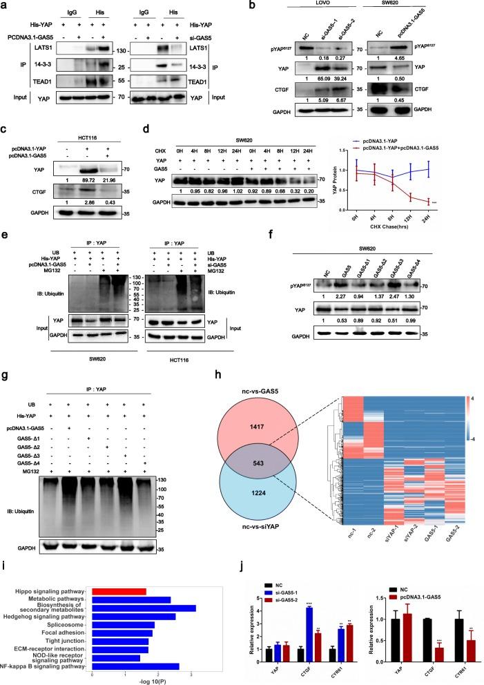
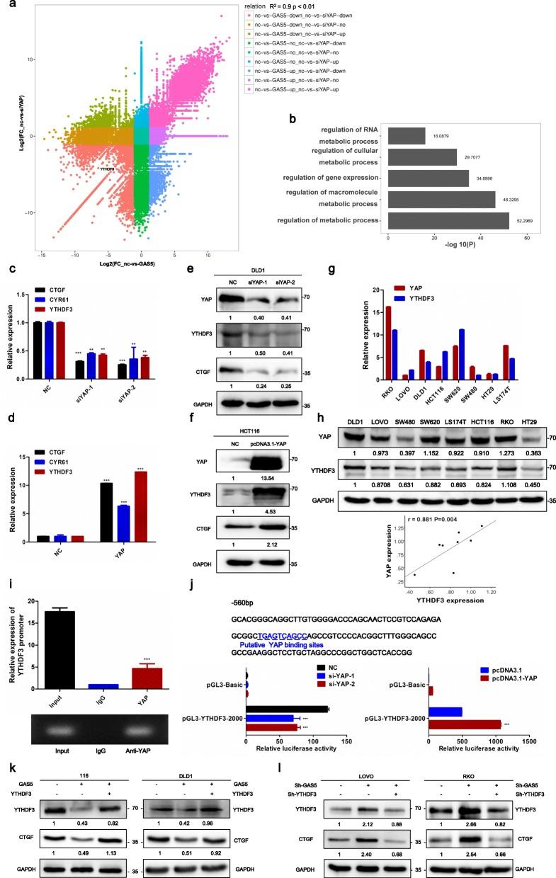
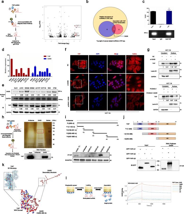
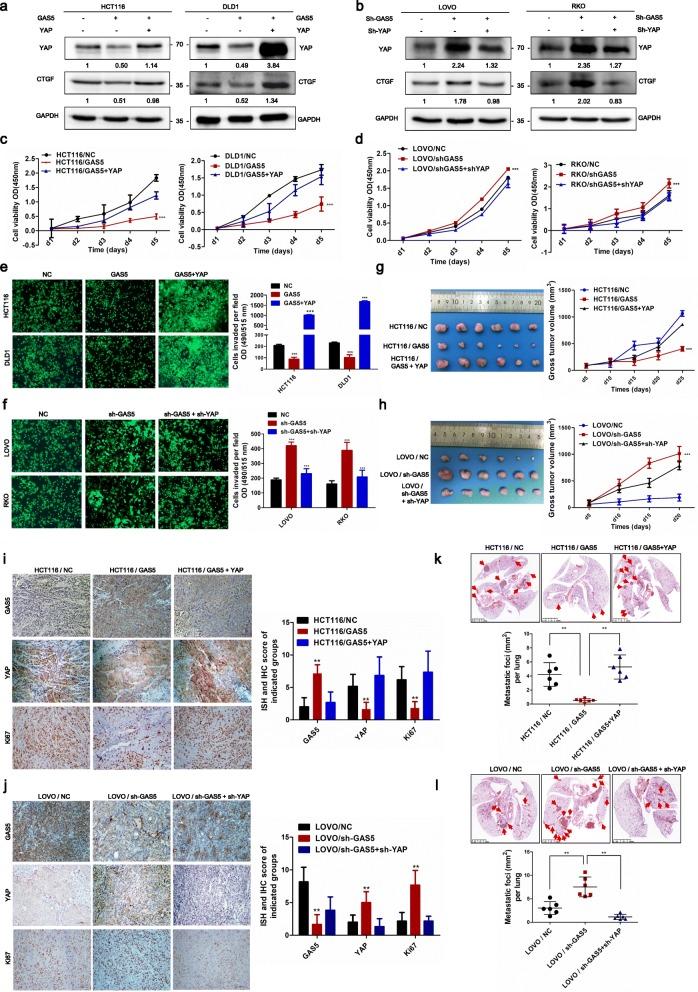
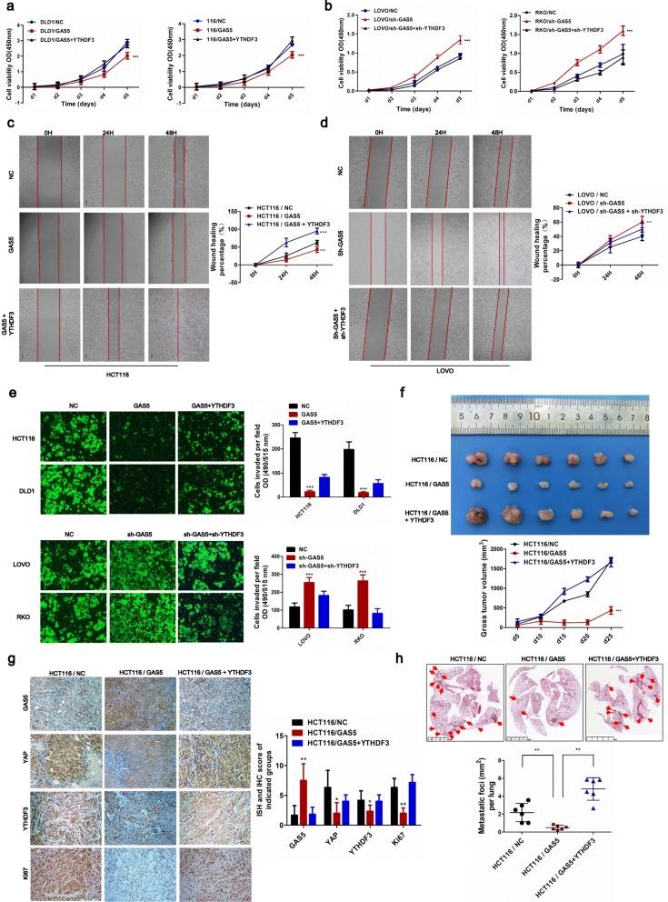
GAS5 directly interacts with WW domain of YAP to facilitate translocation of endogenous YAP from the nucleus to the cytoplasm and promotes phosphorylation and subsequently ubiquitin-mediated degradation of YAP to inhibit CRC progression in vitro and in vivo. Notably, we demonstrate the mA reader YTHDF3 not only a novel target of YAP but also a key player in YAP signaling by facilitating mA-modified lncRNA GAS5 degradation, which profile a new insight into CRC progression. Clinically, lncRNA GAS5 expressions is negatively correlated with YAP and YTHDF3 protein levels in tumors from CRC patients.

CONCLUSIONS

Our study uncovers a negative functional loop of lncRNA GAS5-YAP-YTHDF3 axis, and identifies a new mechanism for mA-induced decay of GAS5 on YAP signaling in progression of CRC which may offer a promising approach for CRC treatment.

摘要

背景

YAP 的激活对于癌症的发展至关重要,包括结直肠癌(CRC)。然而,目前尚不清楚长非编码 RNA(lncRNA)的 N6-甲基腺苷(mA)修饰转录本是否可以调节癌症进展中的 YAP 激活。我们研究了 lncRNA 与 YAP 信号和 CRC 进展中的 mA 修饰之间的功能联系。

方法

通过 RIP-seq、RNA FISH 和免疫荧光共染色检测筛选出与 YAP 相互作用的 lncRNA。通过生化方法研究 YAP 和 lncRNA GAS5 之间的相互作用。使用 MeRIP-seq 结合 lncRNA-seq 鉴定 YTHDF3 在 CRC 中 mA 修饰的靶标。进行功能获得和功能丧失分析,以测量 GAS5-YAP-YTHDF3 轴在 CRC 体外和体内进展中的功能。

结果

GAS5 直接与 YAP 的 WW 结构域相互作用,促进内源性 YAP 从核内到细胞质的易位,并促进 YAP 的磷酸化和随后的泛素介导的降解,从而抑制 CRC 的体外和体内进展。值得注意的是,我们证明 mA 阅读器 YTHDF3 不仅是 YAP 的一个新靶点,也是 YAP 信号的关键参与者,通过促进 mA 修饰的 lncRNA GAS5 降解,为 CRC 进展提供了新的见解。临床上,lncRNA GAS5 的表达与 CRC 患者肿瘤中的 YAP 和 YTHDF3 蛋白水平呈负相关。

结论

我们的研究揭示了 lncRNA GAS5-YAP-YTHDF3 轴的负功能循环,并确定了 mA 诱导的 GAS5 在 CRC 进展中对 YAP 信号的降解的新机制,这可能为 CRC 的治疗提供一种有前途的方法。

https://cdn.ncbi.nlm.nih.gov/pmc/blobs/b87b/6794841/f789755f436e/12943_2019_1079_Fig1_HTML.jpg

文献AI研究员

20分钟写一篇综述,助力文献阅读效率提升50倍。

立即体验

用中文搜PubMed

大模型驱动的PubMed中文搜索引擎

马上搜索

文档翻译

学术文献翻译模型,支持多种主流文档格式。

立即体验