Suppr超能文献

果蝇无功能神经回路中的 Drosulfakinin 信号拮抗 P1 神经元,从而调节性唤起。

Drosulfakinin signaling in fruitless circuitry antagonizes P1 neurons to regulate sexual arousal in Drosophila.

机构信息

The Key Laboratory of Developmental Genes and Human Disease, Institute of Life Sciences, Southeast University, Nanjing, 210096, China.

College of Plant Protection, Nanjing Agricultural University, Nanjing, 210095, China.

出版信息

Nat Commun. 2019 Oct 18;10(1):4770. doi: 10.1038/s41467-019-12758-6.

Abstract

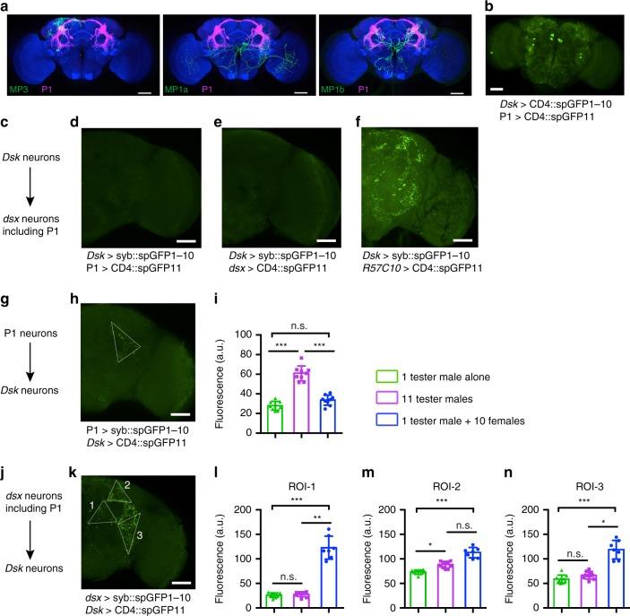
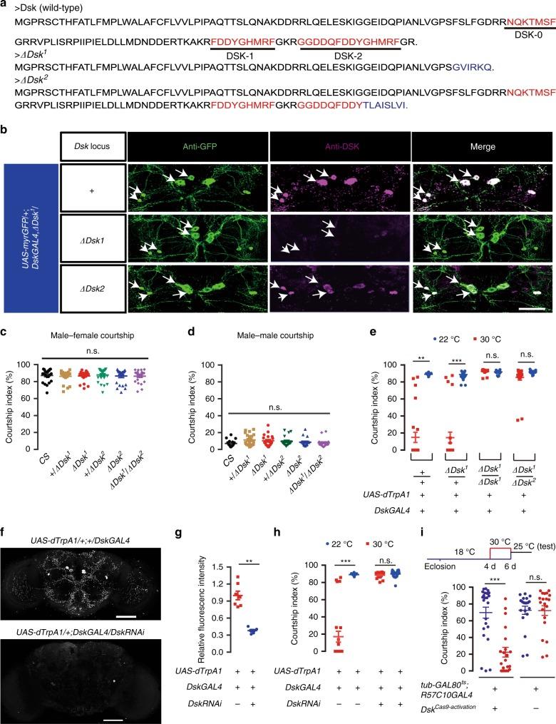
Animals perform or terminate particular behaviors by integrating external cues and internal states through neural circuits. Identifying neural substrates and their molecular modulators promoting or inhibiting animal behaviors are key steps to understand how neural circuits control behaviors. Here, we identify the Cholecystokinin-like peptide Drosulfakinin (DSK) that functions at single-neuron resolution to suppress male sexual behavior in Drosophila. We found that Dsk neurons physiologically interact with male-specific P1 neurons, part of a command center for male sexual behaviors, and function oppositely to regulate multiple arousal-related behaviors including sex, sleep and spontaneous walking. We further found that the DSK-2 peptide functions through its receptor CCKLR-17D3 to suppress sexual behaviors in flies. Such a neuropeptide circuit largely overlaps with the fruitless-expressing neural circuit that governs most aspects of male sexual behaviors. Thus DSK/CCKLR signaling in the sex circuitry functions antagonistically with P1 neurons to balance arousal levels and modulate sexual behaviors.

摘要

动物通过整合外部线索和内部状态来执行或终止特定的行为,这是通过神经回路实现的。确定促进或抑制动物行为的神经基质及其分子调节剂是理解神经回路如何控制行为的关键步骤。在这里,我们鉴定了 Drosulfakinin (DSK),它作为一种单一神经元分辨率的胆囊收缩素样肽,在果蝇中抑制雄性性行为。我们发现 Dsk 神经元在生理上与雄性特异性 P1 神经元相互作用,后者是雄性性行为的指挥中心的一部分,并且以相反的方式发挥作用,调节包括性、睡眠和自发行走在内的多种觉醒相关行为。我们进一步发现 DSK-2 肽通过其受体 CCKLR-17D3 发挥作用,以抑制果蝇的性行为。这样的神经肽回路在很大程度上与调控雄性性行为大多数方面的 fruiless 表达神经回路重叠。因此,性回路中的 DSK/CCKLR 信号转导与 P1 神经元拮抗作用,以平衡觉醒水平并调节性行为。

https://cdn.ncbi.nlm.nih.gov/pmc/blobs/3755/6800437/e665a86c537c/41467_2019_12758_Fig1_HTML.jpg

文献AI研究员

20分钟写一篇综述,助力文献阅读效率提升50倍。

立即体验

用中文搜PubMed

大模型驱动的PubMed中文搜索引擎

马上搜索

文档翻译

学术文献翻译模型,支持多种主流文档格式。

立即体验