Suppr超能文献

程序性死亡配体1;肾细胞癌的一个免疫靶点。

Programmed Death Ligand 1; An Immunotarget for Renal Cell Carcinoma.

作者信息

Chandrasekaran Deepika, Sundaram Sandhya, N Kadhiresan, R Padmavathi

机构信息

Department of Physiology, Teynampet, India.

Department of Pathology, Teynampet, India.

出版信息

Asian Pac J Cancer Prev. 2019 Oct 1;20(10):2951-2957. doi: 10.31557/APJCP.2019.20.10.2951.

Abstract

BACKGROUND

In this era of developing targeted therapies and immunotherapies as a treatment for renal cell carcinoma (RCC), Programmed death ligand 1 (PDL1) as a novel biomarker for RCC is analysed in our study. About 90% of all renal cancers are Renal Cell Carcinoma. Most cases are diagnosed incidentally. 17% of cases are advanced at the time of diagnosis. PDL1 being a trans-membrane cell surface protein is expressed on the tumor cells and is found to have a chief role to inhibit the T cell immune response. It is essential to improve the host immunity by targeting the PD1/PDL1 pathway, thereby destroying the tumor progression.

AIM

The aim of this study was to evaluate the expression of PDL1 in tumor cells and adjacent normal tissue among the renal cell carcinoma patients and assess the relation between the PDL1 expression and the tumor characters.

METHODS

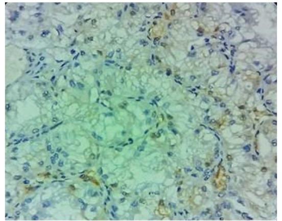
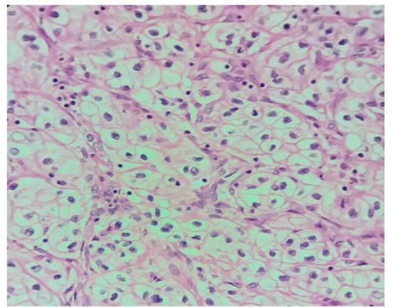
This is a retrospective study. Ethical clearance was obtained from the institution. 150 histopathologically proven RCC cases were chosen. Immunohistochemistry using a PD-L1 rabbit monoclonal antibody was performed on paraffin embedded formalin fixed tissue blocks. Q scoring was done to calculate the expression of PDL1.

STATISTICAL ANALYSIS

Chi square test was done to assess the comparison between the PDL1 expression in tumor cells and their characteristic features like histology, grade and stage. SPSS (version 20.0) was used for analysis. P value <0.05 was considered significant. It also explains the heterogenous nature of PDL1 as it expressed more in the aggressive pathologic characters like high grade.

RESULTS

Positive PD-L1 expression was seen in 44% of tumors. Significant association was observed between high WWHO ISUP grading and positive PDL1 expression (p=0.028). It was expressed in 75% of the sarcomatous type of RCC and 46.8% of clear cell RCCs.

CONCLUSION

Our study suggests that blocking PD1/PDL1 pathway may become an effective mode of treatment in cancer immunotherapy especially for Renal Cell Carcinomas. Our findings confirmed the significant association between expression of PDL1 and the high graded tumors which proves it to be an important prognostic factor.

摘要

背景

在这个开发靶向治疗和免疫治疗作为肾细胞癌(RCC)治疗方法的时代,我们的研究分析了程序性死亡配体1(PDL1)作为RCC的一种新型生物标志物。所有肾癌中约90%为肾细胞癌。大多数病例是偶然诊断出来的。17%的病例在诊断时已处于晚期。PDL1作为一种跨膜细胞表面蛋白,在肿瘤细胞上表达,并且发现其在抑制T细胞免疫反应中起主要作用。通过靶向PD1/PDL1途径提高宿主免疫力,从而破坏肿瘤进展至关重要。

目的

本研究的目的是评估肾细胞癌患者肿瘤细胞和相邻正常组织中PDL1的表达,并评估PDL1表达与肿瘤特征之间的关系。

方法

这是一项回顾性研究。已获得该机构的伦理批准。选择150例经组织病理学证实的RCC病例。对福尔马林固定石蜡包埋的组织块进行使用PD-L1兔单克隆抗体的免疫组织化学检测。采用Q评分来计算PDL1的表达。

统计分析

采用卡方检验来评估肿瘤细胞中PDL1表达与其组织学、分级和分期等特征之间的比较。使用SPSS(版本20.0)进行分析。P值<0.05被认为具有统计学意义。这也解释了PDL1的异质性,因为它在高级别等侵袭性病理特征中表达更多。

结果

44%的肿瘤中观察到PD-L1阳性表达。观察到高WHO ISUP分级与PDL1阳性表达之间存在显著关联(p = 0.028)。它在75%的肉瘤样型RCC和46.8%的透明细胞RCC中表达。

结论

我们的研究表明,阻断PD1/PDL1途径可能成为癌症免疫治疗尤其是肾细胞癌的一种有效治疗方式。我们的研究结果证实了PDL1表达与高级别肿瘤之间存在显著关联,这证明它是一个重要的预后因素。

https://cdn.ncbi.nlm.nih.gov/pmc/blobs/8003/6982669/1916c80d2f6b/APJCP-20-2951-g001.jpg

文献AI研究员

20分钟写一篇综述,助力文献阅读效率提升50倍。

立即体验

用中文搜PubMed

大模型驱动的PubMed中文搜索引擎

马上搜索

文档翻译

学术文献翻译模型,支持多种主流文档格式。

立即体验