Suppr超能文献

锝- A1作为一种靶向表达间皮素的胰腺导管腺癌的新型成像剂。

Tc-A1 as a Novel Imaging Agent Targeting Mesothelin-Expressing Pancreatic Ductal Adenocarcinoma.

作者信息

Montemagno Christopher, Cassim Shamir, Trichanh Dimitry, Savary Clara, Pouyssegur Jacques, Pagès Gilles, Fagret Daniel, Broisat Alexis, Ghezzi Catherine

机构信息

LRB, CHU Grenoble Alpes, INSERM U1039, Université Grenoble Alpes, 38000 Grenoble, France.

Biomedical Department, Centre Scientifique de Monaco, 98000 Monaco, Monaco.

出版信息

Cancers (Basel). 2019 Oct 10;11(10):1531. doi: 10.3390/cancers11101531.

Abstract

UNLABELLED

Mesothelin is a membrane-associated protein overexpressed in pancreatic ductal adenocarcinoma (PDAC). Some mesothelin-targeted therapies are in clinical development but the identification of patients eligible for such therapies is still challenging. The objective of this study was to perform the imaging of mesothelin in mice models of PDAC with a technetium-labeled anti-mesothelin single-domain antibody (Tc-A1).

METHODS

The Cancer Genomic Atlas (TCGA) database was used to determine the prognostic role of mesothelin in PDAC. Tc-A1 was evaluated both in vitro in PDAC cells (SW1990 and AsPC-1) and in vivo in an experimental model of mesothelin-expressing PDAC (AsPC-1) in mice.

RESULTS

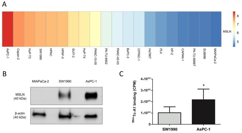
TCGA analysis showed that PDAC patients with high mesothelin expression had a shorter overall survival (P = 0.00066). The binding of Tc-A1 was 2.1-fold greater in high-mesothelin-expressing AsPC-1 cells when compared to moderate-mesothelin-expressing SW1990 cells ( < 0.05). In vivo, the Tc-A1 uptake was 3.5-fold higher in AsPC-1-derived tumors as compared to a technetium-labeled irrelevant antibody (Tc-Ctl) ( < 0.01).

CONCLUSIONS

Tc-A1 accurately allows imaging of mesothelin-expressing experimental PDAC tumors. Our experiments paved the way for the development of a companion test for mesothelin-targeted therapies.

摘要

未标记

间皮素是一种在胰腺导管腺癌(PDAC)中过表达的膜相关蛋白。一些针对间皮素的疗法正在临床开发中,但确定适合此类疗法的患者仍然具有挑战性。本研究的目的是用锝标记的抗间皮素单域抗体(Tc-A1)对PDAC小鼠模型中的间皮素进行成像。

方法

使用癌症基因组图谱(TCGA)数据库确定间皮素在PDAC中的预后作用。在体外对PDAC细胞(SW1990和AsPC-1)以及在体内对小鼠中表达间皮素的PDAC实验模型(AsPC-1)评估Tc-A1。

结果

TCGA分析表明,间皮素高表达的PDAC患者总生存期较短(P = 0.00066)。与间皮素中度表达的SW1990细胞相比,高间皮素表达的AsPC-1细胞中Tc-A1的结合力高2.1倍(<0.05)。在体内,与锝标记的无关抗体(Tc-Ctl)相比,AsPC-1衍生肿瘤中Tc-A1的摄取量高3.5倍(<0.01)。

结论

Tc-A1能够准确地对表达间皮素的实验性PDAC肿瘤进行成像。我们的实验为开发针对间皮素靶向治疗的伴随检测方法铺平了道路。

https://cdn.ncbi.nlm.nih.gov/pmc/blobs/8e5f/6827014/e23ab9f1d692/cancers-11-01531-g001.jpg

文献AI研究员

20分钟写一篇综述,助力文献阅读效率提升50倍。

立即体验

用中文搜PubMed

大模型驱动的PubMed中文搜索引擎

马上搜索

文档翻译

学术文献翻译模型,支持多种主流文档格式。

立即体验