Suppr超能文献

在庞贝氏症小鼠舌下运动系统中利用糖基化非依赖性溶酶体靶向标记的GAA进行腺相关病毒基因治疗

AAV Gene Therapy Utilizing Glycosylation-Independent Lysosomal Targeting Tagged GAA in the Hypoglossal Motor System of Pompe Mice.

作者信息

Doyle Brendan M, Turner Sara M F, Sunshine Michael D, Doerfler Phillip A, Poirier Amy E, Vaught Lauren A, Jorgensen Marda L, Falk Darin J, Byrne Barry J, Fuller David D

机构信息

Department of Physical Therapy, University of Florida, Gainesville, FL 32610, USA.

Center for Respiratory Research and Rehabilitation, University of Florida, Gainesville, FL 32610, USA.

出版信息

Mol Ther Methods Clin Dev. 2019 Aug 31;15:194-203. doi: 10.1016/j.omtm.2019.08.009. eCollection 2019 Dec 13.

Abstract

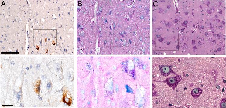
Pompe disease is caused by mutations in the gene encoding the lysosomal glycogen-metabolizing enzyme, acid-alpha glucosidase (GAA). Tongue myofibers and hypoglossal motoneurons appear to be particularly susceptible in Pompe disease. Here we used intramuscular delivery of adeno-associated virus serotype 9 (AAV9) for targeted delivery of an enhanced form of GAA to tongue myofibers and motoneurons in 6-month-old Pompe ( ) mice. We hypothesized that addition of a glycosylation-independent lysosomal targeting tag to the protein would result in enhanced expression in tongue (hypoglossal) motoneurons when compared to the untagged GAA. Mice received an injection into the base of the tongue with AAV9 encoding either the tagged or untagged enzyme; tissues were harvested 4 months later. Both AAV9 constructs effectively drove GAA expression in lingual myofibers and hypoglossal motoneurons. However, mice treated with the AAV9 construct encoding the modified GAA enzyme had a >200% increase in the number of GAA-positive motoneurons as compared to the untagged GAA (p < 0.008). Our results confirm that tongue delivery of AAV9-encoding GAA can effectively target tongue myofibers and associated motoneurons in Pompe mice and indicate that the effectiveness of this approach can be improved by addition of the glycosylation-independent lysosomal targeting tag.

摘要

庞贝病是由编码溶酶体糖原代谢酶酸性α-葡萄糖苷酶(GAA)的基因突变引起的。在庞贝病中,舌肌纤维和舌下运动神经元似乎特别容易受到影响。在此,我们通过肌肉注射9型腺相关病毒(AAV9),将增强型GAA靶向递送至6月龄庞贝病( )小鼠的舌肌纤维和运动神经元。我们假设,与未标记的GAA相比,在蛋白质上添加不依赖糖基化的溶酶体靶向标签会导致在舌(舌下)运动神经元中的表达增强。小鼠通过向舌根注射编码标记或未标记酶的AAV9;4个月后采集组织。两种AAV9构建体均能有效驱动GAA在舌肌纤维和舌下运动神经元中表达。然而,与未标记GAA相比,用编码修饰GAA酶的AAV9构建体处理的小鼠,其GAA阳性运动神经元数量增加了200%以上(p < 0.008)。我们的结果证实,通过AAV9递送编码GAA可以有效地靶向庞贝病小鼠的舌肌纤维和相关运动神经元,并表明添加不依赖糖基化的溶酶体靶向标签可以提高这种方法的有效性。

https://cdn.ncbi.nlm.nih.gov/pmc/blobs/353d/6807287/eb8dddcc45f3/gr1.jpg

文献AI研究员

20分钟写一篇综述,助力文献阅读效率提升50倍。

立即体验

用中文搜PubMed

大模型驱动的PubMed中文搜索引擎

马上搜索

文档翻译

学术文献翻译模型,支持多种主流文档格式。

立即体验