Suppr超能文献

阿托伐他汀纳米乳凝胶的制备及其对伤口愈合功效的评估

Preparation and Evaluation of Atorvastatin-Loaded Nanoemulgel on Wound-Healing Efficacy.

作者信息

Morsy Mohamed A, Abdel-Latif Rania G, Nair Anroop B, Venugopala Katharigatta N, Ahmed Amira F, Elsewedy Heba S, Shehata Tamer M

机构信息

Department of Pharmaceutical Sciences, College of Clinical Pharmacy, King Faisal University, Al-Ahsa 31982, Saudi Arabia.

Department of Pharmacology, Faculty of Medicine, Minia University, El-Minia 61511, Egypt.

出版信息

Pharmaceutics. 2019 Nov 13;11(11):609. doi: 10.3390/pharmaceutics11110609.

Abstract

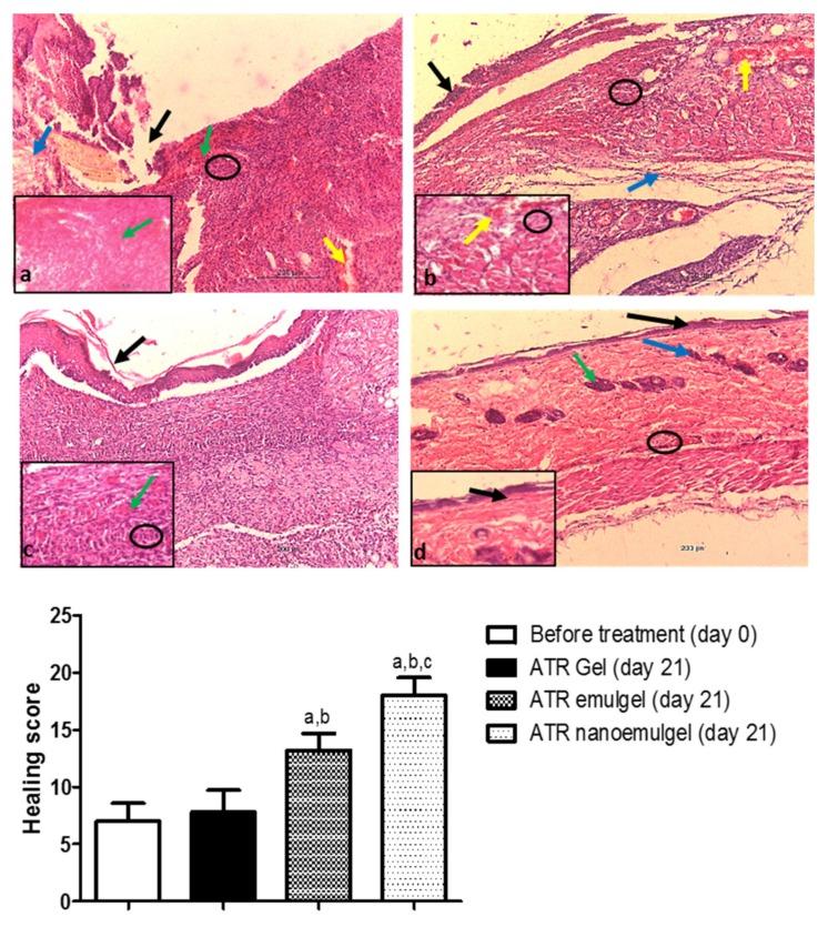
Tissue repair and wound healing are complex processes that involve inflammation, granulation, and remodeling of the tissue. The potential of various statins including atorvastatin (ATR) to improve the wound healing effect was established. The aim of this study was to formulate and evaluate the efficacy of topical application of ATR-based nanoemulgel on wound healing. The prepared formulations (ATR gel, ATR emulgel, and ATR nanoemulgel) were evaluated for their physical appearance, rheological behavior, in vitro drug release and ex vivo drug permeation. The in vivo wound healing effect was evaluated in wound-induced rats. The prepared ATR gel formulations showed good physical properties and were comparable. The release profiles of drugs from gel, emulgel, and nanoemulgel were distinct. Skin permeation potential of ATR was significantly ( < 0.05) enhanced when formulated into nanoemulgel. In vivo wound healing studies showed that ATR nanoemulgel exhibited the highest percent wound contraction. Histopathological assessment showed marked improvement in the skin histological architecture after 21 days of ATR nanoemulgel treatment. In conclusion, the data demonstrated here signify the prospective of ATR nanoemulgel as an innovative therapeutic approach in wound healing.

摘要

组织修复和伤口愈合是复杂的过程,涉及组织的炎症、肉芽形成和重塑。已证实包括阿托伐他汀(ATR)在内的各种他汀类药物具有改善伤口愈合效果的潜力。本研究的目的是制备并评估基于ATR的纳米乳凝胶局部应用于伤口愈合的疗效。对制备的制剂(ATR凝胶、ATR乳凝胶和ATR纳米乳凝胶)进行外观、流变学行为、体外药物释放和离体药物渗透评估。在伤口诱导的大鼠中评估体内伤口愈合效果。制备的ATR凝胶制剂表现出良好的物理性质且具有可比性。凝胶、乳凝胶和纳米乳凝胶的药物释放曲线各不相同。将ATR制成纳米乳凝胶后,其皮肤渗透潜力显著提高(<0.05)。体内伤口愈合研究表明,ATR纳米乳凝胶表现出最高的伤口收缩百分比。组织病理学评估显示,ATR纳米乳凝胶治疗21天后,皮肤组织学结构有明显改善。总之,此处展示的数据表明ATR纳米乳凝胶作为伤口愈合的一种创新治疗方法具有前景。

https://cdn.ncbi.nlm.nih.gov/pmc/blobs/a8dc/6920749/dd511fac1e36/pharmaceutics-11-00609-g001.jpg

文献AI研究员

20分钟写一篇综述,助力文献阅读效率提升50倍。

立即体验

用中文搜PubMed

大模型驱动的PubMed中文搜索引擎

马上搜索

文档翻译

学术文献翻译模型,支持多种主流文档格式。

立即体验