Suppr超能文献

内皮-间充质转化利用 HSP90α 分泌的 M2 巨噬细胞加剧胰腺导管腺癌。

Endothelial-mesenchymal transition harnesses HSP90α-secreting M2-macrophages to exacerbate pancreatic ductal adenocarcinoma.

机构信息

National Institute of Cancer Research, National Health Research Institutes, No. 35, Keyan Road, Zhunan Township, 350, Miaoli, Taiwan.

Institute of Biotechnology and Pharmaceutical Research, National Health Research Institutes, No. 35, Keyan Road, Zhunan Township, 350, Miaoli, Taiwan.

出版信息

J Hematol Oncol. 2019 Dec 17;12(1):138. doi: 10.1186/s13045-019-0826-2.

Abstract

BACKGROUND

Endothelial-to-mesenchymal transition (EndoMT) can provide a source of cancer-associated fibroblasts which contribute to desmoplasia of many malignancies including pancreatic ductal adenocarcinoma (PDAC). We investigated the clinical relevance of EndoMT in PDAC, and explored its underlying mechanism and therapeutic implication.

METHODS

Expression levels of 29 long non-coding RNAs were analyzed from the cells undergoing EndoMT, and an EndoMT index was proposed to survey its clinical associations in the PDAC patients of The Cancer Genome Atlas database. The observed clinical correlation was further confirmed by a mouse model inoculated with EndoMT cells-involved PDAC cell grafts. In vitro co-culture with EndoMT cells or treatment with the conditioned medium were performed to explore the underlying mechanism. Because secreted HSP90α was involved, anti-HSP90α antibody was evaluated for its inhibitory efficacy against the EndoMT-involved PDAC tumor.

RESULTS

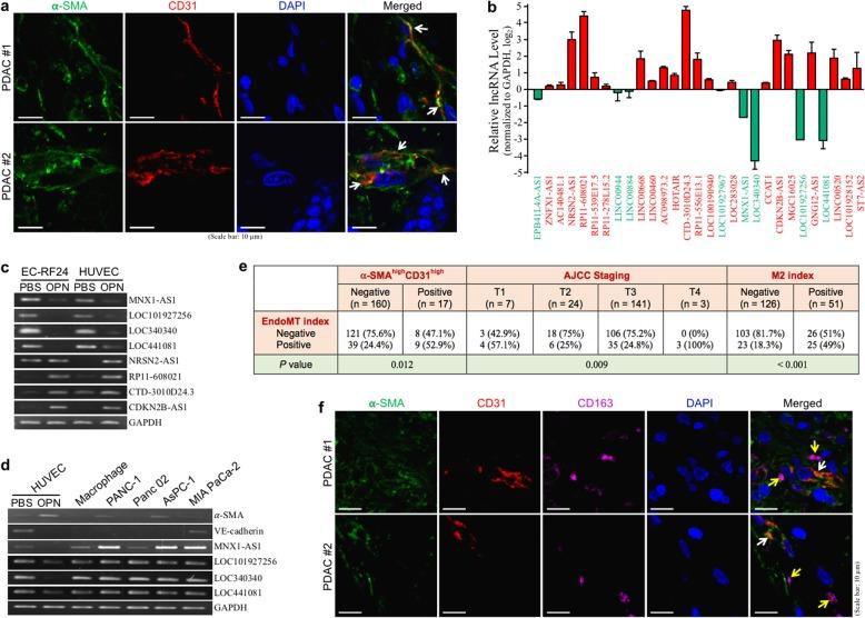
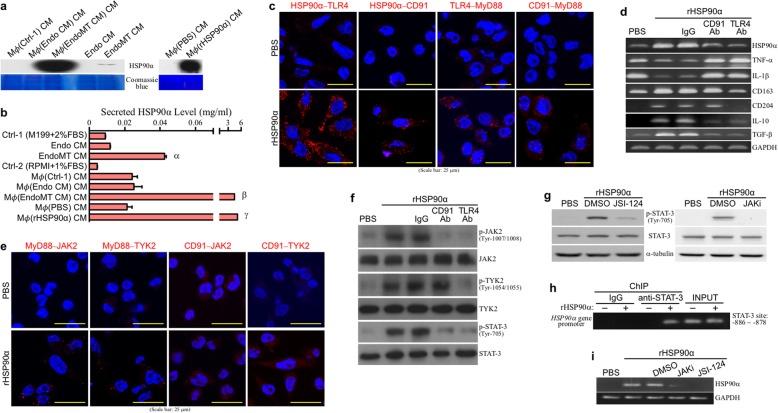
A combination of low expressions of LOC340340, LOC101927256, and MNX1-AS1 was used as an EndoMT index. The clinical PDAC tissues with positive EndoMT index were significantly correlated with T4-staging and showed positive for M2-macrophage index. Our mouse model and in vitro cell-culture experiments revealed that HSP90α secreted by EndoMT cells could induce macrophage M2-polarization and more HSP90α secretion to promote PDAC tumor growth. Furthermore, anti-HSP90α antibody showed a potent therapeutic efficacy against the EndoMT and M2-macrophages-involved PDAC tumor growth.

CONCLUSIONS

EndoMT cells can secrete HSP90α to harness HSP90α-overproducing M2-type macrophages to promote PDAC tumor growth, and such effect can be targeted and abolished by anti-HSP90α antibody.

摘要

背景

内皮-间充质转化(EndoMT)可以提供癌症相关成纤维细胞的来源,这些细胞有助于许多恶性肿瘤的间质形成,包括胰腺导管腺癌(PDAC)。我们研究了 EndoMT 在 PDAC 中的临床相关性,并探讨了其潜在机制和治疗意义。

方法

分析了经历 EndoMT 的细胞中的 29 个长非编码 RNA 的表达水平,并提出了一个 EndoMT 指数来调查其在癌症基因组图谱数据库中 PDAC 患者中的临床相关性。通过用涉及 EndoMT 的 PDAC 细胞移植接种的小鼠模型进一步证实了观察到的临床相关性。进行体外共培养实验或用条件培养基处理,以探索其潜在机制。由于涉及分泌 HSP90α,评估了抗 HSP90α 抗体对涉及 EndoMT 的 PDAC 肿瘤的抑制作用。

结果

低表达 LOC340340、LOC101927256 和 MNX1-AS1 的组合被用作 EndoMT 指数。具有阳性 EndoMT 指数的临床 PDAC 组织与 T4 分期显著相关,并显示出 M2-巨噬细胞指数阳性。我们的小鼠模型和体外细胞培养实验表明,EndoMT 细胞分泌的 HSP90α 可以诱导巨噬细胞 M2 极化,并促进更多的 HSP90α 分泌,从而促进 PDAC 肿瘤生长。此外,抗 HSP90α 抗体对涉及 EndoMT 和 M2 型巨噬细胞的 PDAC 肿瘤生长具有强大的治疗功效。

结论

EndoMT 细胞可以分泌 HSP90α,利用 HSP90α 过表达的 M2 型巨噬细胞促进 PDAC 肿瘤生长,并且这种作用可以通过抗 HSP90α 抗体靶向和消除。

https://cdn.ncbi.nlm.nih.gov/pmc/blobs/4219/6918594/e92f1873f15b/13045_2019_826_Fig1_HTML.jpg

文献AI研究员

20分钟写一篇综述,助力文献阅读效率提升50倍。

立即体验

用中文搜PubMed

大模型驱动的PubMed中文搜索引擎

马上搜索

文档翻译

学术文献翻译模型,支持多种主流文档格式。

立即体验