Suppr超能文献

PFKFB3 抑制物可抑制破骨细胞生成并预防卵巢切除所致的骨丢失。

Inhibition of PFKFB3 suppresses osteoclastogenesis and prevents ovariectomy-induced bone loss.

机构信息

Department of Orthopedics, Tongji Hospital, Tongji Medical College, Huazhong University of Science and Technology, Wuhan, China.

出版信息

J Cell Mol Med. 2020 Feb;24(3):2294-2307. doi: 10.1111/jcmm.14912. Epub 2019 Dec 27.

Abstract

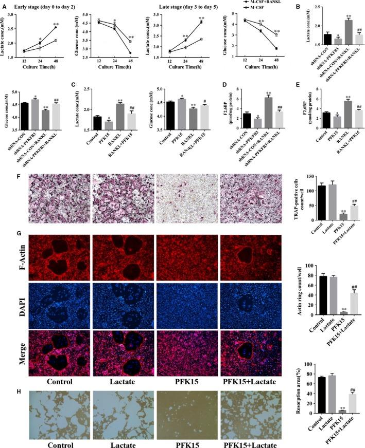
Osteoclasts are multinucleated cells derived from the monocyte/macrophage cell lineage under the regulation of receptor activator of nuclear factor-κB ligand (RANKL). In previous studies, stimulation by RANKL during osteoclastogenesis was shown to induce a metabolic switch to enhanced glycolytic metabolism. Thus, we hypothesized that blockage of glycolysis might serve as a novel strategy to treat osteoclast-related diseases. In the present study, 6-phosphofructo-2-kinase/fructose-2,6-bisphosphatase 3 (PFKFB3), an essential regulator of glycolysis, was up-regulated during osteoclast differentiation. Genetic and pharmacological inhibition of PFKFB3 in bone marrow-derived macrophages suppressed the differentiation and function of osteoclasts. Moreover, intraperitoneal administration of the PFKFB3 inhibitor PFK15 prevented ovariectomy-induced bone loss. In addition, glycolytic activity characterized by lactate accumulation and glucose consumption in growth medium was reduced by PFKFB3 inhibition. Further investigation indicated that the administration of L-lactate partially reversed the repression of osteoclastogenesis caused by PFKFB3 inhibition and abrogated the inhibitory effect of PFK15 on the activation of NF-κB and MAPK pathways. In conclusion, the results of this study suggest that blockage of glycolysis by targeting PFKFB3 represents a potential therapeutic strategy for osteoclast-related disorders.

摘要

破骨细胞是单核细胞/巨噬细胞细胞系来源的多核细胞,受核因子-κB 配体受体激活剂(RANKL)的调节。在以前的研究中,破骨细胞形成过程中 RANKL 的刺激被证明会诱导代谢向增强糖酵解代谢的转变。因此,我们假设抑制糖酵解可能成为治疗破骨细胞相关疾病的新策略。在本研究中,糖酵解的重要调节因子 6-磷酸果糖-2-激酶/果糖-2,6-二磷酸酶 3(PFKFB3)在破骨细胞分化过程中上调。骨髓来源巨噬细胞中 PFKFB3 的基因和药物抑制抑制了破骨细胞的分化和功能。此外,PFKFB3 抑制剂 PFK15 的腹腔给药可预防卵巢切除诱导的骨丢失。此外,通过 PFKFB3 抑制减少了生长培养基中乳酸积累和葡萄糖消耗的糖酵解活性。进一步的研究表明,L-乳酸的给药部分逆转了 PFKFB3 抑制对破骨细胞形成的抑制作用,并消除了 PFK15 对 NF-κB 和 MAPK 途径激活的抑制作用。总之,本研究的结果表明,通过靶向 PFKFB3 抑制糖酵解代表了治疗破骨细胞相关疾病的一种潜在治疗策略。

https://cdn.ncbi.nlm.nih.gov/pmc/blobs/ae42/7011148/eb8a61bd6276/JCMM-24-2294-g001.jpg

文献AI研究员

20分钟写一篇综述,助力文献阅读效率提升50倍。

立即体验

用中文搜PubMed

大模型驱动的PubMed中文搜索引擎

马上搜索

文档翻译

学术文献翻译模型,支持多种主流文档格式。

立即体验