Suppr超能文献

右美托咪定后处理通过抑制高迁移率族蛋白 B1 族(HMGB1)/Toll 样受体 4(TLR4)/核因子 kappa B(NF-κB)信号通路减轻大鼠脑缺血再灌注损伤。

Dexmedetomidine Post-Conditioning Alleviates Cerebral Ischemia-Reperfusion Injury in Rats by Inhibiting High Mobility Group Protein B1 Group (HMGB1)/Toll-Like Receptor 4 (TLR4)/Nuclear Factor kappa B (NF-κB) Signaling Pathway.

机构信息

Department of Rehabilitation, Linzi District People's Hospital, Zibo, Shandong, China (mainland).

Department of Anesthesiology, Yantaishan Hospital, Yantai, Shandong, China (mainland).

出版信息

Med Sci Monit. 2020 Jan 8;26:e918617. doi: 10.12659/MSM.918617.

Abstract

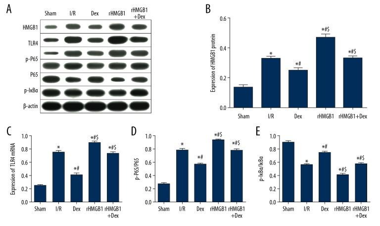
BACKGROUND Cerebral ischemia-reperfusion injury is a pivotal cause of deaths due to cerebrovascular accident. Increased research efforts are needed to reveal the mechanism underlying its aggravation or alleviation. In this study, the effects of dexmedetomidine post-conditioning on the HMGB1/TLR4/NF-kappaB signaling pathway in cerebral ischemia-reperfusion rats was explored. MATERIAL AND METHODS Ninety rats were randomly divided into 5 groups - a sham group (Sham), a model group (I/R), a dexmedetomidine post-conditioning group (Dex), a recombinant high mobility group protein B1 group (rHMGB1), and a recombinant HMGB1+dexmedetomidine post-conditioning group (rHMGB1+Dex) - with 18 rats in each group. Longa grading, wet-dry weighing, TTC staining, HE staining, and immunohistochemical staining were used to assess brain damage. ELISA, RT-PCR, and Western blot analyses were performed to assess expression of IL-1ß, TNF-alpha, IL-6, IL-8, HMGB1, TLR4, and NF-kappaB. RESULTS Compared with the I/R group, the neurological function score, brain water content, infarction area, and the number of COX-2- and IBA-1-positive cells in the Dex group were significantly lower, accompanied by downregulated expression of the HMGB1/TLR4/NF-kappaB pathway, alleviated inflammation, and oxidative stress injury in brain tissue. These trends were mostly reversed in the rHMGB1 group and rHMGB1+Dex group, but not in the Dex group. Furthermore, when compared to the Dex group, there were significant increases of H₂O₂, MDA, NO, IL-1ß, TNF-alpha, IL-6, IL-8, HMGB1, TLR4, and p-P65 in the rHMGB1 group and rHMGB1+Dex group, in which a significant decrease of T-AOC, SOD, and p-IkappaBalpha was also detected. CONCLUSIONS Dexmedetomidine post-conditioning can alleviate cerebral ischemia-reperfusion injury in rats by inhibiting the HMGB1/TLR4/NF-kappaB signaling pathway.

摘要

背景

脑缺血再灌注损伤是导致脑血管意外死亡的主要原因。需要加大研究力度,揭示其加重或缓解的机制。本研究探讨了右美托咪定后处理对脑缺血再灌注大鼠 HMGB1/TLR4/NF-kappaB 信号通路的影响。

材料与方法

90 只大鼠随机分为 5 组-假手术组(Sham)、模型组(I/R)、右美托咪定后处理组(Dex)、重组高迁移率族蛋白 B1 组(rHMGB1)和重组 HMGB1+右美托咪定后处理组(rHMGB1+Dex),每组 18 只。采用 Longa 分级、干湿重法、TTC 染色、HE 染色和免疫组化染色评估脑损伤。采用 ELISA、RT-PCR 和 Western blot 分析评估 IL-1β、TNF-α、IL-6、IL-8、HMGB1、TLR4 和 NF-kappaB 的表达。

结果

与 I/R 组相比,Dex 组的神经功能评分、脑水含量、梗死面积和 COX-2 和 IBA-1 阳性细胞数均显著降低,HMGB1/TLR4/NF-kappaB 通路表达下调,减轻了脑组织的炎症和氧化应激损伤。这些趋势在 rHMGB1 组和 rHMGB1+Dex 组中大部分被逆转,但在 Dex 组中没有。此外,与 Dex 组相比,rHMGB1 组和 rHMGB1+Dex 组的 H₂O₂、MDA、NO、IL-1β、TNF-α、IL-6、IL-8、HMGB1、TLR4 和 p-P65 明显增加,而 T-AOC、SOD 和 p-IkappaBalpha 明显减少。

结论

右美托咪定后处理通过抑制 HMGB1/TLR4/NF-kappaB 信号通路,可减轻大鼠脑缺血再灌注损伤。

https://cdn.ncbi.nlm.nih.gov/pmc/blobs/a870/6977611/7c960f463abc/medscimonit-26-e918617_g001.jpg

文献AI研究员

20分钟写一篇综述,助力文献阅读效率提升50倍。

立即体验

用中文搜PubMed

大模型驱动的PubMed中文搜索引擎

马上搜索

文档翻译

学术文献翻译模型,支持多种主流文档格式。

立即体验