Suppr超能文献

叶酸补充抑制睡眠剥夺诱导的端粒功能障碍和衰老相关分泌表型(SASP)。

Folic Acid Supplementation Suppresses Sleep Deprivation-Induced Telomere Dysfunction and Senescence-Associated Secretory Phenotype (SASP).

机构信息

Department of Genetics, School of Basic Medical Sciences, Tianjin Medical University, Tianjin 300070, China.

Institute of Basic Medicine, Shandong First Medical University & Shandong Academy of Medical Sciences, Shandong 250012, China.

出版信息

Oxid Med Cell Longev. 2019 Dec 14;2019:4569614. doi: 10.1155/2019/4569614. eCollection 2019.

Abstract

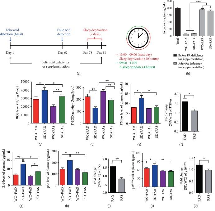
Sleep deprivation is reported to cause oxidative stress and is hypothesized to induce subsequent aging-related diseases including chronic inflammation, Alzheimer's disease, and cardiovascular disease. However, how sleep deprivation contributes to the pathogenesis of sleep deficiency disorder remains incompletely defined. Accordingly, more effective treatment methods for sleep deficiency disorder are needed. Thus, to better understand the detailed mechanism of sleep deficiency disorder, a sleep deprivation mouse model was established by the multiple platform method in our study. The accumulation of free radicals and senescence-associated secretory phenotype (SASP) was observed in the sleep-deprived mice. Moreover, our mouse and human population-based study both demonstrated that telomere shortening and the formation of telomere-specific DNA damage are dramatically increased in individuals suffering from sleeplessness. To our surprise, the secretion of senescence-associated cytokines and telomere damage are greatly improved by folic acid supplementation in mice. Individuals with high serum baseline folic acid levels have increased resistance to telomere shortening, which is induced by insomnia. Thus, we conclude that folic acid supplementation could be used to effectively counteract sleep deprivation-induced telomere dysfunction and the associated aging phenotype, which may potentially improve the prognosis of sleeplessness disorder patients.

摘要

睡眠剥夺据报道会导致氧化应激,并假设会引发随后的与衰老相关的疾病,包括慢性炎症、阿尔茨海默病和心血管疾病。然而,睡眠剥夺如何导致睡眠不足障碍的发病机制仍不完全清楚。因此,需要更有效的治疗睡眠不足障碍的方法。因此,为了更好地理解睡眠不足障碍的详细机制,我们在研究中通过多平台方法建立了睡眠剥夺小鼠模型。在睡眠剥夺的小鼠中观察到自由基的积累和衰老相关分泌表型(SASP)。此外,我们的小鼠和人类基于人群的研究都表明,在失眠的个体中,端粒缩短和端粒特异性 DNA 损伤的形成显著增加。令我们惊讶的是,在小鼠中,叶酸补充剂大大改善了衰老相关细胞因子的分泌和端粒损伤。基线血清叶酸水平高的个体对由失眠引起的端粒缩短的抵抗力增加。因此,我们得出结论,叶酸补充剂可有效抵抗睡眠剥夺诱导的端粒功能障碍和相关的衰老表型,这可能潜在地改善失眠症患者的预后。

https://cdn.ncbi.nlm.nih.gov/pmc/blobs/d66e/6948340/2dde0902254e/OMCL2019-4569614.001.jpg

文献AI研究员

20分钟写一篇综述,助力文献阅读效率提升50倍。

立即体验

用中文搜PubMed

大模型驱动的PubMed中文搜索引擎

马上搜索

文档翻译

学术文献翻译模型,支持多种主流文档格式。

立即体验